Imagens e vídeos
IMAGENS

Degeneração macular relacionada à idade
Degeneração macular relacionada à idade (DMRI) precoce (categoria 2 do Age-Related Eye Disease Study Group [AREDS])
Reproduzido do banco de dados de pacientes do Scheie Eye Institute; usado com permissão
Veja esta imagem em contexto nas seguintes seções:

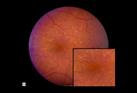
Degeneração macular relacionada à idade
Degeneração macular relacionada à idade (DMRI) tardia com atrofia geográfica central (categoria 4 do Age-Related Eye Disease Study Group [AREDS])
Reproduzido do banco de dados de pacientes do Scheie Eye Institute; usado com permissão
Veja esta imagem em contexto nas seguintes seções:

Degeneração macular relacionada à idade
Cicatriz fibrovascular decorrente de degeneração macular relacionada à idade (DMRI) em estágio terminal (categoria 4 do Age-Related Eye Disease Study Group [AREDS])
Reproduzido do banco de dados de pacientes do Scheie Eye Institute; usado com permissão
Veja esta imagem em contexto nas seguintes seções:

Degeneração macular relacionada à idade
Degeneração macular relacionada à idade (DMRI) intermediária (categoria 3 do Age-Related Eye Disease Study Group [AREDS])
Reproduzido do banco de dados de pacientes do Scheie Eye Institute; usado com permissão
Veja esta imagem em contexto nas seguintes seções:

Degeneração macular relacionada à idade
Degeneração macular relacionada à idade (DMRI) tardia com neovascularização da coroide com exsudação (categoria 4 do Age-Related Eye Disease Study Group [AREDS])
Reproduzido do banco de dados de pacientes do Scheie Eye Institute; usado com permissão
Veja esta imagem em contexto nas seguintes seções:

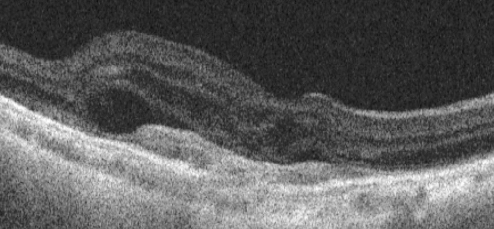
Degeneração macular relacionada à idade
Imagem de tomografia de coerência óptica mostrando lesão hiper-refletiva na camada retiniana externa, fluido sub-retiniano e intrarretiniano
Do acervo de Sajjad Mahmood MA, MB BCHIR, FRCOphth; usado com permissão
Veja esta imagem em contexto nas seguintes seções:

Degeneração macular relacionada à idade
Imagem de tomografia de coerência óptica de alta resolução mostrando cicatriz hiper-refletiva
Reproduzido do banco de dados de pacientes do Scheie Eye Institute; usado com permissão
Veja esta imagem em contexto nas seguintes seções:

Degeneração macular relacionada à idade
Angiografia por tomografia de coerência óptica mostrando lesão hiper-refletiva que corresponde a uma rede de neovascularização da coroide; isso proliferou entre a retina neurossensorial e o epitélio pigmentar da retina
Do acervo de Sajjad Mahmood MA, MB BCHIR, FRCOphth; usado com permissão
Veja esta imagem em contexto nas seguintes seções:

Degeneração macular relacionada à idade
Imagem de tomografia de coerência óptica de alta resolução mostrando fluido sub-retiniano e intrarretiniano
Reproduzido do banco de dados de pacientes do Scheie Eye Institute; usado com permissão
Veja esta imagem em contexto nas seguintes seções:

Degeneração macular relacionada à idade
Angiografia com fluoresceína mostrando neovascularização da coroide ativa
Reproduzido do banco de dados de pacientes do Scheie Eye Institute; usado com permissão
Veja esta imagem em contexto nas seguintes seções:
O uso deste conteúdo está sujeito ao nosso aviso legal