Investigações
Primeiras investigações a serem solicitadas
testes cognitivos
Exame
O desempenho nos testes cognitivos deve ser registrado à avaliação inicial e, em seguida, a cada 6 meses. Não é incomum que os escores nos testes cognitivos estejam na faixa normal por até 1 ano após a apresentação, diminuindo de modo constante por cerca de 3-4 anos antes de o paciente não poder ser mais testado. Eles são realizados por especialistas e neuropsicólogos e ajudam no diagnóstico, pois documentam uma predominância de deficits nos domínios executivo e/ou de linguagem da cognição, com relativa preservação da memória, da orientação e da praxia.
O Miniexame do Estado Mental (MEEM) continua sendo o teste cognitivo simples mais amplamente utilizado (e mais bem compreendido). No entanto, os pacientes com demência frontotemporal podem ter um escore acima do ponto de corte de 24/30 mesmo se tiverem comprometimento cognitivo significativo, portanto ele é de utilidade limitada para detectar a DFT. Portanto, na prática, outros exames cognitivos geralmente são preferenciais para a DFT.
A Avaliação Cognitiva de Montreal (MoCA) pode ser usada para avaliar o declínio cognitivo ao longo do tempo; alguns subconjuntos podem fornecer informações sobre mau funcionamento do lobo frontal e acompanhar a progressão.[84][85]
O Addenbrooke’s Cognitive Examination III (ACE III) é um teste de múltiplos domínios da atenção, memória, linguagem, fluência e funções visoespaciais. O escore total máximo é 100, com subescores para vários domínios também sendo calculados. Ele foi validado como uma ferramenta de rastreamento para deficits cognitivos na DFT e na doença de Alzheimer.[86]
A Bateria de Avaliação Frontal (FAB) é um exame realizado à beira do leito que pode ser administrado em 10 minutos e é útil para rastrear e identificar disfunções do lobo frontal.[87]
A Entrevista Executiva (EXIT) é uma ferramenta útil de rastreamento à beira do leito para detectar possíveis disfunções do lobo frontal. Ela é composta por um perfil curto de 25 itens e leva aproximadamente 15 minutos.[88] A Quick EXIT é uma versão abreviada de 14 itens da EXIT original que foi desenvolvida omitindo 11 itens que foram avaliados como se encaixando menos bem na escala.[89]
O Inventário Comportamental Frontal (Frontal Behavioural Inventory; FBI) é um questionário quantificável de 24 itens, respondido por meio de entrevista com um informante.[90] O objetivo é identificar alterações iniciais da personalidade e do comportamento na variante comportamental da DFT (vcDFT).[91]
O Cambridge Behavioural Inventory Revised (CBI-R) é um questionário baseado em informantes usado para avaliar sintomas comportamentais em doenças neurodegenerativas, incluindo a DFT.[92]
A Sydney Language Battery (SYDBAT) é um teste para caracterizar deficits de linguagem em variantes da afasia progressiva primária (APP).[93][94] Quatro subtestes de linguagem (nomeação, compreensão de palavras, repetição e associação semântica) são avaliados. Um fonoaudiólogo pode ser envolvido em uma avaliação abrangente da linguagem e na elaboração de intervenções e estratégias compensatórias nos pacientes com APP.[95]
As escalas neurocomportamentais também podem ser úteis na diferenciação de outras formas de demência.[96]
A evolução da DFT difere bastante da maioria das outras formas de demência porque os problemas de memória não são graves nos estágios iniciais. A maioria das escalas de classificação de demência é enviesada em relação à detecção de agravamento da doença de Alzheimer. A escala de classificação frontotemporal (FRS) foi desenvolvida especificamente para a DFT, e pode detectar a deterioração funcional ao longo de 12 meses.[97] O nível da gravidade da demência é mais precisamente estimado pela FRS que pelas escalas convencionais de classificação de demências.
O teste de 60 faces de Ekman é um teste usado para verificar o reconhecimento de emoções faciais.[98] Um processamento emocional deficiente é detectável nos pacientes com DFT e é uma característica clínica importante na vcDFT e na demência semântica.[99] O reconhecimento de emoções pode estar significativamente prejudicado na vcDFT em comparação à doença de Alzheimer em todas as emoções, exceto a felicidade.[100] Além disso, o reconhecimento da raiva é mais comprometido na DFT do que na doença de Alzheimer, enquanto o deficit no reconhecimento do medo é mais característico da doença de Alzheimer.[101]
Testes neuropsicológicos mais abrangentes de múltiplos domínios são úteis, além dos testes cognitivos iniciais descritos anteriormente nesta seção, particularmente nos estágios iniciais, quando as manifestações da DFT são sutis. Os exemplos de baterias de testes formais que são apropriadas nesse cenário incluem o Sistema de Função Executiva Delis-Kaplan (D-KEFS), a Bateria de Cognição Executiva e Social (ESCB) e itens selecionados da Escala de Inteligência Wechsler para Adultos (WAIS).[102]
Resultado
desempenho desproporcionalmente baixo no comportamento da realização dos testes e/ou em testes de função executiva; mau processamento emocional e reconhecimento de expressões prejudicado nos testes; escore MEEM frequentemente na faixa normal; na MoCA, os subconjuntos frontais podem mostrar anormalidade
ressonância nuclear magnética (RNM) cranioencefálica
Exame
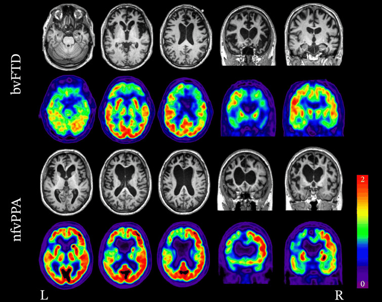
A RNM é a principal modalidade de imagem para o diagnóstico de DFT e deve ser solicitada se houver suspeita de um diagnóstico de demência frontotemporal.[104][106][Figure caption and citation for the preceding image starts]: Padrões de neuroimagem associados à variante comportamental da DFT (vcDFT) e à variante não fluente da afasia progressiva primária (vnfAPP). RNM estrutural e FDG-PET demonstrando a variabilidade nos padrões de atrofia e hipometabolismo na DFT. No caso da vcDFT, observa-se atrofia bilateral significativa e hipometabolismo no lobo frontal. No caso da vnfAPP, a atrofia e o hipometabolismo são lateralizados e afetam muito mais o lobo frontal esquerdo do que o direito.Peet BT et al. Neurotherapeutics 2021 Abr; 18 (2): 728-52; usado com permissão [Citation ends].
[Figure caption and citation for the preceding image starts]: RNM ponderada em T1 coronal (a, b) e RNM com FDG-PET fundida (c) em um paciente com demência semânticaBhogal P et al. Eur Radiol 23, 3405-17 (2013); usado com permissão [Citation ends].
Resultado
atrofia focal dos lobos frontal e/ou temporal anterior; frequentemente a atrofia é caracterizada por assimetria esquerda-direita
tomografia computadorizada (TC) cerebral
Exame
A TC deve ser solicitada se houver suspeita de um diagnóstico de DFT, mas a RNM não estiver disponível ou for contraindicada. A TC pode ser usada para descartar anormalidades estruturais, como massas ou hematomas subdurais, que podem se apresentar com disfunção do lobo frontal, mas também pode mostrar atrofia indicativa de demência frontotemporal.[104][106]
Resultado
atrofia focal dos lobos frontal e/ou temporal anterior; frequentemente a atrofia é caracterizada por assimetria esquerda-direita
Hemograma completo
Exame
Solicitado para descartar a anemia.
Resultado
geralmente normais
proteína C-reativa sérica
Exame
Solicitada para o rastreamento de doenças inflamatórias.
Resultado
geralmente normais
hormônio estimulante da tireoide (TSH) sérico
Exame
Solicitado para descartar o hipertireoidismo. O TSH está baixo no hipertireoidismo.
Resultado
geralmente normais
tiroxina livre (T4)
Exame
Solicitado para descartar o hipertireoidismo. O T4 livre está elevado no hipertireoidismo.
Resultado
geralmente normais
perfil metabólico
Exame
Solicitado para excluir níveis anormais de sódio, cálcio e glicose.
Resultado
geralmente normais
ureia sérica
Exame
Solicitada para se descartar insuficiência renal como a causa do declínio cognitivo.
Resultado
geralmente normais
creatinina sérica
Exame
Solicitada para se descartar insuficiência renal como a causa do declínio cognitivo.
Resultado
geralmente normais
TFHs
Exame
Solicitados para se descartar a insuficiência hepática como causa do declínio cognitivo.
Resultado
geralmente normais
níveis séricos de vitamina B12
Exame
Solicitados para descartar o declínio cognitivo secundário à anemia megaloblástica/perniciosa.
Resultado
geralmente normais
níveis de folato sérico
Exame
Solicitados para se descartar declínio cognitivo devido a deficiência de folato.
Resultado
geralmente normais
sorologia para sífilis
Exame
Pode ser positiva para sífilis.
Resultado
geralmente normais
teste de vírus da imunodeficiência humana (HIV)
Exame
Positivo na demência no HIV.
Resultado
geralmente normais
ensaio de imunoadsorção enzimática (ELISA) sérico
Exame
Pode ser positivo para anticorpos contra Borrelia burgdorferi na doença de Lyme.
Resultado
geralmente normais
Investigações a serem consideradas
PET com fluordesoxiglucose (FDG)/CT cerebral
Exame
A FDG-PET/CT pode ajudar a diferenciar a demência frontotemporal da doença de Alzheimer e da demência com corpos de Lewy.[103][104][105] Ela é mais útil quando combinada com a RNM.[104][Figure caption and citation for the preceding image starts]: Padrões de neuroimagem associados à variante comportamental da DFT (vcDFT) e à variante não fluente da afasia progressiva primária (vnfAPP). RNM estrutural e FDG-PET demonstrando a variabilidade nos padrões de atrofia e hipometabolismo na DFT. No caso da vcDFT, observa-se atrofia bilateral significativa e hipometabolismo no lobo frontal. No caso da vnfAPP, a atrofia e o hipometabolismo são lateralizados e afetam muito mais o lobo frontal esquerdo do que o direito.Peet BT et al. Neurotherapeutics 2021 Abr; 18 (2): 728-52; usado com permissão [Citation ends].
[Figure caption and citation for the preceding image starts]: RNM ponderada em T1 coronal (a, b) e RNM com FDG-PET fundida (c) em um paciente com demência semânticaBhogal P et al. Eur Radiol 23, 3405-17 (2013); usado com permissão [Citation ends].
Resultado
hipometabolismo focal nos lobos frontal e/ou temporal anterior; frequentemente assimétrico
tomografia computadorizada por emissão de fóton único (SPECT) de perfusão cerebral
Exame
A SPECT pode detectar hipoperfusão, mas geralmente é considerada menos útil do que a fluordesoxiglucose (FDG)-PET/CT na imagem inicial para a suspeita de demência frontotemporal.[104]
Resultado
hipoperfusão focal dos lobos frontal e/ou temporal anterior; frequentemente assimétrica
PET-CT de amiloide cranioencefálica
Exame
Pode ser solicitada para diferenciar a demência frontotemporal da doença de Alzheimer.[104]
Resultado
geralmente normais
biópsia do cérebro
Exame
O exame neuropatológico é o padrão para o diagnóstico definitivo. Os espécimes podem ser obtidos por biópsia cerebral, mas isso geralmente não é recomendado. Portanto, a confirmação patológica é normalmente obtida no final da vida e é especialmente importante na caracterização da demência familiar.
Resultado
ao exame macroscópico, encontra-se atrofia regional afetando predominantemente os lobos frontal e/ou temporal; a neuropatologia molecular permite que a maioria dos casos de demência frontotemporal sejam colocados em um de três subgrupos moleculares: degeneração lobar frontotemporal com tau (30% a 50% dos casos), proteína de ligação ao DNA-TAR 43 (TDP-43) ou fundida em sarcoma, sarcoma de Ewing e acúmulo de proteína do fator 15 associado à proteína de ligação a TATA (FET)
teste genético
Exame
A história familiar da demência frontotemporal (DFT) é um bom indicador de se o teste genético é apropriado. Mutações nos genes GRN e MAPT estão presentes quase que exclusivamente nos pacientes com uma forte história familiar, enquanto a expansão do C9orf72 pode ocorrer na doença aparentemente esporádica.[117] O teste genético é desejável para todos os pacientes com variante comportamental da DFT (vcDFT) provável ou possível, e nos pacientes com suspeita de vcDFT com características psiquiátricas fortes e, pelo menos, um membro da família afetado. O rastreamento para mutações em C9orf72 deve ocorrer para todos os pacientes com suspeita de DFT com sintomas psiquiátricos proeminentes ou uma história familiar de transtorno psiquiátrico primário de início tardio (mesmo se não forem atendidos todos os critérios diagnósticos completos).[28] A testagem genética (para MAPT, GRN e C9orf72) deve ser realizada caso os resultados possam contribuir para decisões relacionadas a gestação.
O teste genético deve ser considerado dentro do contexto de um serviço de genética clínica com a capacidade de oferecer suporte educacional e psicológico para as famílias afetadas. Recomenda-se aconselhamento pré e pós-teste. O aconselhamento genético avalia a história familiar e aconselha sobre os testes genéticos e seu impacto. Ele ajuda os indivíduos e suas famílias a entenderem os riscos e implicações potenciais da DFT, especialmente os tipos familiares, e facilita decisões sobre testes genéticos e o manejo da doença. Após os testes, o aconselhamento ajuda na interpretação dos resultados e fornece suporte e informações sobre padrões de herança e potenciais riscos para outros membros da família.[118][119]
Resultado
demonstração de mutações nos genes MAPT, GRN ou C9orf72 tipicamente; mutações em CHMP2B e outros genes são raras; a análise pode identificar um gene pertinente a uma demência diferente (como a doença de Alzheimer), circunstância em que o caso é uma fenocópia da DFT
perfil do tecido conjuntivo
Exame
Solicitado se indicado; resultados positivos podem descartar a demência frontotemporal.
Resultado
geralmente normais
velocidade de hemossedimentação sérica
Exame
Solicitada para o rastreamento de doenças inflamatórias.
Resultado
geralmente normais
eletroencefalograma (EEG)
Exame
O uso do EEG na demência é recomendado quando houver uma história de convulsões ou de alteração no nível de consciência, aumentando a possibilidade de epilepsia, encefalopatia ou evolução subaguda atípica.[106][120] Padrões de anormalidades epileptiformes lateralizadas ou bilaterais, ou ondas lentas (às vezes trifásicas e periódicas) apoiam um diagnóstico de epilepsia de início tardio, doença por príon, ou encefalopatias tóxicas, metabólicas, sépticas, autoimunes e anóxicas.[106][121][122][123]
Resultado
geralmente normais
eletromiografia (EMG)
Exame
Uma EMG pode ser indicada se forem observados sintomas e sinais sugestivos de esclerose lateral amiotrófica. Na disfunção do neurônio motor inferior, uma EMG pode mostrar evidências de alteração neurogênica crônica (potenciais das unidades motoras grandes de duração e/ou amplitude aumentadas) e evidências de desnervação contínua (potenciais de fibrilação ou ondas agudas positivas ou potenciais de fasciculação).[126]
Resultado
geralmente normais
Novos exames
biomarcadores em fluidos
Exame
Há um interesse crescente em explorar potenciais biomarcadores em fluidos corporais no líquido cefalorraquidiano (LCR), soro e plasma para fins de diagnóstico, prognóstico e estadiamento.
Não há um único biomarcador em fluido específico que identifique exclusivamente patologias frontotemporais (DFT) associadas a casos esporádicos. Vários marcadores foram e continuam sendo estudados. O uso de uma combinação de marcadores pode aumentar potencialmente a precisão do diagnóstico.[129]
Em comparação com a doença de Alzheimer, a DFT é caracterizada por níveis mais elevados de Aß42 no LCR e valores mais baixos de t-tau/Aß42 e p-tau/Aß42. A proporção de p-tau/Aß42 parece ser o biomarcador mais sensível e específico para discriminar a DFT com distúrbio de linguagem primário da doença de Alzheimer.[130] Também se demonstrou que os níveis plasmáticos de p-tau-181 e p-tau-217 estão elevados na doença de Alzheimer, mas não na DFT, exceto para certas mutações em MAPT.[131][132] Em pacientes com proteinopatia da proteína de ligação ao DNA-TAR 43 (TDP-43), há uma redução na proporção de p-tau181 em relação a tau total.[133] Vários outros biomarcadores em fluidos estão sendo pesquisados e podem se tornar clinicamente disponíveis no futuro.
Resultado
Aß42 no LCR elevado em comparação com a doença de Alzheimer, valores de t-tau/Aß42 e p-tau/Aß42 mais baixos do que na doença de Alzheimer, p-tau-181 e p-tau-217 plasmáticos geralmente normais, proporção de p-tau181 para tau total reduzida nos pacientes com proteinopatia TDP-43
O uso deste conteúdo está sujeito ao nosso aviso legal