Imagens e vídeos
IMAGENS

Demência frontotemporal
RNM ponderada em T1 coronal (a, b) e RNM com FDG-PET fundida (c) em um paciente com demência semântica
Bhogal P et al. Eur Radiol 23, 3405-17 (2013); usado com permissão
Veja esta imagem em contexto nas seguintes seções:

Demência frontotemporal
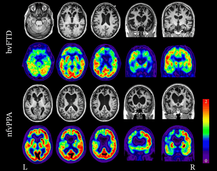
Padrões de neuroimagem associados à variante comportamental da DFT (vcDFT) e à variante não fluente da afasia progressiva primária (vnfAPP). RNM estrutural e FDG-PET demonstrando a variabilidade nos padrões de atrofia e hipometabolismo na DFT. No caso da vcDFT, observa-se atrofia bilateral significativa e hipometabolismo no lobo frontal. No caso da vnfAPP, a atrofia e o hipometabolismo são lateralizados e afetam muito mais o lobo frontal esquerdo do que o direito.
Peet BT et al. Neurotherapeutics 2021 Abr; 18 (2): 728-52; usado com permissão
Veja esta imagem em contexto nas seguintes seções:

Demência frontotemporal
Características clínicas que auxiliam no diagnóstico diferencial entre a variante comportamental da DFT (vcDFT) e a doença psiquiátrica primária
Antonioni A et al. Ex Rev of Neuro 2025; 25(3): 323-57; usado com permissão da Informa UK Limited, comercializada como Taylor & Francis Group, www.tandfonline.com
Veja esta imagem em contexto nas seguintes seções:
O uso deste conteúdo está sujeito ao nosso aviso legal