Imagens e vídeos
IMAGENS

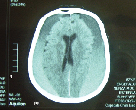
Hematoma subdural
TC cranioencefálica de um homem de 80 anos de idade com anormalidades da marcha e comprometimento cognitivo progressivo por cerca de 6 meses, mostrando um hematoma subdural crônico bilateral acima da convexidade cerebral
Adaptado de BMJ Case Rep. 2009;2009:bcr06.2008.0130
Veja esta imagem em contexto nas seguintes seções:

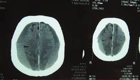
Hematoma subdural
TCs cranioencefálicas de um homem de 80 anos de idade com anormalidades da marcha e comprometimento cognitivo progressivo por cerca de 6 meses, mostrando um hematoma subdural crônico bilateral acima da convexidade cerebral
Adaptado de BMJ Case Rep. 2009;2009:bcr06.2008.0130
Veja esta imagem em contexto nas seguintes seções:
O uso deste conteúdo está sujeito ao nosso aviso legal