Imagens e vídeos
IMAGENS

Pericardite
Tomografia computadorizada (TC) do tórax em um bebê com pericardite purulenta, mostrando uma coleção pericárdica com compressão dos ventrículos esquerdo (VE) e direito (VD)
Karuppaswamy V, Shauq A, Alphonso N. BMJ Case Reports 2009; doi:10.1136/bcr.2007.136564
Veja esta imagem em contexto nas seguintes seções:

Pericardite
Pericardiectomia em um paciente do sexo masculino de 56 anos de idade com pericardite constritiva idiopática com calcificações. O pericárdio está espessado e calcificado
Patanwala I, Crilley J, Trewby PN. BMJ Case Reports 2009; doi:10.1136/bcr.06.2008.0015
Veja esta imagem em contexto nas seguintes seções:

Pericardite
Eletrocardiograma (ECG) em um paciente com pericardite aguda, mostrando supradesnivelamento difuso do segmento ST nas derivações precordiais. Além disso, é mostrado um infradesnivelamento do segmento PR nas derivações V2-V6 (setas)
Rathore S, Dodds PA. BMJ Case Reports 2009; doi:10.1136/bcr.2006.097071
Veja esta imagem em contexto nas seguintes seções:

Pericardite
Cirurgia por via aberta em um bebê com pericardite purulenta; o abscesso é indicado pela seta
Karuppaswamy V, Shauq A, Alphonso N. BMJ Case Reports 2009; doi:10.1136/bcr.2007.136564
Veja esta imagem em contexto nas seguintes seções:

Pericardite
Ecocardiografia em um bebê com pericardite purulenta, mostrando uma coleção pericárdica. VE = ventrículo esquerdo, VD = ventrículo direito
Karuppaswamy V, Shauq A, Alphonso N. BMJ Case Reports 2009; doi:10.1136/bcr.2007.136564
Veja esta imagem em contexto nas seguintes seções:

Pericardite
Pericardite constritiva identificada na autópsia; a seção direita é um corte de tecido cicatrizado da porção frontal do coração
Xu JD, Cao XX, Liu XP, et al. BMJ Case Reports 2009; doi:10.1136/bcr.03.2009.1688
Veja esta imagem em contexto nas seguintes seções:

Pericardite
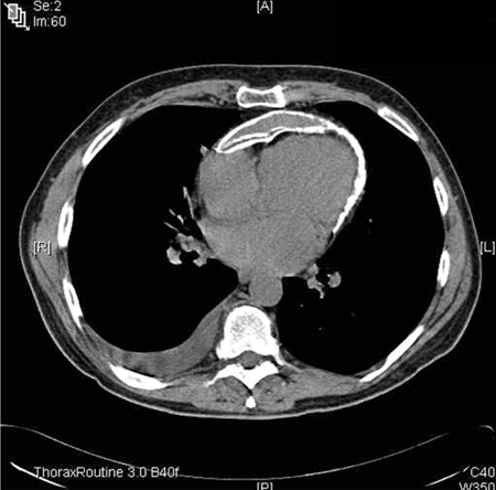
Tomografia computadorizada (TC) do tórax mostrando uma camada dupla de calcificação pericárdica em um paciente do sexo masculino de 56 anos de idade com pericardite constritiva idiopática com calcificações
Patanwala I, Crilley J, Trewby PN. BMJ Case Reports 2009; doi:10.1136/bcr.06.2008.0015
Veja esta imagem em contexto nas seguintes seções:
O uso deste conteúdo está sujeito ao nosso aviso legal