Investigações
Primeiras investigações a serem solicitadas
eletrocardiograma (ECG)
Exame
Realize um ECG em qualquer paciente com suspeita de pericardite aguda.[1]
Alterações típicas do ECG ocorrem em até 60% dos pacientes.[1]
As alterações clássicas do ECG são:
Elevações globais côncavas ascendentes (em forma de sela) do segmento ST (ponto J) com depressões do segmento PR na maioria das derivações[45]
Depressão do ponto J e elevação do PR nas derivações aVR e V1.
Se o paciente for examinado logo após o início dos sintomas, os infradesnivelamentos do segmento PR podem ser observados antes do supradesnivelamento do segmento ST.
O ECG pode evoluir em 4 fases: o estágio 1 consiste na elevação do ST e nas ondas T verticais que podem voltar ao normal (estágio 2) por um período de vários dias ou evoluir para a inversão da onda T (estágio 3) e depois para o normal (estágio 4).
[Figure caption and citation for the preceding image starts]: Eletrocardiograma (ECG) em um paciente com pericardite aguda, mostrando supradesnivelamento difuso do segmento ST nas derivações precordiais. Além disso, é mostrado um infradesnivelamento do segmento PR nas derivações V2-V6 (setas)Rathore S, Dodds PA. BMJ Case Reports 2009; doi:10.1136/bcr.2006.097071 [Citation ends].
Esteja ciente dos sinais de ECG do tamponamento cardíaco, uma complicação de risco de vida da pericardite. Eles incluem:
Alternantes elétricos de baixa tensão
Dissociação eletromecânica (associada ao tamponamento em estágio terminal).
Veja Tamponamento cardíaco.
Resultado
elevação côncava ascendente do segmento ST globalmente com depressões de PR na maioria das derivações; depressão do ponto J e elevação de PR nas derivações aVR e V1
troponina sérica
Exame
Peça uma troponina em qualquer paciente com suspeita de pericardite.[1]
A medição seriada da troponina pode ser necessária em alguns pacientes.[47] No entanto, um paciente pode não precisar disso se a troponina inicial for negativa e o diagnóstico de pericardite for claro.[47]
Níveis elevados podem estar presentes em 35% a 50% dos pacientes com pericardite e refletir o envolvimento miocárdico (miopericardite).[56] No entanto, esse teste não é específico ou sensível.
O nível de elevação se correlaciona com a extensão da elevação do segmento ST e pode estar na faixa considerada diagnóstica de infarto agudo do miocárdio em alguns pacientes. Níveis elevados não parecem deixar o prognóstico mais crítico. Os níveis voltam ao normal dentro de 1 a 2 semanas após o diagnóstico (geralmente em alguns dias).
Resultado
elevação indica miopericardite ou outras etiologias, como síndrome coronariana aguda[56]
pericardiocentese
Exame
Se você suspeitar de tamponamento cardíaco, uma complicação de risco de vida da pericardite, procure ajuda imediatamente de um colega sênior; esses pacientes precisam de pericardiocentese urgente.[1]
Outras indicações para pericardiocentese incluem suspeita de pericardite purulenta, alta suspeita de pericardite neoplásica ou derrame pericárdico grande ou sintomático em um paciente com pericardite não purulenta.[1]
Envie o líquido pericárdico para análise, que deve incluir testes para causas bacterianas, fúngicas, autoimunes e tuberculosas, além de conteúdo proteico e microscopia/citologia:[1]
Pericardite tuberculosa: a precisão diagnóstica pode ser melhorada com a identificação do organismo a partir do líquido pericárdico.[49][50][57] A atividade da adenosina desaminase no derrame pericárdico também pode auxiliar no diagnóstico como marcador adjuvante[1][51]
Pericardite viral: considere uma investigação abrangente de investigações histológicas, citológicas, imuno-histológicas e moleculares no líquido pericárdico para o diagnóstico definitivo[1]
Pericardite neoplásica: obtenha análise citológica do líquido pericárdico para confirmação da doença pericárdica maligna.[1]
Resultado
bacilos álcool-ácido resistentes, cultura positiva de Mycobacterium tuberculosis
transudato ou exsudato
proteína C-reativa
ureia sérica e eletrólitos séricos
Exame
Níveis elevados de ureia (particularmente >21.4 mmol/L [>60 mg/dL]) sugerem uma causa urêmica.[14]
Resultado
elevada >21.4 mmol/L (>60 mg/dL) na insuficiência renal
hemograma completo
testes da função hepática
Exame
Congestão hepática pode estar presente se o paciente estiver desenvolvendo tamponamento cardíaco.[46]
Resultado
elevado com congestão hepática
radiografia torácica
Exame
Solicite uma radiografia de tórax para qualquer paciente com suspeita de pericardite aguda.[1]
A radiografia de tórax geralmente é normal, a menos que um grande derrame pericárdico (> 300 mL) esteja presente; nesse caso, o índice cardiotorácico aumentará.[1]
Coração clássico em forma de frasco em grande derrame pericárdico
A radiografia de tórax também pode demonstrar doença pleuropericárdica, sinais de insuficiência cardíaca (se houver início indolente), patologia pulmonar concomitante que evidencia tuberculose, doença fúngica, pneumonia ou neoplasia que pode estar relacionada à doença.
Resultado
índice cardiotorácico normal e aumentado (se houver grande derrame pericárdico)
ecocardiografia
Exame
Organize a ecocardiografia transtorácica para qualquer paciente com suspeita de pericardite aguda. Se você suspeitar de tamponamento cardíaco, uma complicação de risco de vida da pericardite, isso deve ser realizado com urgência ao lado do leito.[1]
A European Society of Cardiology recomenda a ecocardiografia em todos os pacientes para completar uma estratificação de risco completa antes da alta.[1] No entanto, na prática, um paciente jovem, em forma e saudável pode receber alta sem uma ecocardiografia.
A ecocardiografia é importante na detecção de derrames pericárdicos, que são encontrados em até 60% dos casos e geralmente são pequenos.[1][52] A presença de derrame pericárdico é consistente com pericardite aguda e é um dos critérios para seu diagnóstico.[1]
A ecocardiografia também pode ajudar a diferenciar a pericardite das síndromes coronárias agudas. Elevações globais do ST na ausência de anormalidades de contratilidade da parede ventricular esquerda e um derrame pericárdico trivial apoiam o diagnóstico de pericardite aguda. No entanto, cerca de 5% dos pacientes com pericardite aguda e envolvimento miocárdico podem demonstrar anormalidades na contratilidade da parede.[1]
A ecocardiografia é insensível à inflamação pericárdica na pericardite seca; a tomografia computadorizada ou a ressonância magnética devem ser usadas para detectar a inflamação pericárdica (veja abaixo).[52]
[Figure caption and citation for the preceding image starts]: Ecocardiografia em um bebê com pericardite purulenta, mostrando uma coleção pericárdica. VE = ventrículo esquerdo, VD = ventrículo direitoKaruppaswamy V, Shauq A, Alphonso N. BMJ Case Reports 2009; doi:10.1136/bcr.2007.136564 [Citation ends].
Resultado
derrame pericárdico, ausência de anormalidades de contratilidade da parede ventricular esquerda, aparência espessada e/ou brilhante do pericárdio se estiver ativamente inflamado, evidência de variação respiratória no enchimento ventricular
Investigações a serem consideradas
hemoculturas
Exame
Se você suspeitar de pericardite purulenta e o paciente apresentar sinais de sepse, faça hemoculturas.[1]
Resultado
positiva para causa infecciosa
velocidade de hemossedimentação
Exame
A velocidade de hemossedimentação é consistente com um estado inflamatório.[1][14]
Medições seriadas podem ser úteis para monitoramento da atividade da doença e da resposta à terapia.[1]
Na prática, se a proteína C-reativa for aumentada, a VHS pode não ser necessária para confirmar a presença de inflamação.
Resultado
pode estar elevada
creatina quinase
Exame
A creatina quinase elevada indica lesão miocárdica.
Resultado
elevado com lesão miocárdica
triagem autoimune
Exame
Peça se você suspeitar de uma causa autoimune de pericardite.
Resultado
pode ser positiva
perfil viral
Exame
Solicite um exame viral (incluindo HIV) se suspeitar de uma causa viral de pericardite.
Resultado
pode ser positiva
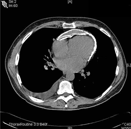
tomografia computadorizada (TC) do tórax ou ressonância nuclear magnética (RNM) cardíaca
Exame
Considere a tomografia computadorizada de tórax ou a ressonância magnética cardíaca, especialmente se a apresentação clínica sugerir pericardite complicada ou se a apresentação for atípica.[1][18][52][53]
O principal achado na pericardite aguda é o espessamento pericárdico.[18] O realce pericárdico pode ser observado na ressonância magnética cardíaca com realce tardio com gadolínio.[54]
A tomografia computadorizada/ressonância magnética também pode detectar complicações como derrame pericárdico ou pericardite constritiva, especialmente quando os achados ecocardiográficos são inconclusivos.[1] A ressonância magnética é mais sensível à pericardite constritiva.[18]
Informações diagnósticas adicionais também podem ser obtidas quando há trauma torácico associado, particularmente quando penetrante; ou no contexto de infarto agudo do miocárdio, carcinoma, infecção pulmonar ou torácica ou pancreatite. Em casos de suspeita de pericardite constritiva, a TC e a RNM oferecem medidas precisas de espessura pericárdica e extensão do espessamento pericárdico, que podem ser úteis para o planejamento pré-operatório antes da pericardiectomia.
[Figure caption and citation for the preceding image starts]: Tomografia computadorizada (TC) do tórax mostrando uma camada dupla de calcificação pericárdica em um paciente do sexo masculino de 56 anos de idade com pericardite constritiva idiopática com calcificaçõesPatanwala I, Crilley J, Trewby PN. BMJ Case Reports 2009; doi:10.1136/bcr.06.2008.0015 [Citation ends].
[Figure caption and citation for the preceding image starts]: Tomografia computadorizada (TC) do tórax em um bebê com pericardite purulenta, mostrando uma coleção pericárdica com compressão dos ventrículos esquerdo (VE) e direito (VD)Karuppaswamy V, Shauq A, Alphonso N. BMJ Case Reports 2009; doi:10.1136/bcr.2007.136564 [Citation ends].
Resultado
derrame pericárdico ou pericardite constritiva (os achados incluem aumento da espessura pericárdica, calcificação, desvio anormal do septo respiratório ou ressalto septal), dilatação da veia cava inferior e derrames pleurais
edema pericárdico na ressonância magnética cardíaca
biópsia pericárdica
Exame
Na prática, a biópsia raramente é necessária e foi substituída por outras investigações especializadas, como a ressonância magnética cardíaca.
Resultado
pode ser positiva (dependendo da causa subjacente, como pericardite devido à tuberculose, doença pericárdica maligna)
O uso deste conteúdo está sujeito ao nosso aviso legal