Imagens e vídeos
IMAGENS

Lesão do ligamento cruzado anterior
Manobra de Lachman
Do acervo pessoal de Philip H. Cohen
Veja esta imagem em contexto nas seguintes seções:

Lesão do ligamento cruzado anterior
Início do pivô
Do acervo pessoal de Philip H. Cohen
Veja esta imagem em contexto nas seguintes seções:

Lesão do ligamento cruzado anterior
Posição inicial do teste de gaveta anterior e posterior
Do acervo pessoal de Philip H. Cohen
Veja esta imagem em contexto nas seguintes seções:

Lesão do ligamento cruzado anterior
Teste de estabilidade em varo e valgo
Do acervo pessoal de Philip H. Cohen
Veja esta imagem em contexto nas seguintes seções:

Lesão do ligamento cruzado anterior
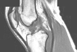
RNM ponderada em T2 mostrando fratura por impactação do côndilo femoral do compartimento lateral e do platô tibial, derrame e achatamento do sulco terminal que ocorre com a manobra do ressalto (pivot shift) em lesão do LCA.
Do acervo pessoal de Philip H. Cohen
Veja esta imagem em contexto nas seguintes seções:

Lesão do ligamento cruzado anterior
Fim do pivô
Do acervo pessoal de Philip H. Cohen
Veja esta imagem em contexto nas seguintes seções:

Lesão do ligamento cruzado anterior
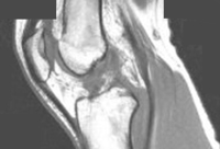
Ressonância nuclear magnética (RNM) ponderada em T1 mostrando ruptura do ligamento cruzado anterior (LCA)
Do acervo pessoal de Philip H. Cohen
Veja esta imagem em contexto nas seguintes seções:
O uso deste conteúdo está sujeito ao nosso aviso legal