Imagens e vídeos
IMAGENS

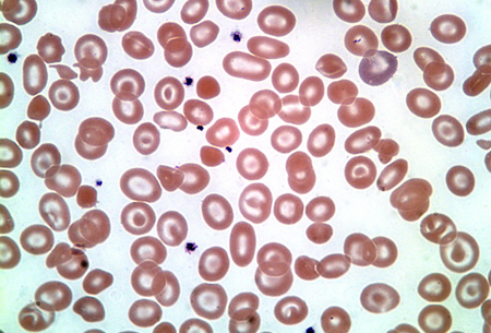
Talassemia alfa
Doença da hemoglobina H
Do acervo de Elizabeth A. Price e Stanley L. Schrier, Stanford University
Veja esta imagem em contexto nas seguintes seções:
O uso deste conteúdo está sujeito ao nosso aviso legal
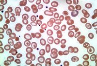
Doença da hemoglobina H
Do acervo de Elizabeth A. Price e Stanley L. Schrier, Stanford University
Veja esta imagem em contexto nas seguintes seções:
O uso deste conteúdo está sujeito ao nosso aviso legal