კვლევები
1-ად შესაკვეთი გამოკვლევები
არაპირდაპირი იმუნოფლუორესცენტული ანალიზი (IFA)
ტესტი
დიაგნოსტიკური დადასტურების უპირატესი მეთოდი მაღალი სენსიტიურობისა და სპეციფიკურობის გამო.
დასკვნითი დიაგნოზი უნდა დადგინდეს დადებითი სეროლოგიის და შესაბამისი კლინიკური და/ან პარაკლინიკური ნიშნების შემთხვევაში.
გამოიყენება სხვადასხვა ზღვრული ტიტრის მაჩვენებელი.[2]
ენდოკარდიტის დიაგნოზი დადგენილია I ფაზის ანტიგენის დაბალ IgG ტიტრზე, 1:200, გულის მძიმე დაავადების მქონე პაციენტებში; შესაბამისად, შედეგების ინტერპრეტირებისას საჭიროა კლინიკური კონტექსტის გათვალისწინება.[73][79]
შედეგი
მწვავე ინფექცია: II ფაზის ანტიგენის IgM ტიტრი ≥1:50 და II ფაზის ანტიგენის IgG ≥1:200, ან სეროკონვერსია; პერსისტენტული ფოკალური ინფექცია: I ფაზის ანტიგენის IgG ≥1:800 და დაბალი ან დაუფიქსირებელი II ფაზის ანტიგენის IgM
პოლიმერაზული ჯაჭვური რეაქცია (PCR)
ტესტი
პოლიმერაზული ჯაჭვური რეაქცია (PCR) შეიძლება გამოიყენოთ მწვავე ინფექციის დიაგნოსტირებისათვის, ანტიბიოტიკოთერაპიის ინიცირებამდე (იდეალურ შემთხვევაში ნიმუშები ავადმყოფობის პირველი 2 კვირის განმავლობაში უნდა აიღოთ); თუმცა, ყოველთვის ხელმისაწვდომი არ არის. ამ მეთოდის უპირატესობა არის ადრეული დიაგნოსტიკა (სეროლოგიასთან შედარებით).
PCR მაღალსენსიტიურია ქსოვილოვან ნიმუშებზე, როგორიცაა გულის სარქველი ბაქტერიების მაღალი დატვირთვით.[74][75]
პოლიმერაზული ჯაჭვური რეაქციის ჩატარება შესაძლებელია სისხლზე/შრატზე. ამ ტესტის საშუალებით დიაგნოზის დადგენა შესაძლებელია სეროკონვერსიის ფაზამდე. დნმ-ის ლიოფილიზაცია აძლიერებს მეთოდის სენსიტიურობას.[76]
შედეგი
დადებითი პასუხი C burnetii-ის დნმ-ზე
FBC
ტესტი
პაციენტთა დაახლოებით 30%-ში მომატებულია ლეიკოციტების რაოდენობა. ანემია და მსუბუქი თრომბოციტოპენია შეიძლება აღინიშნოს (შემთხვევათა 25%-ში).[5]
შედეგი
ლეიკოციტოზი, ანემია, თრომბოციტოპენია
CRP
ტესტი
შეიძლება იყოს მომატებული, განსაკუთრებით პერსისტენტული ფოკალური ინფექციების შემთხვევაში.
შედეგი
მოამტებულია
LFT
ტესტი
მწვავე ინფექციის და პერსისტენტული ფოკალური ინფექციის შემთხვევაში შრატის ტრანსამინაზები და ტუტე ფოსფატაზა შეიძლება მომატებული იყოს (ნორმაზე ორჯერ ან მეტჯერ).[38] ბილირუბინის დონე უნდა იყოს ნორმის ფარგლებში; თუმცა, ფიქსირდება მძიმე ჰეპატიტის და სიყვითლის რანდენიმე შემთხვევაც.[2][70]
შედეგი
მოამტებულია
აქტივირებული ნაწილობრივი თრომბოპლასტინის დრო
ტესტი
ხშირად გახანგრძლივებულია მგლურას ანტიკოაგულანტის (ანტი-პროთრომბინაზული აქტივობა) არსებობის გამო.
გამოირჩევა მაღალი სპეციფიკურობით C burnetii-ის ინფექციის მიმართ, რომელიც დაკავშირებულია ღვიძლის ფერმენტების მომატებასთან.
შედეგი
გახანგრძლივებულია
IgG ანტიკარდიოლიპინის (aCL) ანტისხეულები
ტესტი
ხშირად მომატებულია და ასოცირებულია მწვავე ენდოკარდიტთან, ვალვულოპათიის არსებობასთან, ენდოკარდიტად პროგრესირებასთან და თრომბოზთან როცა რაოდენობა არის ≥75 G ანტიფოსფოლიპიდურ ერთეულზე (GPLU).[55][71]
IgM aCL ანტისხეულები და გლუვი კუნთის საწინააღმდეგო ანტისხეულები ასევე შეიძლება იყოს მომატებული.
შედეგი
მოამტებულია
გასათვალისწინებელი კვლევები
თავზურგტვინის სითხეში (CSF) უჯრედების რაოდენობა და დიფერენციული ანალიზი
ტესტი
შეიძლება აღინიშნოს მენინგოენცეფალიტის მქონე პაციენტებში.[72]
შედეგი
ლეიკოციტოზი ლიმფოციტოზით
ცილა თავზურგტვინის სითხეში
ტესტი
მენინგოენცეფალიტის მქონე პაციენტებში შეიძლება აღინიშნოს მომატებული ცილა და გლუკოზა ნორმაში.[72]
შედეგი
მოამტებულია
გლუკოზა თავზურგტვინის სითხეში
ტესტი
მენინგოენცეფალიტის მქონე პაციენტებში შეიძლება აღინიშნოს მომატებული ცილა და გლუკოზა ნორმაში ან დაქვეითებული.[72]
შედეგი
ნორმის ფარგლებში
გულმკერდის რენტგენოლოგიური კვლევით
ტესტი
შეიძლება საჭირო გახდეს როგორც მწვავე, ასევე პერსისტენტული ფოკალური დაავადების შემთხვევაში, ფილტვის გართულებებზე ეჭვის დროს.
დასკვნები შეიძლება მერყეობდეს ორივე ფილტვის ნორმალურიდან მრავლობით არასპეციფიკურ( დამახასიათებელი სურათის ან გავრცელების გარეშე)გამჭვირვალობამდე, რაც ყველაზე მეტად შეესაბამება ატიპიურ პნევმონიას. გულმკერდის რადიოგრაფიაზე ყველაზე ხშირი პათოლოგიებია სეგმენტური ან წილოვანი დაჩრდილვები. Q ცხელების პნევმონიის დამახასიათებელი ნიშანია რამდენიმე მრგვალი დაჩრდილვა, თუმცა ეს იშვიათია.[38]
შეიძლება გამოვლინდეს პლევრული გამონაჟონი, ატელექტაზი, ჰილარული ლიმფადენოპათია, თუმცა იშვიათია.
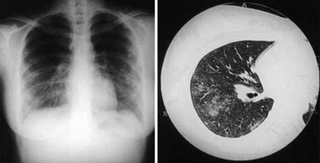
პერსისტენტული ფოკალური ინფექციის მქონე პაციენტებში გულმკერდის რენტგენზე შეიძლება გამოვლინდეს ორი განსხვავებული პერსისტენტული ინფექცია: ინტერსტიციული ფიბროზის და ფილტვის ფსევდოსიმსივნე.[Figure caption and citation for the preceding image starts]: Coxiella burnetii-ით გამოწვეული პნევმონია გულმკერდის რენტგენი და CT სკანირება- 21 წლის ქალი Coxiella burnetii პნევმონიით; რენტგენზე ჩანს რბილი კონსოლიდაციის მრავლობითი წერტილი ორმხრივად, ქვედა-შუა წილებში; CT -ზე ჩანს ცუდად გამოკვეთილი ცენტრალური კვანძები და ჰაერის სივრცის კონსოლიდაციაOkimoto N, et al. Respirology. 2004;9:278-282; used with permission of John Wiley & Sons Ltd [Citation ends].
შედეგი
ნორმის ფარგლებში ან ნორმიდან გადახრა
ტრანსთორაკალური ექოკარდიოგრაფია (TTE)
ტესტი
ტრანსთორაკალური ექოკარდიოგრაფია რუტინულად არის რეკომენდებული მწვავე ინფექციის დროს, რათა გამორიცხოთ გულის ფარული დაზიანებები (საჭიროებს ანტიბიოტიკებით პროფილაქტიკას). მწვავე დაავადების მქონე პაციენტებში IgG ანტიკარდიოლიპინის ანტისხეულის ძალიან მაღალი დონის შემთხვევაში შესაძლებელია გამოვლინდეს დიდი ზომის ვეგეტაცია (მწვავე ენდოკარდიტი).[57] ქრონიკული ენდოკარდიტის შემთხვევაში ვეგეტაციები მცირე ზომისაა ან საერთოდ არ გვხვდება.[80] კვანძოვანი დაზიანებები და კალციფიკატები ასევე საკმაოდ ხშირია.
შედეგი
ნორმაშია ან პათოლოგიურია; სარქვლოვანი ვეგეტაციები შეიძლება ნახოთ მწვავე დაავადების დროს, IgG aCL ანტისხეულების ძალიან მაღალი დონის შემთხვევაში
ტრანსეზოფაგური ექოკარდიოგრაფია (TOE)
ტესტი
ტრანსეზოფაგური ექოკარდიოგრაფია რეკომენდებულია გულის დაზიანებების გამოსავლენად >40 წლის პაციენტებში, რომელთაც აღენიშნებათ მწვავე იფნექცია, უარყოფითი ტრანსთორაკალური ექოკარდიოგრაფია და იმუნოგობულინ G ანტიკარდიოლიპინური ანტისხეულები ≥75 G ანტიფოსფოლიპიდურ ერთეულზე.[3]
შედეგი
ნორმაშია ან პათოლოგიურია; სარქვლოვანი ვეგეტაციები შეიძლება ნახოთ მწვავე დაავადების დროს, IgG aCL ანტისხეულების ძალიან მაღალი დონის შემთხვევაში
ღვიძლის ულტრაბგერითი გამოკვლევა
ტესტი
გამოიყენება მწვავე დაავადების დროს ღვიძლის ჩართულობაზე ეჭვის შემთხვევაში.
ნიშნები შეიძლება მიუთითებდეს გრანულომატოზურ ჰეპატიტზე.
ქრონიკული ჰეპატომეგალია ხშირად არის ასოცირებული ენდოკარდიტთან.
შედეგი
ნორმის ფარგლებში ან ნორმიდან გადახრა
მუცლის ღრუს კომპიუტერული ტომოგრაფია ან ულტრაბგერა
ტესტი
რეკომენდებულია მწვავე Q ცხელების დროს >65 წლის პაციენტებში, რომლებიც ეწევიან ან ეწეოდნენ წარსულში ან ოჯახურ ანამნეზში აქვთ ანევრიზმა. აორტის ანევრიზმის მქონე პაციენტის შემთხვევაში მწვავე Q ცხელება საჭიროებს განსხვავებულ, სპეციფიკურ მიდგომას.[3]
შედეგი
ნორმის ფარგლებში ან ნორმიდან გადახრა
გულმკერდის CT (კომპიუტერული ტომოგრაფია)
ტესტი
როგორც წესი, ეს კვლევები რუტინულად არ არის საჭირო, თუმცა შეიძლება გამოიყენოთ ფილტვის გართულებების შესაფასებლად მწვავე ინფექციის დროს.[Figure caption and citation for the preceding image starts]: Coxiella burnetii-ით გამოწვეული პნევმონია გულმკერდის რენტგენი და CT სკანირება- 21 წლის ქალი Coxiella burnetii პნევმონიით; რენტგენზე ჩანს რბილი კონსოლიდაციის მრავლობითი წერტილი ორმხრივად, ქვედა-შუა წილებში; CT -ზე ჩანს ცუდად გამოკვეთილი ცენტრალური კვანძები და ჰაერის სივრცის კონსოლიდაციაOkimoto N, et al. Respirology. 2004;9:278-282; used with permission of John Wiley & Sons Ltd [Citation ends].
შედეგი
ნორმის ფარგლებში ან ნორმიდან გადახრა
თავის ტვინის CT
ტესტი
როგორც წესი, ეს კვლევები რუტინულად არ არის საჭირო, თუმცა შეიძლება გამოიყენოთ ნევროლოგიური გართულებების შესაფასებლად მწვავე Q ცხელების ან ენდოკარდიტის დროს.
შედეგი
ნორმის ფარგლებში ან ნორმიდან გადახრა
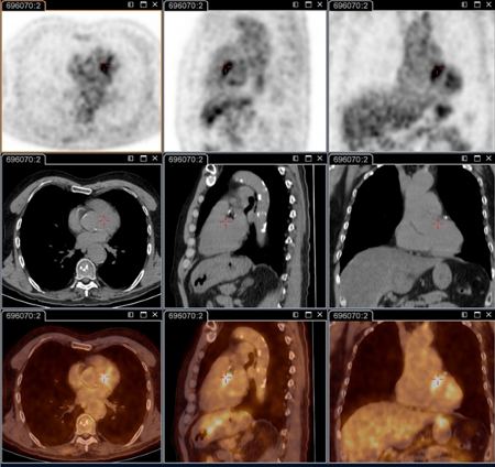
18F-ფთორდეზოქსიგლუკოზით (FDG) PET/CT სკანირება
ტესტი
კრიტიკული მნიშვნელობისაა პერსისტენტული ფოკალური ინფექციების იდენტიფიცირებისათვის.[78]
კვლევის ამ მეთოდით შესაძლებელია ენდოკარდიტის, სისხლძარღვოვანი ინფექციის, ლიმფადენიტის, ძვალსახსროვანი ინფექციების გარჩევა. ამ მიდგომის გარეშე ჩამოთვლილი მდგომარეობების იდენტიფიცირება შეუძლებელია.
ამჟამად აღნიშნული კვლევა სტანდარტული ანატომიური კვლევის მეთოდია პერსისტენტული სიმპტომების და/ან პერსისტენტულად მომატებული სეროლოგიური მაჩვენებლების და/ან სისხლის ან შრატის დადებითი პჯრ-ის მქონე პაციენტებში, ან ნებისმიერ შემთხვევაში როცა კლინიკური გამოვლინება არ შეესაბამება პირველად ინფექციას.[3]
კონკრეტულად რეკომენდებულია შემდეგი პაციენტებისთვის: მწვავე Q ცხელება პერსისტენტული I ფაზის IgG ≥1:800 და/ან ვლინდება ცუდი კლინიკური განვითარება; მწვავე Q ცხელება სისხლძარღვის გრაფტის ან ანევრიზმის ანამნეზით; ან აუხსნელი (I ფაზის IgG ≥1:800) სეროლოგიით ან პერსისტენტულ ინფექციაზე კლინიკური ეჭვის დროს.
ასევე გამოსადეგია ინფექციის იდენტიფიცირება პაციენტებში, რომელთაც აღენიშნებათ სისხლძარღვის პროთეზი და/ან ანევრიზმა. საჭიროა გადაწყვეტილების მიღება, თუ რომელ პაციენტს ესაჭიროება ქირურგია ინფიცირებული სისხლძარღვოვანი ქსოვილების ამოსაკვეთად.[Figure caption and citation for the preceding image starts]: Q ცხელების ენდოკარდიტი, PET სკანირება: 18F-ფთორდეზოქსიგლუკოზა PET/CT. პაციენტი უსიმპტომოა, ანამნეზში აქვს სარქველის პრობლემა, მომატებულია სეროლოგია. PET სკანირებით დიაგნოსტირდა აორტის ენდოკარდიტი ბუნებრივ სარქველზე, თორაკალური და წელის აორტის მიკოზური ანევრიზმებითInstitut Hospitalo-Universitaire Méditerranée Infection (პაციენტის ნებართვა აღებულია) [Citation ends].
[Figure caption and citation for the preceding image starts]: Q ცხელების აორტული მიკოზური თორაკალური ანევრიზმა - PET სკანირება: 18F-ფთორდეზოქსიგლუკოზა PET/CT. პაციენტი უსიმპტომოა, ანამნეზში აქვს სარქველის პრობლემა, მომატებულია სეროლოგია. PET სკანირებით დიაგნოსტირდა აორტის ენდოკარდიტი ბუნებრივ სარქველზე, თორაკალური და წელის აორტის მიკოზური ანევრიზმებითInstitut Hospitalo-Universitaire Méditerranée Infection (პაციენტის ნებართვა აღებულია) [Citation ends].
[Figure caption and citation for the preceding image starts]: Q ცხელების აორტული მიკოზური ანევრიზმა - PET სკანირება: 18F-ფთორდეზოქსიგლუკოზა PET/CT. პაციენტი უსიმპტომოა, ანამნეზში აქვს სარქველის პრობლემა, მომატებულია სეროლოგია. PET სკანირებით დიაგნოსტირდა აორტის ენდოკარდიტი ბუნებრივ სარქველზე, თორაკალური და წელის აორტის მიკოზური ანევრიზმებითInstitut Hospitalo-Universitaire Méditerranée Infection (პაციენტის ნებართვა აღებულია) [Citation ends].
შედეგი
დადებითია პერსისტენტულ ფოკალურ ინფექციაზე (მაგ. გულის სარქველი, ლიმფადენიტის სისხლძარღვოვანი ელემენტი, ლიმფური კვანძი, ძვალსახსროვანი ელემენტი)
ლიმფური კვანძების ბიოფსია
ტესტი
ქრონიკული ლიმფადენიტი (დიაგნოსტირდება 18F-FDG PET/CT-ით), ექვემდებარება რუტინულ ბიოფსიას ლიმფომის რისკის გამო.[64]
შედეგი
დადებითია რეაქტიულ ლიმფადენიტზე, გრანულომატოზურ ლიმფადენიტზე ან არა-ჰოჯკინის B-უჯრედულ ლიმფომაზე
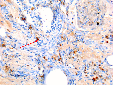
იმუნოჰისტოქიმია
ტესტი
ითვლება Coxiella burnetii-ის ოქროს სტანდარტის ტესტად, თუმცა სრულდება მხოლოდ სპეციალიზებულ ლაბორატორიებში.
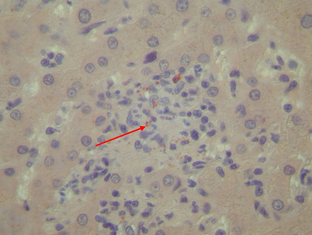
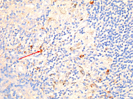
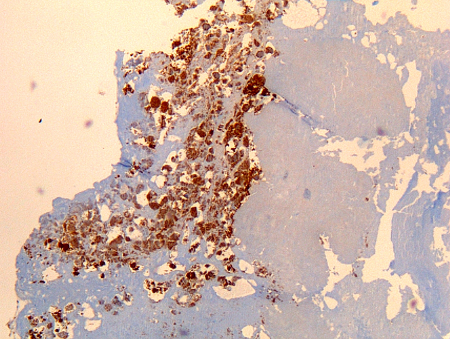
იმუნოჰისტოქიმიას აქვს ბაქტერიული ინფექციის სხვადასხვა უჯრედული ტიპების იდენტიფიცირების უპირატესობა, თუმცა ისეთივე სენსიტიური არ არის, როგორც ფლუორესცენტული ინ სიტუ ჰიბრიდიზაცია (FISH).[Figure caption and citation for the preceding image starts]: Coxiella burnetii ოსტეიტი: იმუნოჰისტოქიმია: ყავისფერი შეფერილობა ავლენს ბაქტერიას მონოციტებში/მაკროფაგებშიHubert Lepidi, Institut Hospitalo-Universitaire Méditerranée Infection [Citation ends].
[Figure caption and citation for the preceding image starts]: Coxiella burnetii ფილტვის ფიბროზი: იმუნოჰისტოქიმია: ყავისფერი შეფერილობა ავლენს ბაქტერიას მონოციტებში/მაკროფაგებშიHubert Lepidi, Institut Hospitalo-Universitaire Méditerranée Infection [Citation ends].
[Figure caption and citation for the preceding image starts]: Coxiella burnetii ენდოკარდიტი: იმუნოჰისტოქიმია. ანთების დაბალი დონე. ყავისფერი შეფერილობა ავლენს ბაქტერიას მონოციტებში/მაკროფაგებში. როგორც წესი, ვეგეტაცია არ გვხვდებაHubert Lepidi, Institut Hospitalo-Universitaire Méditerranée Infection [Citation ends].
[Figure caption and citation for the preceding image starts]: Coxiella burnetii ქრონიკული ლიმფადენიტი: იმუნოჰისტოქიმია. იზოლირებულია ინფიცირებული უჯრედი (მონიციტი/მაკროფაგი) ლიმფურ კვანძში. ყავისფერი შეფერილობა ავლენს ბაქტერიას მონოციტებში/მაკროფაგებშიHubert Lepidi, Institut Hospitalo-Universitaire Méditerranée Infection [Citation ends].
[Figure caption and citation for the preceding image starts]: Coxiella burnetii ქრონიკული ჰეპატიტი ენდოკარდიტის მქონე პაციენტში: იმუნოჰისტოქიმია. არ გვხვდება დონატი-გრანულომა, რომელიც მწვავე Q ცხელების დროს არის ხოლმე. ყავისფერი შეფერილობა ავლენს ბაქტერიას მონოციტებში/მაკროფაგებშიHubert Lepidi, Institut Hospitalo-Universitaire Méditerranée Infection [Citation ends].
შედეგი
დადებითია C burnetii-ის ბაქტერიაზე
ფლუორესცენტული ინ სიტუ ჰიბრიდიზაცია (FISH)
ტესტი
ითვლება Coxiella burnetii-ის ოქროს სტანდარტის ტესტად, თუმცა სრულდება მხოლოდ სპეციალიზებულ ლაბორატორიებში.
სხვადასხვა უჯრედულ ტიპებში ბაქტერიული ინფექციის აღმოსაჩენად FISH უფრო მგრძნობიარეა, ვიდრე იმუნოჰისტოქიმია.[Figure caption and citation for the preceding image starts]: Coxiella burnetii ფილტვის ფსევდოსიმსივნე: ფლუორესცენტული ინ სიტუ ჰიბრიდიზაცია (FISH). წითელი: იმუნოფლუორესცენცია. მწვანე: FISH და სპეციფიკური 16S რნმ ფრაგმენტი. ყვითელი: კო-ლოკალიზაცია- იმუნოფლუორესცენცია და FISH ადასტურებს ბაქტერიის არსებობას ფილტვის ფსევდოსიმსივნის ორი უჯრედის ციტოპლაზმაშიGilles Audoly, Institut Hospitalo-Universitaire Méditerranée Infection [Citation ends].
შედეგი
დადებითია C burnetii-ის ბაქტერიაზე
ამ მასალის გამოყენება ექვემდებარება ჩვენს განცხადებას