Pruebas diagnósticas
Primeras pruebas diagnósticas para solicitar
radiografía de tórax
Prueba
En la neumonitis o neumonía que se produce a partir de la aspiración del contenido gástrico, aparecen consolidaciones bilaterales del espacio aéreo en placas de distribución basal y perihiliar.[48] Las áreas que quedan involucradas más frecuentemente son los segmentos superior y posterobasal del lóbulo inferior derecho y el segmento posterior del lóbulo superior derecho, debido a su ubicación postural en el decúbito supino. Si el paciente se encuentra en una posición diferente, pueden involucrarse otros segmentos.
Los cambios en las radiografías suelen ser evidentes en las 2 horas posteriores a la aspiración, pero si se desarrolla neumonía, las opacidades pueden hacerse evidentes días después y tardar semanas en resolverse. Véase el apartado Neumonía por aspiración.
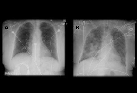
La aspiración de bario debe confirmarse mediante radiografía de tórax.[70][71][72][Figure caption and citation for the preceding image starts]: A. Radiografía portátil de tórax en posición erguida antes de la aspiración; B. Radiografía de tórax 1 hora después de la aspiración, en la que se muestran infiltrados alveolares difusos bilaterales, peores en las bases del lado derechoDe la colección del Dr. Henri Colt [Citation ends].
[Figure caption and citation for the preceding image starts]: Aspiración de bario. Se produjo una ingesta de bario en una mujer de 53 años. Las imágenes revelaron material hiperdenso centrado en la vía respiratoria en el lóbulo inferior izquierdo compatible con bronquiolitis por aspiración de bario. Se confirmó una fístula traqueoesofágicaDe la colección del Dr. Augustine Lee; utilizado con el permiso de la Fundación Mayo para la Educación e Investigación Médica, todos los derechos reservados [Citation ends].
Se estima que el 25% de los casos pueden no ser evidentes en las radiografías de tórax en relación con los estudios por imágenes por TC.[68]
Resultado
consolidaciones irregulares y bilaterales del espacio aéreo; el bario puede identificarse por opacidades hiperdensas en los pulmones medios e inferiores, a veces delineando el árbol traqueobronquial, y más distalmente, con un patrón bronquiocéntrico o centilobulillar
Pruebas diagnósticas que deben considerarse
tomografía computarizada (TC) de tórax
Prueba
En los casos de aspiración de contenido gástrico, pueden observarse opacidades en los segmentos inferiores del pulmón. La exploración por TC de tórax delinea con precisión la ubicación de las opacidades lobulares y segmentarias. En los casos avanzados, los hallazgos pueden ser indistinguibles de los del síndrome de dificultad respiratoria aguda. Véase el apartado Síndrome de dificultad respiratoria aguda.
La aspiración de grasa (neumonía lipoidea exógena) o material de contraste a veces se puede determinar midiendo la atenuación del tejido en las tomografías computarizadas. El absceso y empiema pulmonar son complicaciones potenciales de la aspiración que se visualizan mejor con una TC que con una radiografía de tórax simple.[73] Véase los apartados Absceso pulmonar y Empiema.
Si bien una radiografía de tórax es suficiente en la mayoría de los casos de aspiración, puede solicitarse una TC de tórax si se sospecha la aspiración de cuerpo extraño (para planificar su extracción) o si el paciente no mejora con el tratamiento inicial (para descartar empiema o absceso pulmonar).
La TC de tórax es superior en comparación con la RT en la detección de la neumonía por aspiración, y si la RT inicial no es concluyente, se debe solicitar una TC.[68]
[Figure caption and citation for the preceding image starts]: Neumonía lipoidea. Mujer de 77 años con disfagia y acalasia después de un accidente cerebrovascular que presentó infiltrados pulmonares recurrentes, incluida una lesión persistente del lóbulo medio derecho. La medición de las unidades de Hounsfield (HU) fue de -157, compatible con neumonía lipoidea. Se muestra la grasa subcutánea comparativa y la HU de la aorta (sangre/tejido)De la colección del Dr. Augustine Lee; utilizado con el permiso de la Fundación Mayo para la Educación e Investigación Médica, todos los derechos reservados [Citation ends].
Resultado
opacidades en los segmentos inferiores
broncoscopia con lavado broncoalveolar
Prueba
La broncoscopia está indicada si el material aspirado es particulado o potencialmente obstructivo, o si hay evidencia radiográfica de colapso lobular o segmentario, a fin de despejar las vías respiratorias. Además, una broncoscopia puede utilizarse para recolectar cultivos cuantitativos del lavado broncoalveolar o del cepillo protegido para muestras, que se pueden utilizar para orientar la antibioticoterapia, en particular en los pacientes que no responden al tratamiento provisorio con antibióticos.
El análisis citológico puede detectar tumores inusuales que pueden parecer neumónicos en los estudios por imágenes. Cuando el diferencial es más amplio, ocasionalmente se puede emplear una biopsia broncoscópica para las neumonías intersticiales y otras consideraciones, aunque no con frecuencia en el entorno agudo.[75] Por último, puede ser importante una exploración broncoscópica cuidadosa para identificar una fístula traqueoesofágica que puede estar complicando el cáncer, la cirugía, la radiación o el traumatismo.
En los casos de aspiración de sulfato de bario, especialmente si un paciente tiene hipoxia o dificultad respiratoria, se debe realizar una broncoscopia temprana para eliminar el bario de las vías respiratorias, pero existe cierto riesgo de diseminar el contraste a las vías respiratorias no afectadas. Se han informado muertes de pacientes que aspiraron bario y a los que no se les realizó una broncoscopia para despejar las vías respiratorias.[24][74][Figure caption and citation for the preceding image starts]: Broncoscopia que muestra la aspiración de bario en el bronquio principal derecho de un paciente sometido a un trasplante de pulmón, tras un estudio con ingesta de solución de barioDe la colección del Dr. Kamran Mahmood [Citation ends].
Resultado
eritema de las vías respiratorias; material particulado, se puede ver bario; las muestras tomadas con cepillo protegido se pueden usar para identificar, confirmar o refutar la presencia de una infección; puede haber eosinófilos o células tumorales
hemograma completo (HC)
Prueba
Se realiza si la neumonía se desarrolla después de la aspiración de contenido gástrico.
Resultado
leucocitosis
gasometría arterial
Prueba
La aspiración puede provocar hipoxia.
Resultado
disminución de la tensión de oxígeno
hemocultivo
Prueba
En el contexto de la obstrucción del intestino delgado, donde existe un alto riesgo de translocación bacteriana, contaminación bacteriana del jugo gástrico y sepsis, el inicio de los antibióticos debe considerarse desde el principio y debe ajustarse cuando se identifiquen patógenos.[2][79] Véase los apartados Obstrucción del intestino delgado y Sepsis en adultos.
Resultado
crecimiento de especies bacterianas causantes
Toracocentesis
Prueba
Se debe considerar la toracocentesis para microscopía, cultivo y sensibilidad si existe preocupación por un derrame paraneumónico complicado. Véase los apartados Derrame pleural y Empiema.
Resultado
crecimiento de especies bacterianas causantes
El uso de este contenido está sujeto a nuestra cláusula de exención de responsabilidad