Uno de los entornos frecuentes en los que se sabe que tiene lugar la aspiración pulmonar es el período perioperatorio. Varios factores de riesgo, como la disminución de la conciencia, la posición supina prolongada y la gravedad de la enfermedad, pueden predisponer a un individuo a la aspiración del contenido gástrico. En los Estados Unidos, la incidencia reportada de aspiración pulmonar perioperatoria en la población adulta oscila entre 1 en 3216 (en 1993) y 1 en 7103 (en 2006).[5]Warner MA, Warner ME, Weber JG. Clinical significance of pulmonary aspiration during the perioperative period. Anesthesiology. 1993 Jan;78(1):56-62.
http://www.ncbi.nlm.nih.gov/pubmed/8424572?tool=bestpractice.com
[6]Sakai T, Planinsic RM, Quinlan JJ, et al. The incidence and outcome of perioperative pulmonary aspiration in a university hospital: a 4-year retrospective analysis. Anesth Analg. 2006 Oct;103(4):941-7.
https://journals.lww.com/anesthesia-analgesia/fulltext/2006/10000/the_incidence_and_outcome_of_perioperative.28.aspx
http://www.ncbi.nlm.nih.gov/pubmed/17000809?tool=bestpractice.com
Los estudios publicados en 1986 y 1993 informaron que la aspiración se dio en 1 de cada 3000 casos de anestesia y representó del 10% al 30% de las muertes asociadas con la anestesia.[2]Marik PE. Aspiration pneumonitis and aspiration pneumonia. N Engl J Med. 2001 Mar 1;344(9):665-71.
http://www.ncbi.nlm.nih.gov/pubmed/11228282?tool=bestpractice.com
[5]Warner MA, Warner ME, Weber JG. Clinical significance of pulmonary aspiration during the perioperative period. Anesthesiology. 1993 Jan;78(1):56-62.
http://www.ncbi.nlm.nih.gov/pubmed/8424572?tool=bestpractice.com
[7]Olsson GL, Hallen B, Hambraeus-Jonzon K. Aspiration during anaesthesia: a computer-aided study of 185,358 anaesthetics. Acta Anaesthesiol Scand. 1986 Jan;30(1):84-92.
http://www.ncbi.nlm.nih.gov/pubmed/3754372?tool=bestpractice.com
Aunque la incidencia de aspiración es baja, el alcance de la cirugía ha aumentado en las personas con comorbilidades y en la población de edad avanzada, y se espera que estos pacientes tengan una mayor incidencia de aspiración.[8]Ng A, Smith G. Gastroesophageal reflux and aspiration of gastric contents in anesthetic practice. Anesth Analg. 2001 Aug;93(2):494-513.
http://www.anesthesia-analgesia.org/content/93/2/494.full
http://www.ncbi.nlm.nih.gov/pubmed/11473886?tool=bestpractice.com
En la población pediátrica, un estudio del Reino Unido publicado en 2013 señala una incidencia de aspiración pulmonar perioperatoria de 1 en 4932 anestésicos en el entorno electivo y de 1 en 4498 en el entorno de urgencia.[9]Walker RW. Pulmonary aspiration in pediatric anesthetic practice in the UK: a prospective survey of specialist pediatric centers over a one-year period. Paediatr Anaesth. 2013 Aug;23(8):702-11.
http://www.ncbi.nlm.nih.gov/pubmed/23763657?tool=bestpractice.com
Esto sugiere una mejora en comparación con dos estudios anteriores de referencia en EE. UU. en niños, que informaron una incidencia de 1 en 2632 aspiraciones durante la anestesia general entre 1985 y 1997, y de 1 en 978 entre 1988 y 1993.[10]Warner MA, Warner ME, Warner DO, et al. Perioperative pulmonary aspiration in infants and children. Anesthesiology. 1999 Jan;90(1):66-71.
http://www.ncbi.nlm.nih.gov/pubmed/9915314?tool=bestpractice.com
[11]Borland LM, Sereika SM, Woelfel SK, et al. Pulmonary aspiration in pediatric patients during general anesthesia: incidence and outcome. J Clin Anesth. 1998 Mar;10(2):95-102.
http://www.ncbi.nlm.nih.gov/pubmed/9524892?tool=bestpractice.com
A pesar de la baja incidencia, la aspiración pulmonar perioperatoria conlleva un riesgo de morbilidad y mortalidad. En los datos de reclamaciones por negligencia anestésica en los Estados Unidos, el 5% se atribuyó a la aspiración, con una mortalidad del 57% directamente atribuible a la anestesia.[12]Warner MA, Meyerhoff KL, Warner ME, et al. Pulmonary aspiration of gastric contents: a closed claims analysis. Anesthesiology. 2021 Aug 1;135(2):284-91.
https://journals.lww.com/anesthesiology/fulltext/2021/08000/pulmonary_aspiration_of_gastric_contents__a_closed.20.aspx
http://www.ncbi.nlm.nih.gov/pubmed/34019629?tool=bestpractice.com
De los que aspiraron, el 61% tenía obstrucción gastrointestinal o abdomen agudo.[12]Warner MA, Meyerhoff KL, Warner ME, et al. Pulmonary aspiration of gastric contents: a closed claims analysis. Anesthesiology. 2021 Aug 1;135(2):284-91.
https://journals.lww.com/anesthesiology/fulltext/2021/08000/pulmonary_aspiration_of_gastric_contents__a_closed.20.aspx
http://www.ncbi.nlm.nih.gov/pubmed/34019629?tool=bestpractice.com
El cuerpo de la literatura sobre la aspiración aguda fuera del marco de tiempo perioperatorio es más pequeño y limitado por la falta de pruebas diagnósticas específicas para la aspiración cuando no se observa. Entre el 5% y el 15% de la neumonía adquirida en la comunidad se ha atribuido a la aspiración.[2]Marik PE. Aspiration pneumonitis and aspiration pneumonia. N Engl J Med. 2001 Mar 1;344(9):665-71.
http://www.ncbi.nlm.nih.gov/pubmed/11228282?tool=bestpractice.com
La neumonía por aspiración es más frecuente en pacientes de >80 años (10%) en comparación con los pacientes de <80 años (5%).[13]Fernández-Sabé N, Carratalà J, Rosón B, et al. Community-acquired pneumonia in very elderly patients: causative organisms, clinical characteristics, and outcomes. Medicine (Baltimore). 2003 May;82(3):159-69.
https://journals.lww.com/md-journal/fulltext/2003/05000/community_acquired_pneumonia_in_very_elderly.2.aspx
http://www.ncbi.nlm.nih.gov/pubmed/12792302?tool=bestpractice.com
Los factores predisponentes para la aspiración incluyeron disfagia, deterioro de la conciencia y reflejo nauseoso.[13]Fernández-Sabé N, Carratalà J, Rosón B, et al. Community-acquired pneumonia in very elderly patients: causative organisms, clinical characteristics, and outcomes. Medicine (Baltimore). 2003 May;82(3):159-69.
https://journals.lww.com/md-journal/fulltext/2003/05000/community_acquired_pneumonia_in_very_elderly.2.aspx
http://www.ncbi.nlm.nih.gov/pubmed/12792302?tool=bestpractice.com
En otro estudio se observó que de una cohorte de pacientes ingresados con neumonía de >70 años, se encontró que alrededor del 55% tenía disfagia y aspiración en las pruebas con una prueba de deglución de agua.[14]Cabre M, Serra-Prat M, Palomera E, et al. Prevalence and prognostic implications of dysphagia in elderly patients with pneumonia. Age Ageing. 2010 Jan;39(1):39-45.
http://www.ncbi.nlm.nih.gov/pubmed/19561160?tool=bestpractice.com
En la cohorte Lung Injury Prediction Score, la aspiración fue la tercera causa principal de daño pulmonar agudo entre los pacientes en riesgo ingresados en los hospitales de EE. UU.[15]Gajic O, Dabbagh O, Park PK, et al. Early identification of patients at risk of acute lung injury: evaluation of lung injury prediction score in a multicenter cohort study. Am J Respir Crit Care Med. 2011 Feb 15;183(4):462-70.
https://pmc.ncbi.nlm.nih.gov/articles/PMC3056224
http://www.ncbi.nlm.nih.gov/pubmed/20802164?tool=bestpractice.com
La disfagia puede causar aspiraciones "agudas o crónicas". Según una revisión sistemática de 2005, se informó que la incidencia de disfagia (dificultades para tragar) después de un accidente cerebrovascular agudo varió del 37% al 78%, según el sitio del accidente cerebrovascular y las herramientas de detección utilizadas para identificar la disfagia.[16]Intercollegiate Stroke Working Party. National clinical guideline for stroke for the UK and Ireland. May 2023 [internet publication].
https://www.strokeguideline.org
[17]Martino R, Foley N, Bhogal S, et al. Dysphagia after stroke: incidence, diagnosis, and pulmonary complications. Stroke. 2005 Dec;36(12):2756-63.
https://www.ahajournals.org/doi/10.1161/01.STR.0000190056.76543.eb
http://www.ncbi.nlm.nih.gov/pubmed/16269630?tool=bestpractice.com
Una revisión de 2010 informó que hasta el 30% de los pacientes mayores con disfagia presentan aspiración.[18]Rofes L, Arreola V, Almirall J, et al. Diagnosis and management of oropharyngeal dysphagia and its nutritional and respiratory complications in the elderly. Gastroenterol Res Pract. 2011:2011:818979.
https://onlinelibrary.wiley.com/doi/10.1155/2011/818979
http://www.ncbi.nlm.nih.gov/pubmed/20811545?tool=bestpractice.com
Entre los pacientes que han ingresado al hospital y reciben nutrición enteral, la prevalencia informada varía ampliamente, del 4.4% a cerca del 90%, según el modo en que se defina la aspiración (asintomática o sintomática), el método de diagnóstico, la posición de la sonda de alimentación en el tracto gastrointestinal (GI) (nasogástrica o yeyunal) y el tipo de sonda de alimentación (nasogástrica o por gastrostomía).[19]Mullan H, Roubenoff RA, Roubenoff R. Risk of pulmonary aspiration among patients receiving enteral nutrition support. JPEN J Parenter Enteral Nutr. Mar-Apr 1992;16(2):160-4.
http://www.ncbi.nlm.nih.gov/pubmed/1556813?tool=bestpractice.com
[20]Metheny NA, Clouse RE, Chang YH, et al. Tracheobronchial aspiration of gastric contents in critically ill tube-fed patients: frequency, outcomes, and risk factors. Crit Care Med. 2006 Apr;34(4):1007-15.
http://www.ncbi.nlm.nih.gov/pmc/articles/PMC2396145
http://www.ncbi.nlm.nih.gov/pubmed/16484901?tool=bestpractice.com
Un metanálisis realizado en 2019, que incluyó 41 estudios y contó con 3248 participantes, sugiere que hay una menor incidencia de aspiración pulmonar con la colocación de la sonda de alimentación postpilórica en comparación con la posición gástrica.[21]Liu Y, Wang Y, Zhang B, et al. Gastric-tube versus post-pyloric feeding in critical patients: a systematic review and meta-analysis of pulmonary aspiration- and nutrition-related outcomes. Eur J Clin Nutr. 2021 Sep;75(9):1337-48.
https://www.nature.com/articles/s41430-021-00860-2
http://www.ncbi.nlm.nih.gov/pubmed/33536570?tool=bestpractice.com
Sin embargo, la aspiración sintomática es poco frecuente y se observa en <1% de los pacientes que reciben nutrición enteral.[20]Metheny NA, Clouse RE, Chang YH, et al. Tracheobronchial aspiration of gastric contents in critically ill tube-fed patients: frequency, outcomes, and risk factors. Crit Care Med. 2006 Apr;34(4):1007-15.
http://www.ncbi.nlm.nih.gov/pmc/articles/PMC2396145
http://www.ncbi.nlm.nih.gov/pubmed/16484901?tool=bestpractice.com
En el contexto de los traumatismos graves, la incidencia de aspiración macroscópica puede ascender al 38%.[22]Lockey DJ, Coats T, Parr MJ. Aspiration in severe trauma: a prospective study. Anaesthesia. 1999 Nov;54(11):1097-8.
https://onlinelibrary.wiley.com/doi/full/10.1046/j.1365-2044.1999.00754.x?sid=nlm%3Apubmed
http://www.ncbi.nlm.nih.gov/pubmed/10540100?tool=bestpractice.com
La aspiración accidental del medio de contraste de bario durante investigaciones radiológicas es infrecuente, pero puede producirse en el 8% de los niños que presentan enfermedad por reflujo gastroesofágico (ERGE).[23]Fung KP, Seagram G, Pasieka J, et al. Investigation and outcome of 121 infants and children requiring Nissen fundoplication for the management of gastroesophageal reflux. Clin Invest Med. 1990 Oct;13(5):237-46.
http://www.ncbi.nlm.nih.gov/pubmed/2276217?tool=bestpractice.com
La gravedad del daño pulmonar depende de la densidad de la suspensión: el sulfato de bario de alta densidad provoca el mayor daño y es potencialmente mortal, sobre todo en pacientes de edad avanzada.[4]Gray C, Sivaloganathan S, Simpkins KC. Aspiration of high-density barium contrast medium causing acute pulmonary inflammation: report of two fatal cases in elderly women with disordered swallowing. 1989 Jul;40(4):397-400.
http://www.ncbi.nlm.nih.gov/pubmed/2758750?tool=bestpractice.com
[24]Tamm I, Kortsik C. Severe barium sulfate aspiration into the lung: clinical presentation, prognosis and therapy. Respiration. 1999;66(1):81-4.
http://www.ncbi.nlm.nih.gov/pubmed/9973698?tool=bestpractice.com
[25]Ansell G. Alimentary tract. In: Ansell G, Bettmann MA, Kaufman JA, et al, eds. Complications in diagnostic imaging and interventional radiology. 2nd ed. Oxford, UK: Blackwell Scientific; 1987:218-9.[Figure caption and citation for the preceding image starts]: Broncoscopia que muestra la aspiración de bario en el bronquio principal derecho de un paciente sometido a un trasplante de pulmón, tras un estudio con ingesta de solución de barioDe la colección del Dr. Kamran Mahmood [Citation ends].
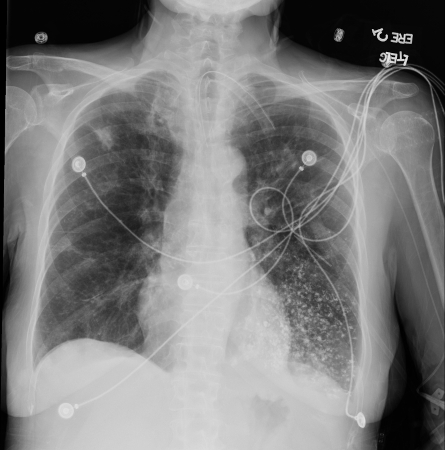
[Figure caption and citation for the preceding image starts]: Aspiración de bario. Se produjo una ingesta de bario en una mujer de 53 años. Las imágenes revelaron material hiperdenso centrado en la vía respiratoria en el lóbulo inferior izquierdo compatible con bronquiolitis por aspiración de bario. Se confirmó una fístula traqueoesofágicaDe la colección del Dr. Augustine Lee; utilizado con el permiso de la Fundación Mayo para la Educación e Investigación Médica, todos los derechos reservados [Citation ends].