Imágenes y vídeos
Imágenes

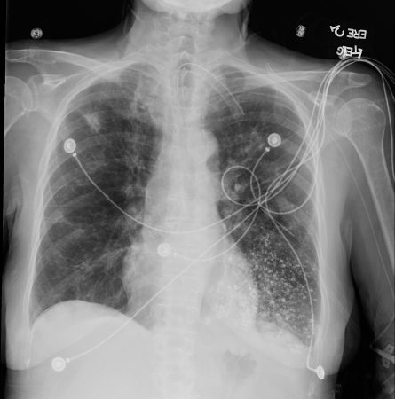
Aspiración aguda
Aspiración de bario. Se produjo una ingesta de bario en una mujer de 53 años. Las imágenes revelaron material hiperdenso centrado en la vía respiratoria en el lóbulo inferior izquierdo compatible con bronquiolitis por aspiración de bario. Se confirmó una fístula traqueoesofágica
De la colección del Dr. Augustine Lee; utilizado con el permiso de la Fundación Mayo para la Educación e Investigación Médica, todos los derechos reservados
Ver esta imagen en el contexto de la/s siguiente/s sección/es:

Aspiración aguda
Broncoscopia que muestra la aspiración de bario en el bronquio principal derecho de un paciente sometido a un trasplante de pulmón, tras un estudio con ingesta de solución de bario
De la colección del Dr. Kamran Mahmood
Ver esta imagen en el contexto de la/s siguiente/s sección/es:

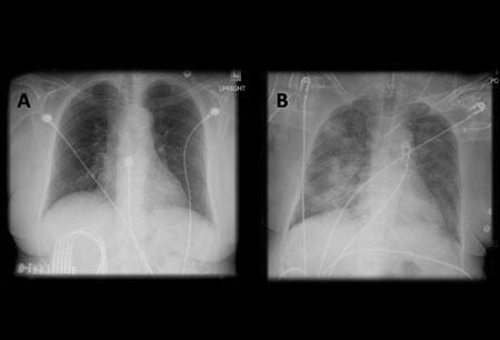
Aspiración aguda
A. Radiografía portátil de tórax en posición erguida antes de la aspiración; B. Radiografía de tórax 1 hora después de la aspiración, en la que se muestran infiltrados alveolares difusos bilaterales, peores en las bases del lado derecho
De la colección del Dr. Henri Colt
Ver esta imagen en el contexto de la/s siguiente/s sección/es:
El uso de este contenido está sujeto a nuestra cláusula de exención de responsabilidad