Abordaje
El diagnóstico de aspiración aguda se obtiene principalmente a través de los antecedentes, teniendo en cuenta la presencia de factores de riesgo, y cuando sea necesario se puede confirmar mediante estudios por imágenes. A veces se puede presenciar: por ejemplo, durante la intubación o en un paciente que está vomitando y luego aspira. Los signos, síntomas y estudios por imágenes pueden ser indistinguibles de la neumonía y otras causas del síndrome de dificultad respiratoria aguda (SDRA), por lo que se debe considerar la posibilidad de aspiración gástrica en pacientes de alto riesgo.
Anamnesis, exploración física y análisis de laboratorio
La aspiración suele tener lugar en presencia de factores de riesgo, normalmente en pacientes de >70 años de edad que tienen afecciones comórbidas que pueden alterar el estado mental, o en pacientes con un nivel de conciencia deprimido debido a una intoxicación, enfermedad o drogas. La aparición repentina de fiebre, paroxismos de tos, sibilancias, laringoespasmo o cianosis en pacientes de riesgo debe llevar a considerar la aspiración aguda. La aspiración en el contexto de la anestesia general o la intoxicación, o en la unidad de cuidados intensivos, también es frecuente, pero puede no presentarse con síntomas manifiestos. Puede ser silenciosa y solo puede ser aparente a partir de las consecuencias de la aspiración, como broncoespasmo, hipoxia, bronquiolitis/bronquitis, neumonía, atelectasia, fiebre e incluso insuficiencia respiratoria por edema pulmonar no cardiogénico.[37][41]
Un hemograma completo (HC) y un análisis de gases en sangre pueden determinar leucocitosis e hipoxia.
Si la neumonía se desarrolla después de la aspiración del contenido gástrico, puede producirse hipoxia, leucocitosis y otras características de respuesta inflamatoria sistémica, aunque es posible que estos hallazgos no distingan la infección de una neumonitis más química. Véase el apartado Neumonía por aspiración.
Se debe sospechar una neumonitis por aspiración causada por el sulfato de bario en los pacientes que desarrollen dificultades respiratorias después de estudios gastrointestinales superiores con bario. Esto a menudo se visualiza directamente radiográficamente dado el material de alta densidad.[Figure caption and citation for the preceding image starts]: Broncoscopia que muestra la aspiración de bario en el bronquio principal derecho de un paciente sometido a un trasplante de pulmón, tras un estudio con ingesta de solución de barioDe la colección del Dr. Kamran Mahmood [Citation ends].
[Figure caption and citation for the preceding image starts]: Aspiración de bario. Se produjo una ingesta de bario en una mujer de 53 años. Las imágenes revelaron material hiperdenso centrado en la vía respiratoria en el lóbulo inferior izquierdo compatible con bronquiolitis por aspiración de bario. Se confirmó una fístula traqueoesofágicaDe la colección del Dr. Augustine Lee; utilizado con el permiso de la Fundación Mayo para la Educación e Investigación Médica, todos los derechos reservados [Citation ends].
Radiografía de tórax
Cuando la aspiración de contenido gástrico conduce a neumonitis por aspiración o neumonía, la radiografía de tórax revela consolidaciones bilaterales del espacio aéreo en placas de distribución basal y perihiliar.[48] Sin embargo, se estima que el 25% de los casos pueden no ser evidentes en las radiografías de tórax en comparación con las imágenes de tomografía computarizada (TC).[68] Es más probable que el pulmón derecho se vea involucrado, debido al ángulo obtuso entre la tráquea y el bronco principal derecho. Los segmentos que quedan involucrados más frecuentemente son los segmentos superior y posterobasal del lóbulo inferior derecho y el segmento posterior del lóbulo superior derecho, debido a su ubicación postural en el decúbito supino. Si el paciente se encuentra en una posición diferente, pueden involucrarse otros segmentos.
Los hallazgos de neumonitis por aspiración en las radiografías de tórax por lo general se presentan dentro de las 2 horas de producida la aspiración y, en ocasiones, se resuelven rápidamente. Sin embargo, si se desarrolla neumonía, las opacidades pueden hacerse evidentes días después y pueden tardar semanas en resolverse.
La aspiración de bario debe confirmarse mediante una radiografía de tórax, que puede revelar opacidades hiperdensas en los pulmones medio e inferior, a veces delineando el árbol traqueobronquial, y más distalmente, con un patrón bronquiocéntrico o centrolobulillar.[70][71][72][Figure caption and citation for the preceding image starts]: A. Radiografía portátil de tórax en posición erguida antes de la aspiración; B. Radiografía de tórax 1 hora después de la aspiración, en la que se muestran infiltrados alveolares difusos bilaterales, peores en las bases del lado derechoDe la colección del Dr. Henri Colt [Citation ends].
[Figure caption and citation for the preceding image starts]: Aspiración de bario. Se produjo una ingesta de bario en una mujer de 53 años. Las imágenes revelaron material hiperdenso centrado en la vía respiratoria en el lóbulo inferior izquierdo compatible con bronquiolitis por aspiración de bario. Se confirmó una fístula traqueoesofágicaDe la colección del Dr. Augustine Lee; utilizado con el permiso de la Fundación Mayo para la Educación e Investigación Médica, todos los derechos reservados [Citation ends].
Exploración de tórax por tomografía computarizada (TC)
En los casos de aspiración de contenido gástrico, la TC de tórax puede mostrar opacidades en los segmentos posteriores de los lóbulos superiores y los segmentos superiores de los lóbulos inferiores. En los casos avanzados, los hallazgos pueden ser difíciles de distinguir de los del síndrome de dificultad respiratoria aguda (SDRA). La exploración por TC delinea con precisión la ubicación de las opacidades lobulares y segmentarias. La aspiración de grasa (neumonía lipoidea exógena) o material de contraste a veces se puede determinar midiendo la atenuación del tejido en las tomografías computarizadas. El absceso y empiema pulmonar son complicaciones potenciales de la aspiración que se visualizan mejor con una TC que con una radiografía de tórax simple.[73] Véase los apartados Absceso pulmonar y Empiema.
Si bien una radiografía de tórax es suficiente en la mayoría de los casos de aspiración, puede solicitarse una TC de tórax si se sospecha la aspiración de cuerpo extraño (para planificar su extracción) o si el paciente no mejora con el tratamiento inicial (para descartar empiema o absceso pulmonar). La TC de tórax es superior en comparación con la radiografía de tórax en la detección de neumonía por aspiración, y si la radiografía de tórax inicial no es concluyente, se debe solicitar una TC.[68]
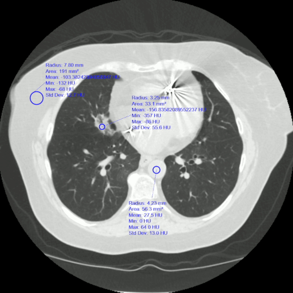
[Figure caption and citation for the preceding image starts]: Neumonía lipoidea. Mujer de 77 años con disfagia y acalasia después de un accidente cerebrovascular que presentó infiltrados pulmonares recurrentes, incluida una lesión persistente del lóbulo medio derecho. La medición de las unidades de Hounsfield (HU) fue de -157, compatible con neumonía lipoidea. Se muestra la grasa subcutánea comparativa y la HU de la aorta (sangre/tejido)De la colección del Dr. Augustine Lee; utilizado con el permiso de la Fundación Mayo para la Educación e Investigación Médica, todos los derechos reservados [Citation ends].
Broncoscopia y lavado broncoalveolar
La broncoscopia puede desempeñar una función diagnóstica y terapéutica. Si el material aspirado es particulado o potencialmente obstructivo, o si hay evidencia radiográfica de colapso lobar o segmentario, se puede despejar la vía respiratoria y se puede evitar una mayor evolución a SDRA. En los casos de aspiración de sulfato de bario, especialmente si un paciente tiene hipoxia o dificultad respiratoria, la broncoscopia temprana puede ser útil, pero conlleva cierto riesgo de diseminar el contraste a las vías respiratorias no afectadas.[24][74][Figure caption and citation for the preceding image starts]: Broncoscopia que muestra la aspiración de bario en el bronquio principal derecho de un paciente sometido a un trasplante de pulmón, tras un estudio con ingesta de solución de barioDe la colección del Dr. Kamran Mahmood [Citation ends].
Otra función terapéutica ocasional, además del lavado de la vía respiratoria y el pulmón, es la posible colocación de stents traqueales o bronquiales en los casos de fístula traqueoesofágica, así como la colocación de traqueostomía percutánea para aquellos con disfagia grave.
Aparte de las posibles funciones terapéuticas, la broncoscopia también es importante desde el punto de vista diagnóstico. Se pueden utilizar técnicas de lavado broncoalveolar o muestras de cepillado protegidas para identificar, confirmar o refutar la presencia de una infección, lo que tendrá un impacto directo en el manejo antibiótico del paciente.[2] Además de la infección, el lavado broncoalveolar puede diagnosticar neumonía eosinofílica aguda y hemorragia alveolar difusa, las cuales pueden presentarse de manera similar a la aspiración aguda con dificultad respiratoria aguda e infiltrados pulmonares.[75] En ocasiones, el análisis citológico puede detectar tumores inusuales que pueden parecer neumónicos en los estudios por imágenes. Cuando el diferencial es más amplio, ocasionalmente se puede emplear una biopsia broncoscópica para las neumonías intersticiales y otras consideraciones, aunque no con frecuencia en el entorno agudo.[75] Por último, puede ser importante una exploración broncoscópica cuidadosa para identificar una fístula traqueoesofágica que puede estar complicando el cáncer, la cirugía, la radiación o el traumatismo.
Biomarcadores del síndromes de aspiración
Se utilizan múltiples biomarcadores en el ámbito de la investigación y en algunos centros. Estos han incluido la evaluación de macrófagos cargados de lípidos, pepsina, amilasa, bilis y citocinas directamente de muestras de vías respiratorias inferiores.[40][76] La sensibilidad y especificidad de estos marcadores siguen sin estar claras y carecen de validación clínica.[40]
Pruebas para identificar la necesidad de antibióticos
Las pruebas para identificar un componente bacteriano de la presentación neumónica dependen de la situación clínica y pueden incluir cultivo y sensibilidades de muestras obtenidas del lavado y cepillado broncoalveolar, venopunción o toracocentesis. Véase los apartados Neumonía por aspiración, Neumonía intrahospitalaria, Neumonía adquirida en la comunidad, Derrame pleural, Empiema, Absceso pulmonar y Sepsis en adultos.
El uso de este contenido está sujeto a nuestra cláusula de exención de responsabilidad