Imagens e vídeos
IMAGENS

Descolamento de retina
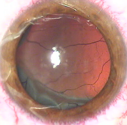
Descolamento de retina tracional em um paciente com diabetes
Do acervo do Dr. F. Kuhn e do Dr. R. Morris, usado com permissão
Veja esta imagem em contexto nas seguintes seções:

Descolamento de retina
Descolamento de retina se aproximando da mácula, mostrando pregas típicas de espessura total
Do acervo do Dr. F. Kuhn e do Dr. R. Morris, usado com permissão
Veja esta imagem em contexto nas seguintes seções:

Descolamento de retina
Descolamento de retina seroso relacionado à uveíte
Do acervo do Dr. F. Kuhn e do Dr. R. Morris, usado com permissão
Veja esta imagem em contexto nas seguintes seções:
O uso deste conteúdo está sujeito ao nosso aviso legal