Investigações
Primeiras investigações a serem solicitadas
radiografia torácica
Exame
Obtenha uma história focada para fazer o diagnóstico de aspiração aguda. No entanto, ele deve ser corroborado por meio de imagens; solicite uma radiografia torácica como primeira linha
Esteja ciente de que alterações na radiografia torácica só podem ser observadas se a aspiração aguda causar pneumonite ou pneumonia por aspiração. No entanto, uma radiografia torácica normal não descarta pneumonia por aspiração, com alguns estudos demonstrando um número significativo de casos em que a tomografia computadorizada torácica identificou pneumonia por aspiração em pacientes que não tinham achados demonstrados à radiografia torácica.[44] Lembre-se de que a pneumonite e a pneumonia por aspiração também podem coexistir.
Observe também que o padrão das alterações na radiografia torácica varia a depender do posicionamento do paciente quando ele aspira e do mecanismo de aspiração.
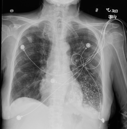
Procure consolidações irregulares e bilaterais no espaço aéreo com uma distribuição peri-hilar e basilar após a aspiração.[35]
Em geral, o pulmão direito está envolvido com mais frequência que o esquerdo. Qualquer material aspirado tem maior probabilidade de acabar no pulmão direito porque:
O ângulo entre a traqueia e o brônquio primário direito é obtuso
O brônquio primário direito é mais largo e vertical que o brônquio primário esquerdo
Os segmentos mais comumente envolvidos são os segmentos superior e póstero-basal do lobo inferior direito e o segmento posterior do lobo superior direito, devido à sua localização dependente se o paciente aspirar em posição supina.
No entanto, outros segmentos podem estar envolvidos se o paciente não estiver em posição supina. Por exemplo, se o paciente estiver deitado do lado esquerdo, o pulmão esquerdo pode apresentar uma consolidação.
Na aspiração aguda ou crônica, a consolidação pode ocorrer predominantemente nos segmentos basais.
A aspiração de bário pode mostrar opacidades densas nos pulmões médio e inferior, com padrão miliar.[50][51]
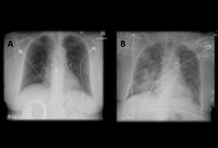
[Figure caption and citation for the preceding image starts]: A. Radiografia torácica portátil ortostática antes da aspiração; B. Radiografia torácica 1 hora após a aspiração, mostrando infiltrados alveolares difusos bilaterais, piores nas bases do lado direitoDo acervo de Dr. Henri Colt [Citation ends].
[Figure caption and citation for the preceding image starts]: Aspiração de bário. Foi realizada uma esofagografia baritada em uma mulher de 53 anos. Os exames de imagem revelaram material hiperdenso centrado nas vias aéreas no lobo inferior esquerdo, consistente com bronquiolite por aspiração de bário. Foi confirmada uma fístula traqueoesofágicaDa coleção do Dr Augustine Lee; usado com permissão da Mayo Foundation for Medical Education and Research, todos os direitos reservados [Citation ends].
Os achados de pneumonite por aspiração na radiografia torácica geralmente se desenvolvem em 2 horas da aspiração e, às vezes, desaparecem rapidamente. No entanto, as opacidades devidas a pneumonia por aspiração podem se desenvolver dias depois e levar semanas para se resolver.
Resultado
condensações irregulares e bilaterais dos campos pulmonares
Exames de sangue
Exame
Solicite exames de sangue para diferenciar entre pneumonite química e pneumonia; uma contagem alta de leucócitos, procalcitonina ou proteína C reativa indicam infecção.
Resultado
contagem leucocitária, procalcitonina ou proteína C reativa elevadas indicam infecção
Investigações a serem consideradas
tomografia computadorizada (TC) do tórax
Exame
Solicite uma TC torácica se o paciente não melhorar com o tratamento inicial, para descartar complicações da aspiração, como pneumonia por aspiração, empiema ou abscesso pulmonar. A TC torácica é melhor que a radiografia torácica para visualizar essas complicações.
A TC torácica pode mostrar:[52]
Consolidação extensa com cavitação se houver abscesso pulmonar.
Derrame pleural, geralmente com loculações, se houver empiema.
Opacidades nos segmentos posteriores dos lobos superiores e nos segmentos superiores dos lobos inferiores se houver pneumonite química ou pneumonia. A TC pode delinear com precisão a localização das opacidades lobar e segmentar. Se o paciente tiver aspiração significativa, os achados da TC podem ser indistinguíveis dos da síndrome do desconforto respiratório agudo. Observe que o padrão de alterações na TC varia dependendo do posicionamento do paciente quando ele aspira e do mecanismo de aspiração - consulte Radiografia torácica acima.
Septos interlobulares espessados, linhas subpleurais e cistos subpleurais após aspiração de bário. Esses achados podem estar presentes por muito tempo (até 1 ano) após a aspiração.
Aspiração de gordura ou material de contraste, que às vezes pode ser determinada pela medição da atenuação tecidual.
Resultado
consolidação extensa com cavitação se houver abscesso pulmonar
derrame pleural, geralmente com loculações, se houver empiema
opacidades nos segmentos dependentes se houver pneumonite química ou pneumonia
septos interlobulares espessados, linhas subpleurais e cistos subpleurais após uma aspiração de bário
a aspiração de gordura ou material de contraste às vezes pode ser determinada medindo-se a atenuação tecidual[52]
broncoscopia
Exame
Se você suspeitar ser provável que uma quantidade substancial de conteúdo gástrico (>20-25 mL) tenha sido aspirada, providencie broncoscopia e sucção urgentes (dentro de algumas horas) para remover qualquer fluido gástrico e material sólido aspirados das vias aéreas centrais.
Providencie uma broncoscopia precoce se você suspeitar que o paciente aspirou bário durante estudos gastrointestinais, para remover o bário de suas vias aéreas.
Obtenha ajuda da equipe de cuidados intensivos se o paciente tiver hipóxia significativa ou angústia respiratória, pois a broncoscopia pode causar uma deterioração adicional.
As outras indicações para broncoscopia são:
Limpar as vias aéreas se o material aspirado for particulado ou se houver evidência radiográfica de colapso lobar ou segmentar.
Coletar culturas quantitativas em lavado ou amostra protegida de escovado broncoalveolar, as quais podem ser usadas para orientar a antibioticoterapia, particularmente nos pacientes que não responderem ao tratamento empírico com antibióticos.
Investigar diagnósticos alternativos que possam causar um padrão radiográfico semelhante ao de uma aspiração aguda. Eles incluem os mimetizadores da síndrome do desconforto respiratório agudo, como pneumonite/pneumonia por COVID-19, pneumonite intersticial aguda (síndrome de Hamman-Rich), pneumonia eosinofílica aguda, pneumonia em organização criptogênica, hemorragia alveolar difusa, edema pulmonar neurogênico e pneumonite por hipersensibilidade aguda.[53]
[Figure caption and citation for the preceding image starts]: Broncoscopia mostrando aspiração de bário para o brônquio principal direito depois de um estudo de esofagografia baritada em um paciente com pulmão transplantadoDo acervo de Dr. Kamran Mahmood [Citation ends].
Resultado
eritema das vias aéreas
gasometria arterial
Exame
A aspiração pode causar hipoxemia.
Resultado
tensão de oxigênio reduzida
O uso deste conteúdo está sujeito ao nosso aviso legal