Imagens e vídeos
IMAGENS

Aspiração aguda
Broncoscopia mostrando aspiração de bário para o brônquio principal direito depois de um estudo de esofagografia baritada em um paciente com pulmão transplantado
Do acervo de Dr. Kamran Mahmood
Veja esta imagem em contexto nas seguintes seções:

Aspiração aguda
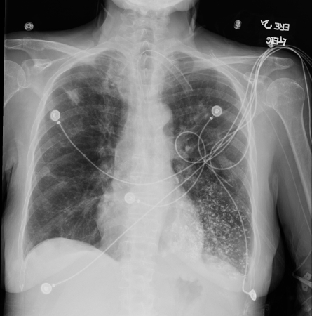
Aspiração de bário. Foi realizada uma esofagografia baritada em uma mulher de 53 anos. Os exames de imagem revelaram material hiperdenso centrado nas vias aéreas no lobo inferior esquerdo, consistente com bronquiolite por aspiração de bário. Foi confirmada uma fístula traqueoesofágica
Da coleção do Dr Augustine Lee; usado com permissão da Mayo Foundation for Medical Education and Research, todos os direitos reservados
Veja esta imagem em contexto nas seguintes seções:

Aspiração aguda
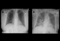
A. Radiografia torácica portátil ortostática antes da aspiração; B. Radiografia torácica 1 hora após a aspiração, mostrando infiltrados alveolares difusos bilaterais, piores nas bases do lado direito
Do acervo de Dr. Henri Colt
Veja esta imagem em contexto nas seguintes seções:
O uso deste conteúdo está sujeito ao nosso aviso legal