Imagens e vídeos
IMAGENS

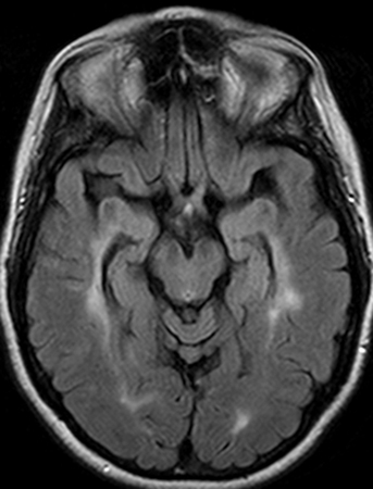
Neurite óptica
Ressonância nuclear magnética (RNM) transversa mostrando lesões típicas hiperintensas periventriculares da substância branca no parênquima cerebral
Do acervo pessoal de Dra. Cris S. Constantinescu e Dr. Thomas M. Bosley
Veja esta imagem em contexto nas seguintes seções:

Neurite óptica
Papilite na neurite óptica
Do acervo pessoal de Dra. Cris S. Constantinescu e Dr. Thomas M. Bosley
Veja esta imagem em contexto nas seguintes seções:
O uso deste conteúdo está sujeito ao nosso aviso legal