Abordagem
O diagnóstico de neurite óptica (NO) é realizado clinicamente e não há critérios de diagnóstico estabelecidos.[3] Em um cenário agudo, a principal dificuldade do médico é identificar se a causa é infecciosa ou sistêmica (geralmente monofásica) ou se é autoimune (geralmente recidivada). No entanto, isso pode se sobrepor.
Uma anamnese cuidadosa com exames oftalmológicos e neurológicos é importante, levando em consideração os sintomas atuais e anteriores. O quadro clínico provavelmente será diferente dependendo de quando o paciente for atendido, por isso é importante esclarecer se o paciente está em fase aguda (<7 dias), subaguda (1 semana a 3 meses) ou crônica (>3 meses), e se este é um ataque inicial ou recorrente.[3] Um primeiro ataque de NO pode estar ligado a 60 ou mais distúrbios diferentes ou a NO pode ocorrer a qualquer momento durante outros distúrbios.[3] Muitas causas de perda da visão monocular podem mimetizar NO, o que pode levar a um tratamento errado e tardio, causando desfechos visuais catastróficos.[3][19]
A American Academy of Ophthalmology (AAO) descreve uma abordagem diagnóstica com foco nos seguintes fatores na anamnese e no exame ao considerar um diagnóstico de NO:[12]
Anamnese:
Perda da visão aguda (geralmente progressiva em <7 dias)
Monocular (tipicamente)
Dor periorbital (inicialmente, na maioria), frequentemente aumentada com o movimento ocular (com resolução em 1-2 semanas)
Sintomas desmielinizantes ou diagnóstico conhecido de EM (possivelmente)
Características clínicas:
acuidade visual reduzida
Diminuição da visão de cores (muitas vezes desproporcional à perda de acuidade)
Defeito no campo visual (difuso, altitudinal, cecocentral ou outro)
Defeito pupilar aferente relativo (se unilateral ou assimétrico)
⅔ de aparência normal do disco (retrobulbar), ⅓ de edema do disco (bulbar ou papilite); se presente, o edema de disco é geralmente leve, sem hemorragia ou exsudato
História
A NO classicamente apresenta-se como comprometimento ou perda da visão monocular doloroso ao longo de vários dias e alcança um nadir em 1 a 2 semanas. A dor é periorbital e agravada ao fazer movimentos oculares; é mais comum quando a NO é retrobulbar. Os pacientes podem descrever fenômeno de Uhthoff (agravamento dos sintomas com aumento da temperatura corporal, por exemplo, ao correr) ou fenômeno de Pulfrich (alteração na percepção de profundidade de objetos em movimento). Pode haver relatos de fosfenos (fenômeno visual positivo), especialmente na fase aguda.
No diagnóstico de NO, é importante considerar alguma história pessoal de doenças autoimunes e inflamatórias, como lúpus eritematoso sistêmico (LES), sarcoidose ou doença de Behçet. É também importante perguntar sobre a história de doenças infecciosas: em particular, doença de Lyme ou sífilis. Uma história de doença inflamatória intestinal, artrite reumatoide ou espondilite anquilosante também é importante, principalmente com relação a tratamento prévio devido à ocorrência rara de NO em receptores de medicamentos anti-TNF.
Ainda mais importante, o paciente deve ser questionado sobre episódios anteriores de NO e sobre sintomas neurológicos prévios compatíveis com esclerose múltipla (EM) remitente/recorrente. Eventos oftalmológicos semelhantes prévios podem representar ataques prévios de NO, mas não precisam ter intensidade semelhante e talvez não tenham recebido muita atenção na ocasião. Eventos neurológicos prévios não devem ser investigados com perguntas abertas ao paciente. Em vez disso, uma lista de possíveis sintomas deve ser oferecida, incluindo distúrbios sensitivos, de equilíbrio, da marcha, motores ou esfincterianos. Isso ajudará a determinar se a NO é uma síndrome clinicamente isolada (SCI) ou parte da EM.
Deve-se dar importância ao momento e à gravidade dos sintomas da NO. Eventos recentes, como infecção viral ou vacinação, devem ser observados.
Exame físico
Um exame oftalmológico revela vários graus de diminuição da acuidade visual, percepção de cores, sensibilidade ao contraste e campo visual. Há um defeito pupilar aferente relativo (DPAR) em mais de 90% dos casos. O DPAR é uma assimetria da entrada pupilomotora entre os 2 olhos. Ele é detectado clinicamente alternando uma luz entre os olhos e observando uma diminuição na reação à luz direta do olho afetado. O DPAR representou um critério diagnóstico para o estudo Optic Neuritis Treatment Trial (ONTT).[20] Em cerca de um terço dos casos, há edema do disco óptico na fundoscopia (papilite), enquanto nos dois terços restantes o disco parece normal. Palidez do disco óptico indicando atrofia óptica é um sinal de NO prévia. No estudo ONTT, um terço apresentou acuidade visual de 20/200 ou pior, 10% apresentaram 20/20 ou melhor e o restante apresentou valores intermediários. Um exame oftalmológico mais detalhado pode revelar revestimento retiniano perivenoso. Os defeitos no campo visual podem assumir qualquer forma, sendo que os defeitos difusos são encontrados com maior frequência, e o escotoma central ou centrocecal classicamente descrito encontra-se presente em apenas 8% dos casos.[2]
O exame neurológico pode ser normal em casos de NO que ocorre isoladamente (SCI), ou pode mostrar anormalidades sutis, como perda sensorial leve ou oftalmoplegia internuclear quando a SCI tem apresentação polissintomática. Déficits neurológicos mais evidentes podem ser observados no exame neurológico quando a NO faz parte de EM estabelecida.
Em casos raros, a NO é uma manifestação de outras doenças inflamatórias sistêmicas e o exame físico precisa ser específico do contexto, buscando evidências de outras manifestações de doenças, como LES, sarcoidose ou doença de Lyme.[Figure caption and citation for the preceding image starts]: Papilite na neurite ópticaDo acervo pessoal de Dra. Cris S. Constantinescu e Dr. Thomas M. Bosley [Citation ends].
Investigações clínicas
Os avanços nas investigações para NO estão relacionados a uma maior precisão do diagnóstico relacionado a autoanticorpos, maior precisão da neuroimagem e maior reconhecimento do valor da tomografia de coerência óptica (TCO) da retina para diagnóstico e monitoramento.[3]
Os médicos devem estar cientes de condições unilaterais ou bilaterais que mimetizam a NO aguda e considerar o uso de imagens retinianas multimodais (por exemplo, TCO de alta resolução) para descartar outros diagnósticos.[21] Qualquer incompatibilidade com o que se espera da evolução natural da doença precisa ser explicada, requer investigação adicional, observando sinais de alerta para diagnóstico alternativo ou tratamento urgente. Isso ajudará a descobrir quais subtipos de NO estão presentes.[3]
Se o paciente já tiver um diagnóstico de EM e o caso de NO for típico, geralmente não são necessários mais exames.[12]
RNM
A RNM pode fornecer informações prognósticas em casos de síndrome monossintomática ou clinicamente isolada (primeiro episódio de desmielinização) e risco futuro de EM.[12]
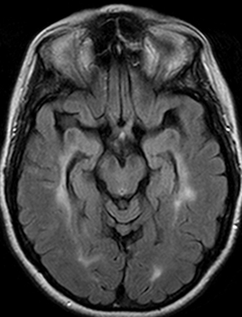
Na NO aguda, a RNM com realce por gadolínio mostra lesões com realce no nervo óptico. O nervo óptico pode mostrar vários graus de edema.[22] Quando no contexto de EM, lesões hiperintensas típicas na substância branca do parênquima cerebral, com uma localização predominantemente periventricular, podem refletir o diagnóstico estabelecido de EM. Quando essas lesões são observadas em um paciente cuja NO é o primeiro evento neurológico (SCI), existe um risco considerável de recorrência e, portanto, conversão para esclerose múltipla clinicamente definitiva (EMCD).[Figure caption and citation for the preceding image starts]: Ressonância nuclear magnética (RNM) transversa mostrando lesões típicas hiperintensas periventriculares da substância branca no parênquima cerebralDo acervo pessoal de Dra. Cris S. Constantinescu e Dr. Thomas M. Bosley [Citation ends].
Outras investigações
Além de RNM, hemograma completo, VHS, proteína C-reativa, VDRL, ácido úrico, enzima conversora de angiotensina sérica, FAN, B12 e folato, anticorpo anti-aquaporina 4 (AQP4), anticorpo anti-glicoproteína mielina-oligodendrócito (MOG) e anti-proteína-5 mediadora de resposta à colapsina (CRMP5) são realizados rotineiramente no momento da apresentação inicial, para descartar outras causas além da NO desmielinizante idiopática.
Outros exames opcionais que podem ser realizados, com base no quadro clínico e grau de incerteza quanto ao diagnóstico de NO (e EM), incluem:
Um exame de título de Lyme para Borrelia burgdorferi deve ser solicitado em áreas endêmicas ou em circunstâncias especiais (por exemplo, história de picada de carrapato, eritema migratório crônico).
Potencial evocado visual (PEV) do olho afetado para mostrar latência tardia da onda P100 (a primeira onda positiva do PEV, que aparece normalmente com uma latência de cerca de 100 ms) em comparação ao olho não afetado. A latência P100 permanece prolongada por um longo período, mesmo após a normalização da visão das cores e dos campos visuais, tornando o PEV útil para o diagnóstico retrospectivo de NO prévias.[23] PEVs multifocais também são úteis para distinguir a NO como parte da EMCD da NO em pacientes com condições que não sejam a EM, pois eles tendem a ser mais anormais na NO associada à EMCD.[24]
Uma análise do líquido cefalorraquidiano (LCR) pode ajudar no diagnóstico para descartar outras causas de neuropatias ópticas e estabelecer a natureza inflamatória de uma neuropatia óptica. No prognóstico, faixas oligoclonais positivas ou alto índice de IgG ajudam a estabelecer o risco de conversão para EMCD após uma SCI de NO; no entanto, a análise do LCR geralmente não é necessária para predizer a conversão para EMCD.[25][26] Deve-se notar que a análise do LCR é um exame sensível, mas não altamente específico, para doença desmielinizante primária e que, inversamente, o LCR está normal em 10% a 20% dos casos de EM. Em virtude da natureza invasiva da punção lombar, todos os exames não invasivos restantes devem ser realizados primeiro.[27]
Uma angiografia fluoresceínica pode demonstrar vazamento de fluoresceína do disco óptico afetado ou dos vasos retinianos, indicando algum grau de papilite ou vasculite retiniana.
A TCO é uma técnica que quantifica a espessura da camada de fibras nervosas da retina (CFNR). A CFNR peripapilar (CFNRp) é particularmente relevante. Essa é uma boa medida da integridade axonal, e a perda axonal na NO aguda prevê o grau de recuperação visual.[28] Pacientes com EM apresentam redução na espessura da CFNR mesmo na ausência de NO prévia. Esta pode ser monitorada ao longo do tempo. A espessura da célula ganglionar macular/camada plexiforme interna (mGCIPL) também parece ser um bom indicador prognóstico para o desfecho.[29]
O uso deste conteúdo está sujeito ao nosso aviso legal