Imagens e vídeos
IMAGENS

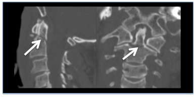
Trauma agudo da coluna cervical
Reconstrução em tomografia computadorizada (TC), demonstrando uma fratura do odontoide sem desvio
Do acervo pessoal de Michael G. Fehlings
Veja esta imagem em contexto nas seguintes seções:

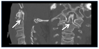
Trauma agudo da coluna cervical
Coluna cervical normal: incidências lateral, anteroposterior (AP), e odontoide com boca aberta
Do acervo pessoal de Michael G. Fehlings
Veja esta imagem em contexto nas seguintes seções:

Trauma agudo da coluna cervical
Padrões de fratura comuns com trauma grave da coluna cervical. Linha superior: fratura cervical do tipo explosão no nível de C5. Esquerda: imagem de tomografia computadorizada (TC) axial mostrando uma fratura no corpo vertebral C5; direita: ressonância nuclear magnética (RNM) sagital mediana ponderada em T2, mostrando a retropulsão do corpo vertebral C5 com compressão da medula espinhal, alterações de sinal na medula espinhal ponderadas em T2 e alterações de sinal no complexo ligamentar posterior ponderadas em T2, indicando a ruptura desses ligamentos. Linha inferior: fratura-luxação no nível de C6-C7. Da esquerda para a direita: radiografia lateral, TC axial ao longo do nível C6/C7 da faceta e RNM sagital mediana ponderada em T2 demonstrando compressão da medula espinhal e alteração de sinal na medula espinhal ponderada em T2
Do acervo pessoal de Michael G. Fehlings
Veja esta imagem em contexto nas seguintes seções:
O uso deste conteúdo está sujeito ao nosso aviso legal