Etiologia
Acidentes com automóvel são a causa mais comum de lesões da coluna cervical. O mecanismo de lesão comumente denominado lesão por chicote ocorre com mais frequência em colisões traseiras, embora possa ocorrer em qualquer tipo de colisão.[10] Uma hiperextensão momentânea da coluna produz forças rotacionais de intensidade máxima, geralmente no nível C5-C6 (embora todos os segmentos da coluna cervical possam ser lesionados), resultando em um mecanismo único de lesão da faceta nesse nível, em que a superfície de articulação do segmento superior está presa na superfície do segmento inferior.[11] O mecanismo singular de lesão por chicote resulta em flexão, compressão, extensão, distração e cisalhamento da coluna cervical, tudo isso em menos de um quinto de segundo.[11]
Quedas, especialmente em idosos, e agressões violentas são mecanismos cada vez mais comuns de lesão da coluna cervical.[4][12]
Um mecanismo de lesão perigoso é um forte fator de risco para uma lesão na coluna cervical:[13][14]
Uma queda de uma altura superior a 1 metro ou 5 degraus
Uma carga axial sobre a cabeça (por exemplo, mergulho, colisão com veículos automotores em alta velocidade, acidente com capotamento, ejeção de um veículo automotor, acidente envolvendo veículos recreativos motorizados, colisão de bicicletas, acidentes de equitação).
Fisiopatologia
Lesões na coluna cervical podem envolver uma série de tecidos: facetas articulares, discos e placas terminais dos discos, e ligamentos da coluna cervical, como o ligamento posterior longitudinal e o ligamento amarelo. Ocasionalmente, uma raiz nervosa ou a medula espinhal será lesionada imediatamente, mas, em geral, os processos inflamatórios são desencadeados pela lesão inicial. Lesões persistentes podem produzir alterações nos limiares de dor pelo corpo inteiro, mediadas por mudanças no processamento da dor na medula espinhal e no cérebro, um processo conhecido como dor mediada centralmente ou sensibilização central. Os músculos podem estar agudamente lesionados, mas também podem ser uma fonte de dor em casos crônicos, uma vez que músculos lesionados podem desenvolver pontos-gatilho e causar síndromes de dor miofascial secundariamente a outra lesão dolorosa em outra parte da coluna.[15]
Padrões comuns de fratura
Lesões na coluna cervical podem ser caracterizadas com base em:
Localização dentro da coluna (por exemplo, junção craniocervical, atlantoaxial, subaxial)
Forças aplicadas à coluna (por exemplo, lesões de flexão, lesões de extensão)
Padrões das fraturas resultantes (por exemplo, luxação da faceta, lesão por fratura-luxação).
Os padrões de fratura comuns na coluna cervical superior são:
Fraturas do côndilo occipital
Fraturas de Jefferson e outras fraturas do atlas (C1), incluindo fraturas da massa lateral
Luxação atlantoaxial
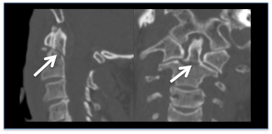
Fraturas de C2: fraturas do carrasco (espondilolistese de C2), fraturas do odontoide, fraturas laterais do corpo.[Figure caption and citation for the preceding image starts]: Reconstrução em tomografia computadorizada (TC), demonstrando uma fratura do odontoide sem desvioDo acervo pessoal de Michael G. Fehlings [Citation ends].

Os padrões de fratura comuns na coluna cervical inferior são:
Fratura do cavador de barro
Fratura por compressão em cunha simples
Luxação da faceta bilateral
Fratura em gota de lágrima por flexão.
Classificação
Fratura do processo odontoide
A classificação de Anderson e D'Alonzo liga a altura da linha através do processo odontoide ao prognóstico:[1]
Tipo I: fratura na porção superior do processo odontoide
Tipo II: fratura na base do processo odontoide
Tipo III: fratura que afeta o corpo do áxis.
Fratura de enforcado
A espondilolistese traumática do áxis é conhecida como fratura do enforcado.
A classificação de Levine e Edwards divide a espondilolistese traumática do eixo em quatro tipos:[2]
Tipo I: fratura sem desvio angular e desvio translacional <3.5 mm, que ocorre devido a hiperextensão e compressão axial
Tipo II: fratura com desvio translacional ou angular significativo, que ocorre devido a hiperextensão e compressão axial combinadas com o mecanismo de flexão/compressão
Tipo IIa: fratura com pequeno desvio translacional e angulação ampla, com um aumento no espaço do disco posterior entre C2-C3 ao aplicar tração, que ocorre devido a flexão-distração
Tipo III: fratura com grande desvio translacional e angular, que está associado à luxação uni ou bilateral das facetas articulares C2-C3 e decorre de um mecanismo de flexão/compressão.
Sistema AOSpine de classificação de lesão da coluna cervical subaxial[3]
Um sistema de classificação baseado em morfologia para fins clínicos e de pesquisa. O sistema AOSpine de classificação de lesão da coluna cervical subaxial caracteriza a morfologia da lesão, o mecanismo da lesão, a integridade das facetas e o estado neurológico. AOSpine Injury Classification System Opens in new window Estes critérios (e modificadores adicionais que se acredita serem importantes no tratamento de lesões da coluna cervical) podem ser combinados utilizando nomenclatura padronizada para transmitir sucintamente informações complexas sobre o padrão de lesão de um paciente.
Fraturas da coluna cervical inferior
Uma ferramenta de classificação foi criada por consenso de especialistas e validada por confiabilidade intra e interobservador.[3] As lesões são avaliadas por quatro critérios: (1) morfologia, (2) lesão facetária associada, (3) estado neurológico e (4) modificadores específicos do caso. A morfologia é dividida em (A) lesões por compressão, (B) lesões em faixa tensional e (C) lesões translacionais. Cada categoria é adicionalmente subclassificada como:
Morfologia
Tipo A - Lesões por compressão
A0: sem lesão óssea ou menor
A1: fratura da placa terminal única; parede posterior vertebral preservada
A2: ambas as placas terminais fraturadas; parede posterior vertebral preservada
A3: fratura da placa terminal única envolvendo a parede posterior vertebral
A4: ambas as placas terminais fraturadas envolvendo a parede posterior vertebral
Tipo B - Lesões de faixa de tensão
B1: lesão predominantemente de faixa tensional posterior óssea
B2: ruptura completa de estruturas capsulo-ligamentares posteriores ou ósseas
B3: lesão de faixa tensional anterior
Tipo C - Lesões translacionais
C: deslocamento ou translação de corpo vertebral relativo a um outro em qualquer direção
Lesão da faceta
F1: sem deslocamento; fragmento <1 cm; <40% de envolvimento da massa lateral
F2: com deslocamento ou fragmento >1 cm ou >40% de envolvimento de massa lateral
F3: massa lateral flutuante (desconexão óssea completa)
F4: faceta subluxada/empoleirada/deslocada (processo articular inferior de vértebra rostral baseia-se em ou processo anterior a superior articular de vértebra caudal)
Neurologia
N0: intacto
N1: deficit transitório completamente resolvido no momento da avaliação
N2: radiculopatia
N3: lesão incompleta na medula espinhal (função preservada abaixo da lesão)
N4: lesão completa na medula espinhal (função comprometida abaixo da lesão)
NX: indeterminado
+ Designa compressão contínua
Modificadores
M1: lesão posterior parcial capsulo-ligamentar
M2: hérnia de disco crítica (núcleo pulposo herniado)
M3: doença de rigidez da coluna (isto é, hiperostose esquelética idiopática difusa, espondilite anquilosante e ossificação do ligamento longitudinal posterior, ossificação do ligamento amarelo)
M4: lesão da artéria vertebral
O uso deste conteúdo está sujeito ao nosso aviso legal