Imagens e vídeos
IMAGENS

Deficiência de vitamina D
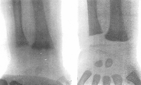
Radiografias de um punho de uma criança com raquitismo por deficiência de vitamina D antes (figura esquerda) e depois (figura direita) do tratamento com vitamina D
Do acervo de M.F. Holick, PhD, MD; usado com permissão
Veja esta imagem em contexto nas seguintes seções:

Deficiência de vitamina D
Biópsia óssea de osso trabecular demonstrando: (A) aumento da atividade osteoclástica devido ao hiperparatireoidismo secundário; (B) normal; (C) grandes fendas osteoides (área rosa clara), que são clássicas da osteomalácia
Do acervo de M.F. Holick, PhD, MD; usado com permissão
Veja esta imagem em contexto nas seguintes seções:

Deficiência de vitamina D
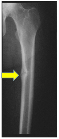
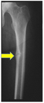
Radiografia da haste femoral em paciente com osteomalácia demonstrando "pseudofratura" (também conhecida como zona de Looser) no aspecto medial da haste femoral média
Do acervo de Bridget Sinnott, MD
Veja esta imagem em contexto nas seguintes seções:

Deficiência de vitamina D
Estrutura química da vitamina D
Do acervo de M.F. Holick, PhD, MD; usado com permissão
Veja esta imagem em contexto nas seguintes seções:

Deficiência de vitamina D
Efeitos diferenciais de vários distúrbios de cálcio, fosfato, ósseos e de metabolismo da vitamina D em níveis séricos de cálcio, fosfato e 1,25-di-hidroxivitamina D. Abreviações: FGF-23, fator de crescimento de fibroblastos 23; OIT, osteomalácia induzida por tumor; PLRH, proteína de ligação ribonuclear heteróloga; RHAD, raquitismo hipofosfatêmico autossômico dominante; RHLCX, raquitismo hipofosfatêmico ligado ao cromossomo X; RVD, resistente à vitamina D; 1-OHase, 25-hidroxicolecalciferol 1-hidroxilase
Criado por M.F. Holick, PhD, MD; usado com permissão
Veja esta imagem em contexto nas seguintes seções:

Deficiência de vitamina D
Produção extrarrenal de 1,25-di-hidroxivitamina D para modular a função imunológica, o crescimento celular e a produção de insulina. Abreviações: BA, linfócito B ativado; CD, catelicidina; G, glicemia; LPS, lipopolissacarídeos; TA, linfócito T ativado; TLR, receptor do tipo Toll; VDR-RXR, receptor de vitamina D-receptor de retinoide X; 1,25(OH)2D, 1,25-di-hidroxivitamina D; 1-OHase, 25-hidroxicolecalciferol 1-hidroxilase; 24-OHase, 1,25-di-hidroxivitamina D-24-hidroxilase; 25(OH)D, 25-hidroxivitamina D
Criado por M.F. Holick, PhD, MD; usado com permissão
Veja esta imagem em contexto nas seguintes seções:

Deficiência de vitamina D
Produção, metabolismo e funções biológicas da vitamina D no metabolismo do cálcio e na saúde óssea (D representa D2 e D3). Abreviações: CECa, canal epitelial de cálcio; FGF-23, fator de crescimento de fibroblastos 23; PLCa, calbindina; pré-D3, pré-vitamina D3; RANKL, ligante do receptor ativador de fator nuclear kappa-B; 1,25(OH)2D, 1,25-di-hidroxivitamina D; 1-OHase, 25-hidroxicolecalciferol 1-hidroxilase; 7-DHC, 7-dehidrocolesterol; 24-OHase, 1,25-di-hidroxivitamina D-24-hidroxilase; 25-OHase, vitamina D-25-hidroxilase; 25(OH)D, 25-hidroxivitamina D
Criado por M.F. Holick, PhD, MD; usado com permissão
Veja esta imagem em contexto nas seguintes seções:

Deficiência de vitamina D
Representação esquemática da função parácrina e intracrina da vitamina D e seus metabólitos e ações da 1,25-diidroxivitamina D nos sistemas imunológico inato e adaptativo. Abreviação: 1,25(OH)2D: 1,25-dihidroxivitamina D; 25(OH)D: 25-hidroxivitamina D, IFN-Ƴ: interferon-Ƴ; IL: interleucina; MHC: complexo de histocompatibilidade de membrana, TH1: T auxiliar 1; TH2: T auxiliar 2; TH17: T auxiliar 17; Treg: célula T reguladora, TNF-α: fator de necrose tumoral-α; TLR2: receptor do tipo Toll 2; TLR4: receptor do tipo Toll 4
Reproduzido com permissão de Holick MF, copyright 2020
Veja esta imagem em contexto nas seguintes seções:

Deficiência de vitamina D
Fontes de vitamina D
Criado por M.F. Holick, PhD, MD; usado com permissão
Veja esta imagem em contexto nas seguintes seções:

Deficiência de vitamina D
Arqueamento varo ou valgo das pernas é um sinal típico do raquitismo clássico
CDC
Veja esta imagem em contexto nas seguintes seções:
O uso deste conteúdo está sujeito ao nosso aviso legal