Imágenes y vídeos
Imágenes

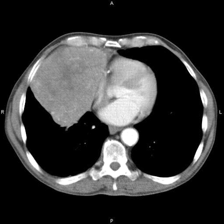
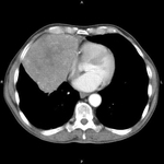
Miastenia grave
Tomografía computarizada que muestra una masa mediastínica anterior
Hamid UI, Jones JM. Masa mediastínica. BMJ Case Reports 2010 Oct 4;2010:bcr1120092471.
Ver esta imagen en el contexto de la/s siguiente/s sección/es:

Miastenia grave
Ptosis del párpado superior izquierdo en un paciente con miastenia grave
Foroozan R, Sambursky R. Ocular myasthenia gravis and inflammatory bowel disease: a case report and literature review. Br J Ophthalmol. 2003 Sep;87(9):1186-7.
Ver esta imagen en el contexto de la/s siguiente/s sección/es:
Vídeos
- Demostración animada de venopunción y flebotomía
Cómo tomar una muestra de sangre venosa de la fosa antecubital utilizando una aguja de vacío.
- Demostración animada de la canulación venosa periférica
Cómo insertar una cánula venosa periférica en el dorso de la mano.
- Demostración animada de la vía aérea nasofaríngea
Cómo seleccionar el tamaño correcto de la vía aérea nasofaríngea e insertar el dispositivo de vía aérea de forma segura.
- Demostración animada de vías aéreas orofaríngeas
Cómo dimensionar e insertar una vía respiratoria orofaríngea.
- Demostración animada de la ventilación de bolsa-válvula-máscara
Cómo utilizar el aparato bolsa-válvula-mascarilla para proporcionar asistencia ventilatoria a adultos. Vídeo de demostración de la técnica para dos personas.
- Demostración animada de la intubación traqueal
Cómo insertar un tubo traqueal en una persona adulta, utilizando un laringoscopio.
El uso de este contenido está sujeto a nuestra cláusula de exención de responsabilidad