Imagens e vídeos
IMAGENS

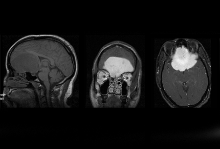
Meningioma
Imagem sagital (esquerda) demonstra grande massa extra-axial isointensa ao cérebro; o tumor capta avidamente o contraste administrado, como demonstrado na imagem coronal (centro da esquerda) e imagem axial (centro da direita). Observe o edema extenso circundante no tumor na imagem axial T2 (direita)
Da biblioteca pessoal do Dr. William T. Couldwell; usada com permissão
Veja esta imagem em contexto nas seguintes seções:

Meningioma
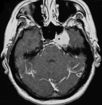
Imagem axial captante de contraste demonstra meningioma no seio cavernoso no lado esquerdo
Da biblioteca pessoal do Dr. William T. Couldwell; usada com permissão
Veja esta imagem em contexto nas seguintes seções:
O uso deste conteúdo está sujeito ao nosso aviso legal