Imagens e vídeos
IMAGENS

Paralisia cerebral
Trato corticoespinhal lateral (mostrado em vermelho), responsável pelo controle motor voluntário
TeachMeAnatomy (https://teachmeanatomy.info/neuroanatomy/pathways/descending-tracts-motor/); usado com permissão
Veja esta imagem em contexto nas seguintes seções:

Paralisia cerebral
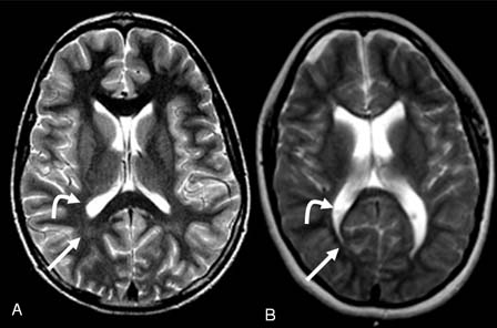
Leucomalácia periventricular. A Figura A é de uma menina normal de 14 anos de idade: a seta curva mostra o ventrículo lateral normal e a seta reta mostra a substância branca normal. A Figura B é de uma menina de 14 anos de idade com paralisia cerebral (PC): a seta curva mostra o ventrículo lateral aumentado e a seta reta mostra o volume diminuído da substância branca em decorrência da leucomalácia periventricular
Cortesia de Noriko Solomon, Professora Assistente de Radiologia, David Geffen School of Medicine at UCLA, Los Angeles
Veja esta imagem em contexto nas seguintes seções:

Paralisia cerebral
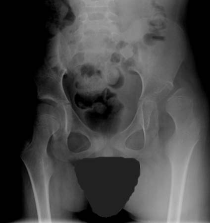
Quadril deslocado em paciente com paralisia cerebral (PC)
Do acervo de William L. Oppenheim; usada com permissão
Veja esta imagem em contexto nas seguintes seções:
O uso deste conteúdo está sujeito ao nosso aviso legal