Imagens e vídeos
IMAGENS

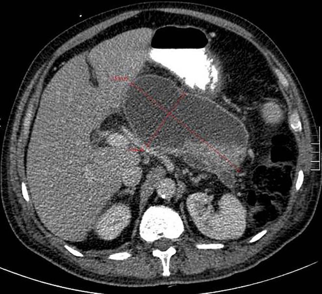
Pancreatite aguda
Necrose pancreática delimitada
Gut. 2017 Nov;66(11):2024-32; usado com permissão
Veja esta imagem em contexto nas seguintes seções:

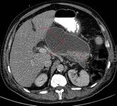
Pancreatite aguda
Coleção necrótica infectada, não totalmente encapsulada, no dia 20 após o início da doença
Gut. 2017 Nov;66(11):2024-32; usado com permissão
Veja esta imagem em contexto nas seguintes seções:
Vídeos
- Venopunção e flebotomia – Vídeo de demonstração
Como colher uma amostra de sangue venoso da fossa antecubital usando uma agulha a vácuo.
- Punção de artéria radial - Vídeo de demonstração
Como obter uma amostra de sangue arterial da artéria radial.
- Punção de artéria femoral - Vídeo de demonstração
Como realizar uma punção da artéria femoral para coletar uma amostra de sangue arterial.
O uso deste conteúdo está sujeito ao nosso aviso legal