Imagens e vídeos
IMAGENS

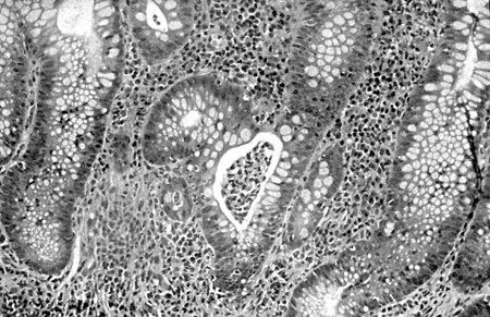
Colite ulcerativa
Amostras de biópsia do cólon exibindo inflamação severa da mucosa, formação de abscessos crípticos, atrofia glandular leve e distorção, sugerindo uma fase ativa da colite ulcerativa; coloração de hematoxilina e eosina, aumento de 400x.
Extraído de: Iannone F, Scioscia C, Musio A, et al Leucocytoclastic vasculitis as onset symptom of ulcerative colitis Ann Rheum Dis 2003 Aug;62(8):785-6; usado com permissão
Veja esta imagem em contexto nas seguintes seções:
Vídeos
- Venopunção e flebotomia – Vídeo de demonstração
Como colher uma amostra de sangue venoso da fossa antecubital usando uma agulha a vácuo.
O uso deste conteúdo está sujeito ao nosso aviso legal