Imagens e vídeos
IMAGENS

Febre reumática
Prevalência e taxas de mortalidade globais. Fonte: dados extraídos de Global Burden of Disease data 2010/2013.
Zühlke, L.J., Beaton, A., Engel, M.E. et al. Group A streptococcus, acute rheumatic fever and rheumatic heart disease: epidemiology and clinical considerations. Curr Treat Options Cardio Med 19, 15 (2017). Usado com permissão.
Veja esta imagem em contexto nas seguintes seções:

Febre reumática
Valores normais dos títulos de antiestreptolisina O (ASO) e anti-DNase B
Tabela compilada por colaboradores.
Veja esta imagem em contexto nas seguintes seções:

Febre reumática
Eletrocardiograma (ECG) mostrando bloqueio atrioventricular na febre reumática aguda
Aust N Z J Med. 1996 Apr;26(2):241-2; usado com permissão
Veja esta imagem em contexto nas seguintes seções:

Febre reumática
Aparência típica de um eritema marginado nas costas de uma criança com febre reumática aguda
Cortesia do Professor Mike South, Royal Children’s Hospital Melbourne; usado com permissão
Veja esta imagem em contexto nas seguintes seções:

Febre reumática
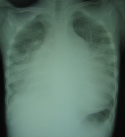
Radiografia torácica de insuficiência cardíaca biventricular ocasionada por cardite aguda na febre reumática
Lancet. 2006 Jun 24;367(9528):2118; usado com permissão
Veja esta imagem em contexto nas seguintes seções:
Vídeos
- Regurgitação mitral (grave)
Sons de ausculta: regurgitação mitral (grave)
- Regurgitação aórtica (grave)
Sons de ausculta: regurgitação aórtica (grave)
- Estenose mitral (grave)
Sons de ausculta: estenose mitral (grave)
O uso deste conteúdo está sujeito ao nosso aviso legal