Resumo
Definição
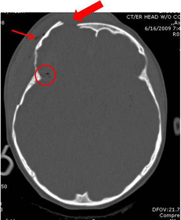
História e exame físico
Principais fatores diagnósticos
- presença de fatores de risco
- fratura aberta
- discrepância palpável no contorno do osso
- sinal de Battle
- equimose periorbital
- otorreia sanguinolenta
- rinorreia liquórica
- paralisia facial, nistagmo ou parestesia
Outros fatores diagnósticos
- evidências de trauma
- dor craniana ou cefaleia
- náuseas
- estado mental alterado/perda de consciência
- reflexos pupilares anormais
- perda auditiva
Fatores de risco
- queda de altura
- acidente com veículo automotor
- agressão resultando em trauma cranioencefálico
- ferimentos por arma de fogo na cabeça
- sexo masculino
Investigações diagnósticas
Investigações a serem consideradas
- ensaio da beta-2-transferrina
- ressonância nuclear magnética (RNM) cranioencefálica
- angiografia por ressonância magnética (RM)
- ultrassonografia craniana
- radiografia simples do crânio
- TC de coluna cervical
- radiografia do esqueleto
- angiotomografia
- Angiotomografia venosa
Algoritmo de tratamento
Colaboradores
Autores
Demetrios Demetriades, MD, PhD, FACS

Professor of Surgery
Director
Division of Trauma and Surgical Intensive Care
LAC+USC Trauma Center
Keck School of Medicine at USC
University of Southern California
Los Angeles
CA
Declarações
DD declares that he has no competing interests.
Leslie Kobayashi, MD, FACS

Professor of Surgery
Division of Trauma, Surgical Critical Care and Burns
University of California San Diego
San Diego
CA
Declarações
LK declares that she has no competing interests.
Revisores
Prof Sherard Austin Tatum, MD
Professor Otolaryngology and Pediatrics
SUNY Upstate Medical University
Syracuse
New York
Declarações
SAT declares that he has no competing interests.
Tunji Lasoye, FRCS, FCEM, MA, Med Ed
Consultant and Honorary Senior Lecturer in Emergency Medicine
Clinical Lead
Emergency Department
Director of Medical Education
King's College Hospital
London
UK
Declarações
TL declares that he has no competing interests.
Créditos aos pareceristas
Os tópicos do BMJ Best Practice são constantemente atualizados, seguindo os desenvolvimentos das evidências e das diretrizes. Os pareceristas aqui listados revisaram o conteúdo pelo menos uma vez durante a história do tópico.
Declarações
As afiliações e declarações dos pareceristas referem--se ao momento da revisão.
Referências
Principais artigos
Expert Panel on Neurological Imaging: Shih RY, Burns J, et al. ACR Appropriateness Criteria® head trauma: 2021 update. J Am Coll Radiol. 2021 May;18(5S):S13-36.Texto completo Resumo
Artigos de referência
Uma lista completa das fontes referenciadas neste tópico está disponível aqui.
O uso deste conteúdo está sujeito ao nosso aviso legal









