სურათები და ვიდეოები
სურათები

იერსინიით გამოწვეული ინფექცია
მარჯვენა ტერფის განგრენა, რომელმაც გამოიწვია ფეხის თითების ნეკროზი.
დაავადებათა კონტროლისა და პრევენციის ცენტრების (CDC) სურათების კოლექციიდან; გამოიყენება ნებართვით.
მოცემული სურათის კონტექსტში დათვალიერებისთვის ეწვიეთ შემდეგ სექციას (სექციებს):

იერსინიით გამოწვეული ინფექცია
მდედრი რწყილი Xenopsylla cheopis flea, ასევე ცნობილია როგორც აღმოსავლური ვირთაგვას რწყილი.
დაავადებათა კონტროლისა და პრევენციის ცენტრების (CDC) სურათების კოლექციიდან; გამოიყენება ნებართვით.
მოცემული სურათის კონტექსტში დათვალიერებისთვის ეწვიეთ შემდეგ სექციას (სექციებს):

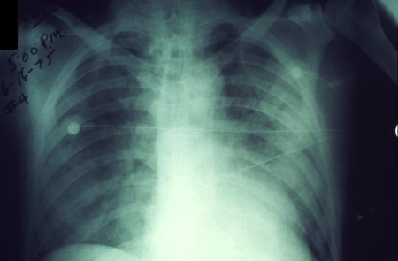
იერსინიით გამოწვეული ინფექცია
შავი ჭირის ფილტვის ფორმა ორივე ფილტვის დაზიანებით
დაავადებათა კონტროლისა და პრევენციის ცენტრების (CDC) სურათების კოლექციიდან; გამოიყენება ნებართვით.
მოცემული სურათის კონტექსტში დათვალიერებისთვის ეწვიეთ შემდეგ სექციას (სექციებს):

იერსინიით გამოწვეული ინფექცია
თითების განგრენა
დაავადებათა კონტროლისა და პრევენციის ცენტრების (CDC) სურათების კოლექციიდან; გამოიყენება ნებართვით.
მოცემული სურათის კონტექსტში დათვალიერებისთვის ეწვიეთ შემდეგ სექციას (სექციებს):

იერსინიით გამოწვეული ინფექცია
ბიპოლარული იერსახე რაითის საღებავით
დაავადებათა კონტროლისა და პრევენციის ცენტრების (CDC) სურათების კოლექციიდან; გამოიყენება ნებართვით.
მოცემული სურათის კონტექსტში დათვალიერებისთვის ეწვიეთ შემდეგ სექციას (სექციებს):

იერსინიით გამოწვეული ინფექცია
ბუბონები იღლიაში
დაავადებათა კონტროლისა და პრევენციის ცენტრების (CDC) სურათების კოლექციიდან; გამოიყენება ნებართვით.
მოცემული სურათის კონტექსტში დათვალიერებისთვის ეწვიეთ შემდეგ სექციას (სექციებს):
ამ მასალის გამოყენება ექვემდებარება ჩვენს განცხადებას