Imágenes y vídeos
Imágenes

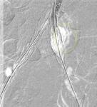
Aneurisma aórtico abdominal
Resolución de la endofuga tipo I, resuelta con la expansión de la extensión
University of Michigan, específicamente los casos del Dr. Upchurch que reflejan los Departamentos de Cirugía Vascular y Radiología
Ver esta imagen en el contexto de la/s siguiente/s sección/es:

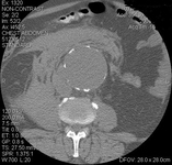
Aneurisma aórtico abdominal
Fuga interna de tipo II (rodeada) descubierta en tomografía computarizada de seguimiento
University of Michigan, específicamente los casos del Dr. Upchurch que reflejan los Departamentos de Cirugía Vascular y Radiología
Ver esta imagen en el contexto de la/s siguiente/s sección/es:

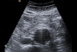
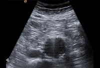
Aneurisma aórtico abdominal
Ultrasonido de un AAA de 3.8 cm x 4.2 cm
University of Michigan, específicamente los casos del Dr. Upchurch que reflejan los Departamentos de Cirugía Vascular y Radiología
Ver esta imagen en el contexto de la/s siguiente/s sección/es:

Aneurisma aórtico abdominal
Volver a escanear intervalos asociados con diámetros aórticos
Cribado de la población del NHS: vías de atención, Public Health England
Ver esta imagen en el contexto de la/s siguiente/s sección/es:

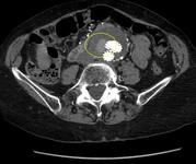
Aneurisma aórtico abdominal
Extensión de endoprótesis expandida para la misma endofuga tipo I (marcada con un círculo)
University of Michigan, específicamente los casos del Dr. Upchurch que reflejan los Departamentos de Cirugía Vascular y Radiología
Ver esta imagen en el contexto de la/s siguiente/s sección/es:

Aneurisma aórtico abdominal
Varias endoprótesis endovasculares utilizadas en la reparación endovascular (EVAR) del aneurisma
University of Michigan, específicamente los casos del Dr. Upchurch que reflejan los Departamentos de Cirugía Vascular y Radiología
Ver esta imagen en el contexto de la/s siguiente/s sección/es:

Aneurisma aórtico abdominal
Tomografía computarizada de un AAA roto
University of Michigan, específicamente los casos del Dr. Upchurch que reflejan los Departamentos de Cirugía Vascular y Radiología
Ver esta imagen en el contexto de la/s siguiente/s sección/es:

Aneurisma aórtico abdominal
Reparación de aneurisma endovascular (EVAR)
University of Michigan, específicamente los casos del Dr. Upchurch que reflejan los Departamentos de Cirugía Vascular y Radiología
Ver esta imagen en el contexto de la/s siguiente/s sección/es:

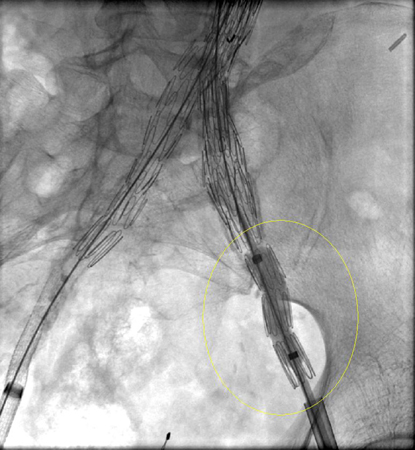
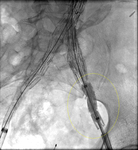
Aneurisma aórtico abdominal
Endofuga tipo I en anastomosis distal de la ilíaca izquierda (fuga marcada con un círculo)
University of Michigan, específicamente los casos del Dr. Upchurch que reflejan los Departamentos de Cirugía Vascular y Radiología
Ver esta imagen en el contexto de la/s siguiente/s sección/es:
Vídeos
- Demostración animada de la intubación traqueal
Cómo insertar un tubo traqueal en una persona adulta, utilizando un laringoscopio.
- Demostración animada de la ventilación de bolsa-válvula-máscara
Cómo utilizar el aparato bolsa-válvula-mascarilla para proporcionar asistencia ventilatoria en adultos. Vídeo de demostración de la técnica para dos personas.
- Demostración animada de la inserción de un catéter venoso central
Inserción guiada por ultrasonido de un catéter venoso central (CVC) no tunelizado en la vena yugular interna derecha utilizando la técnica de inserción de Seldinger.
- Demostración animada de cateterismo uretral en mujeres
Cómo insertar un catéter uretral en una paciente mujer con técnica estéril.
- Demostración animada de cateterismo uretral en hombres
Cómo insertar un catéter uretral en un paciente hombre utilizando una técnica estéril.
El uso de este contenido está sujeto a nuestra cláusula de exención de responsabilidad