Resumen
Definición
Anamnesis y examen
Principales factores de diagnóstico
- presencia de factores de riesgo
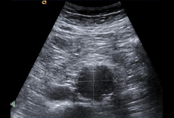
- masa abdominal pulsátil palpable
Otros factores de diagnóstico
- dolor abdominal, en fosa lumbar o de espalda
- hipotensión
- Pérdida del conocimiento
- palidez
- distensión abdominal
- fiebre
Factores de riesgo
- tabaquismo
- hereditario/antecedentes familiares
- mayor edad
- sexo masculino (prevalencia)
- sexo femenino (rotura)
- congénito/trastornos del tejido conjuntivo
- hiperlipidemia
- Enfermedad pulmonar obstructiva crónica (EPOC)
- aterosclerosis (es decir, arteriopatía coronaria, enfermedad arterial periférica oclusiva)
- hipertensión
- obesidad central
- no diabético
- uso de antibióticos de fluoroquinolona
- aneurismas en otras partes del cuerpo
Pruebas diagnósticas
Pruebas diagnósticas que deben considerarse
- Angiografía por TC (ATC)
- pruebas cruzadas
- prueba de coagulación
- velocidad de sedimentación globular (VSG)/proteína C-reactiva (PCR)
- hemograma completo (HC)
- hemocultivos
- TEP/TC
Algoritmo de tratamiento
Colaboradores
Consejeros especializados
Greg McMahon, MD, FRCS
Consultant Vascular Surgeon
University Hospitals of Leicester NHS Trust
Honorary Lecturer, College of Life Sciences
University of Leicester
Leicester
UK
Divulgaciones
GM has received honoraria from Gore Medical and Terumo Aortic, manufacturers of abdominal aortic aneurysm stent grafts, for educational and training activities.
Acknowledgements
BMJ Best Practice would like to gratefully acknowledge the previous expert contributors, whose work has been retained in parts of the content:
Matt J. Bown MB BCh, MD, FRCS, PGCert (Bioinformatics)
Professor of Vascular Surgery
Department of Cardiovascular Sciences
University of Leicester, Leicester Royal Infirmary
Leicester
UK
Andrew Duncan MBBS, BSc, MRCS
Honorary Research Fellow
Department of Cardiovascular Sciences
University of Leicester
Leicester
UK
Divulgaciones
MJB has grant funding from the British Heart Foundation and the National Institute for Health Research. AD declares that he has no competing interests.
Revisores por pares
Ian Chetter, MBChb, FRCS (eng), MD, FRCS (Gen surg), PGCert Medical Ultrasound, PGDip Clinical Education
Chair of Surgery
University of Hull
Honorary Consultant Vascular Surgeon
Hull University Teaching Hospitals NHS Trust
Hull
UK
Divulgaciones
IC declares he has no competing interests
Agradecimiento de los revisores por pares
Los temas de BMJ Best Practice se actualizan de forma continua de acuerdo con los desarrollos en la evidencia y en las guías. Los revisores por pares listados aquí han revisado el contenido al menos una vez durante la historia del tema.
Divulgaciones
Las afiliaciones y divulgaciones de los revisores por pares se refieren al momento de la revisión.
Editores
Annabel Sidwell
Section Editor, BMJ Best Practice
Divulgaciones
AS declares that she has no competing interests.
Rachel Wheeler
Lead Section Editor, BMJ Best Practice
Divulgaciones
RW declares that she has no competing interests.
Adam Mitchell
Drug Editor, BMJ Best Practice
Divulgaciones
AM declares that he has no competing interests.
Julie Costello
Comorbidities Editor, BMJ Best Practice
Divulgaciones
JC declares that she has no competing interests.
Referencias
Artículos principales
Wanhainen A, Van Herzeele I, Bastos Goncalves F, et al. Editor's choice - European Society for Vascular Surgery (ESVS) 2024 clinical practice guidelines on the management of abdominal aorto-iliac artery aneurysms. Eur J Vasc Endovasc Surg. 2024 Feb;67(2):192-331.Texto completo Resumen
National Institute for Health and Care Excellence. Abdominal aortic aneurysm: diagnosis and management. March 2020 [internet publication].Texto completo
Royal College of Emergency Medicine. Management and transfer of patients with a diagnosis of ruptured abdominal aortic aneurysm to a specialist vascular centre. January 2019 [internet publication].Texto completo
Artículos de referencia
Una lista completa de las fuentes a las que se hace referencia en este tema está disponible aquí.
El uso de este contenido está sujeto a nuestra cláusula de exención de responsabilidad
