Imagens e vídeos
IMAGENS

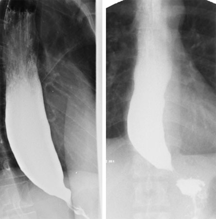
Acalasia
Aparência clássica do esôfago dilatado com estreitamento em bico afunilado no estudo baritado
Do acervo do Dr Jin-Yong Kang; usado com permissão
Veja esta imagem em contexto nas seguintes seções:
O uso deste conteúdo está sujeito ao nosso aviso legal