Investigações
Primeiras investigações a serem solicitadas
hemograma completo
perfil metabólico completo
TC do tórax/abdome/pelve
Exame
A TC do tórax, abdome e pelve, com contraste intravenoso, deve ser realizada como parte da investigação diagnóstica inicial.[2]
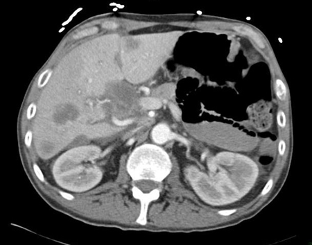
[Figure caption and citation for the preceding image starts]: TC abdominal com contraste intravenoso, revelando diversas lesões com realce no lobo hepático direito, com ascite associada; a biópsia percutânea de uma dessas lesões revelou adenocarcinoma, mas nenhum sítio primário foi identificado durante a investigação de rotina: uma manifestação típica de ASPDDo acervo pessoal do Dr. D. Cosgrove [Citation ends].
[Figure caption and citation for the preceding image starts]: Tomografia computadorizada (TC) abdominal com contraste intravenoso, revelando diversas lesões hepáticas com realce nos dois lobos hepáticos; a biópsia percutânea de uma lesão do lobo direito revelou adenocarcinomaDo acervo pessoal do Dr. D. Cosgrove [Citation ends].
Resultado
massas anormais
RNM
biópsia (avaliação patológica)
Exame
O diagnóstico de adenocarcinoma de sítio primário desconhecido (ASPD) requer uma avaliação patológica precisa de uma amostra de biópsia.[2]
A amostra deve ser obtida por meio de biópsia percutânea com agulha grossa (preferencial) e/ou aspiração com agulha fina do sítio metastático mais facilmente acessível.[2] Uma biópsia por agulha grossa, incisional ou excisional, pode ser realizada se material adicional para biópsia for necessário.
As amostras de biópsia devem ser examinadas inicialmente por microscopia óptica para confirmar o subtipo histológico (isto é, adenocarcinoma).[2]
A microscopia óptica e a coloração de hematoxilina e eosina padrão podem diferenciar tumores com formação óbvia de glândulas (adenocarcinoma bem diferenciado a moderadamente diferenciado) de tumores com estruturas glandulares raras, que condizem com adenocarcinoma devido à produção de mucina (adenocarcinoma pouco diferenciado ou indiferenciado).
O grau de diferenciação das estruturas glandulares é determinado pelo patologista, sendo tipicamente classificado como bem diferenciado, moderadamente diferenciado, pouco diferenciado ou indiferenciado.[29]
Resultado
pode apresentar adenocarcinoma bem diferenciado, moderadamente diferenciado, mal diferenciado ou indiferenciado
exames de coloração imuno-histoquímica
Exame
Uma vez confirmado o diagnóstico histológico de adenocarcinoma, é realizado o exame de coloração imuno-histoquímica para biomarcadores específicos. Amostras de biópsia podem fornecer informações sobre a linhagem do tumor e o tipo de célula (tumoral) para ajudar a identificar o provável sítio do tumor primário.[2] Em alguns pacientes, o exame de coloração imuno-histoquímica pode ser realizado para identificar marcadores tumorais potencialmente acionáveis (por exemplo, rearranjos RAS, HER2 ou ALK).
Os exames para marcadores específicos na coloração imuno-histoquímica devem seguir uma abordagem gradual com base nos achados na investigação diagnóstica inicial e em consulta com um patologista.[2][3]
Deve-se evitar testar uma grande série de marcadores de coloração imuno-histoquímica.[2]
Os seguintes marcadores de coloração imuno-histoquímica podem ser usados para identificar a linhagem do tumor e o provável sítio primário:[2]
Pan-queratina (AE1/AE3 e CAM5.2): pode indicar uma linhagem de carcinoma.
Citoqueratina-7 (CK7): geralmente, a expressão é limitada a câncer de pulmão, mama, ovário, endométrio e gastrointestinal superior/pancreático-biliar, e não é observada em tumores do trato gastrointestinal inferior.
Citoqueratina-20 (CK20): geralmente expresso no epitélio gastrointestinal, urotélio e células de Merkel.
CDX2: sugere doença primária colorretal ou de outro trato gastrointestinal, ou doença primária do trato pancreatobiliar
SATB2: sugere doença primária colorretal ou de outro trato gastrointestinal, ou osteossarcoma primário.
TTF-1: sugere pulmão ou tireoide primário.
Napsin A: sugere pulmão primário.
GATA3: sugere doença primária na mama, bexiga urinária ou glândula salivar.
PAX8: sugere doença primária renal, ovariana, endometrial, do colo uterino, timo ou tireoidiana.
Receptor estrogênico/receptor de progesterona: sugere doença primária na mama, ovário ou endométrio.
Uma lista mais extensa de marcadores de coloração imuno-histoquímica está disponível em diretrizes publicadas.[2][3][23]
As informações obtidas nesses testes devem ser consideradas em conjunto com o cenário clínico e outros resultados de testes.
Os marcadores iniciais de coloração imuno-histoquímica estreitam o diferencial de prováveis locais primários; antibióticos mais específicos podem ser usados para solidificar ainda mais o diagnóstico.[24] Os resultados de testes adicionais podem não alterar o tratamento, portanto, é preciso ter cautela para evitar atrasos desnecessários no início do tratamento.
Os perfis de marcadores de coloração imuno-histoquímica podem, ocasionalmente, diferir entre lesões primárias e metastáticas.[25][26][27]
Resultado
antígenos tumorais específicos são identificados por anticorpos rotulados
Investigações a serem consideradas
exame de sangue oculto nas fezes
Exame
Solicitado se houver suspeita de doença colorretal primária.[2]
Resultado
pode ser positiva
lactato desidrogenase
urinálise
Exame
Pode ser usada para avaliar a função renal, detectar síndromes paraneoplásicas ou avaliar anormalidades metabólicas associadas.[2]
Resultado
normal ou anormal
tomografia por emissão de pósitrons com 18F-fluordesoxiglucose/TC (FDG-PET-TC)
Exame
A FDG-PET-CT não é recomendada rotineiramente, mas pode ser considerada se a TC ou a RNM com contraste for contraindicada ou se clinicamente indicada (por exemplo, se um paciente apresentar uma massa cervical).[2][19]
Resultado
pode identificar o sítio primário do tumor ou outros focos metastáticos
imagem da mama (mamografia, RNM, ultrassonografia)
Exame
A mamografia é necessária para pacientes com um quadro clínico sugestivo de câncer de mama (por exemplo, envolvimento de linfonodos axilares, mediastinais e/ou supraclaviculares).[2][3][21]
A RNM da mama com contraste e/ou a ultrassonografia da mama são indicadas se a mamografia não for diagnóstica, mas houver evidências histopatológicas de câncer de mama.[2]
Resultado
pode apresentar microcalcificações (na mamografia) ou uma lesão de massa, o que sugere câncer de mama
ultrassonografia transvaginal
Exame
A ultrassonografia transvaginal é a modalidade de imagem preferida para mulheres que apresentam ascite, para avaliar a presença de massa ovariana.
O Doppler colorido deve ser incluído no exame.[22]
Resultado
pode mostrar uma massa anexial, o que sugere câncer de ovário
paracentese
Exame
Recomendada (se tecnicamente possível) em todos os pacientes que apresentam ascite para avaliar adenocarcinoma peritoneal.[21]
A paracentese de volume maior (>1 litro) aumenta o rendimento diagnóstico.
Resultado
presença de células de adenocarcinoma no líquido peritoneal
endoscopia
Exame
A endoscopia deve ser considerada se os exames de coloração imuno-histoquímica sugerirem doença primária gastrointestinal superior ou colorretal, ou se os pacientes apresentarem certos achados clínicos (por exemplo, metástases hepáticas; linfonodos supraclaviculares positivos).[2]
Resultado
pode apresentar lesões gastrointestinais ou colorretais primárias
laringoscopia direta, com ou sem esofagoscopia e broncoscopia
Exame
Recomendada para pacientes com linfadenopatia cervical.[19]
A extensão dos exames depende do nível de linfonodos cervicais envolvidos.
Exames adicionais com coloração imuno-histoquímica podem ajudar a confirmar um tumor de cabeça e pescoço oculto primário.
É necessário fazer biópsia das lesões identificadas para confirmar a concordância patológica com o foco metastático.
Resultado
pode mostrar lesões mucosas de carcinoma primário de cabeça e pescoço, carcinoma esofágico ou carcinoma pulmonar
marcadores tumorais séricos
Exame
A avaliação de marcadores tumorais séricos pode ser considerada em cenários clínicos específicos para identificar um possível sítio primário.[2] Entretanto, eles são inespecíficos e não têm nenhuma função diagnóstica em pacientes com adenocarcinoma de sítio primário desconhecido (ASPD).
O antígeno prostático específico (PSA) deve ser medido para avaliar a próstata como possível sítio primário nos seguintes pacientes: homens com idade >40 anos com ASPD (exceto aqueles com metástases limitadas ao fígado ou cérebro); e todos os homens com ASPD que apresentam metástases ósseas ou múltiplos sítios de comprometimento.[2]
A alfafetoproteína sérica (AFP) e a gonadotrofina coriônica humana subunidade beta (beta-hCG) devem ser medidas (seguidas de ultrassonografia testicular, se a AFP ou a beta-hCG estiverem elevadas) para avaliar possível célula germinativa testicular como sítio primário nos seguintes pacientes: homens com idade <50 anos com ASPD apresentando linfonodos mediastinais positivos; e homens com idade <65 anos com ASPD apresentando massa retroperitoneal.[2]
O CA-125 deve ser medido para avaliar possível câncer ovariano primário (em consulta com um oncologista ginecológico) nas seguintes pacientes com ovários: mulheres com idade <50 anos com ASPD apresentando linfonodos mediastinais positivos; mulheres de qualquer idade com ASPD apresentando metástases nos linfonodos inguinais, tórax (múltiplos nódulos) ou peritônio (com ou sem ascite); e mulheres com ASPD apresentando derrame pleural ou massa retroperitoneal.[2]
O teste para antígeno carcinoembriogênico (CEA), CA 19-9 e CA 15-3, não tem função diagnóstica, mas pode ser útil em certas circunstâncias; por exemplo, na avaliação da resposta ao tratamento, onde pode ser considerada a criação de uma linha basal durante a investigação diagnóstica.[2]
Resultado
pode apresentar marcadores tumorais séricos elevados (por exemplo, PSA, AFP, beta-hCG, CA-125)
testes de biomarcadores genéticos
Exame
Podem ser realizados para identificar biomarcadores genéticos para orientar o uso de terapia e imunoterapia orientadas por biomarcadores.[2]
O teste de instabilidade de microssatélite (IMS)/reparo de erro de pareamento (MMR) pode orientar o uso de inibidores de checkpoint imunológico.
A análise da carga mutacional tumoral (TMB) (usando ensaios validados e/ou aprovados pela Food and Drug Administration [FDA] dos EUA) pode orientar o uso de inibidores de checkpoint imunológico.
A criação de perfil molecular (por exemplo, usando ensaios de sequenciamento de última geração [NGS]) pode identificar mutações genéticas acionáveis (por exemplo, BRAF V600E) e alterações (por exemplo, fusões de genes NTRK ou RET). Considerada após confirmação histológica.
Resultado
pode mostrar biomarcadores genéticos associados com a resposta à terapia direcionada e imunoterapia (por exemplo, mutações BRAF V600E; fusões do gene NTRK; fusões do gene RET; TMB alta [≥10 mutações/megabase]; IMS alta/MMR-deficiente)
Novos exames
teste de tecido de origem
Exame
Testes de tecido de origem (por exemplo, usando perfil de expressão gênica e aprendizado de máquina) foram investigados em pacientes com câncer de sítio primário desconhecido para predizer um provável sítio primário e orientar a terapia específica ao local.[30][31][32] Embora o benefício diagnóstico tenha sido demonstrado com testes de tecido de origem, o benefício clínico foi misto.
Atualmente, o teste de tecido de origem não é recomendado em pacientes com adenocarcinoma de sítio primário desconhecido.[2][3]
Resultado
pode mostrar perfil molecular para um provável sítio primário
O uso deste conteúdo está sujeito ao nosso aviso legal