Imagens e vídeos
IMAGENS

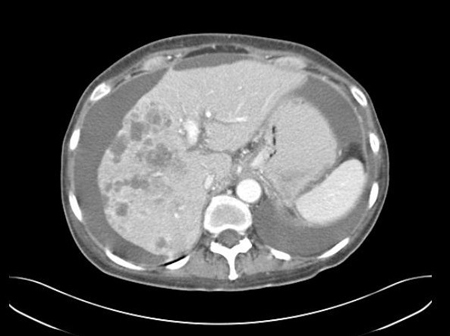
Adenocarcinoma de sítio primário desconhecido
TC abdominal com contraste intravenoso, revelando diversas lesões com realce no lobo hepático direito, com ascite associada; a biópsia percutânea de uma dessas lesões revelou adenocarcinoma, mas nenhum sítio primário foi identificado durante a investigação de rotina: uma manifestação típica de ASPD
Do acervo pessoal do Dr. D. Cosgrove
Veja esta imagem em contexto nas seguintes seções:

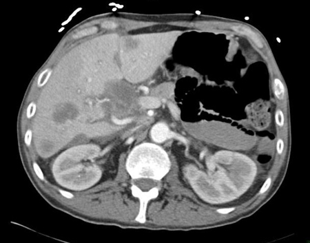
Adenocarcinoma de sítio primário desconhecido
Tomografia computadorizada (TC) abdominal com contraste intravenoso, revelando diversas lesões hepáticas com realce nos dois lobos hepáticos; a biópsia percutânea de uma lesão do lobo direito revelou adenocarcinoma
Do acervo pessoal do Dr. D. Cosgrove
Veja esta imagem em contexto nas seguintes seções:
O uso deste conteúdo está sujeito ao nosso aviso legal