Imagens e vídeos
IMAGENS

Osteossarcoma
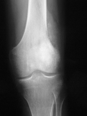
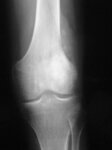
Radiografia convencional, incidência anteroposterior (AP); lesão permeativa mal circunscrita envolvendo a metáfise femoral distal com aparência radiodensa e radioluzente mista; uma grande massa de tecidos moles com reação periosteal também está presente
Do acervo do Dr. Michael J. Klein e da Dra. Luminita Rezeanu
Veja esta imagem em contexto nas seguintes seções:

Osteossarcoma
Cintilografia óssea; alta captação de radionuclídeo no local do tumor
Do acervo do Dr. Michael J. Klein e da Dra. Luminita Rezeanu
Veja esta imagem em contexto nas seguintes seções:

Osteossarcoma
Tomografia computadorizada (TC), incidência axial; osteossarcoma da tíbia proximal; produção de matriz e destruição óssea são mais bem visualizadas em tomografias convencionais
Do acervo do Dr. Michael J. Klein e da Dra. Luminita Rezeanu
Veja esta imagem em contexto nas seguintes seções:

Osteossarcoma
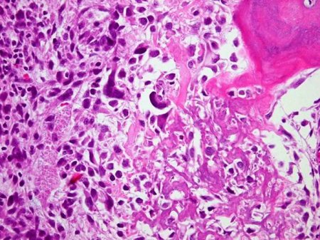
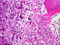
Osteossarcoma osteoblástico; osteoide em forma de rede em estroma sarcomatoso altamente pleomórfico
Do acervo do Dr. Michael J. Klein e da Dra. Luminita Rezeanu
Veja esta imagem em contexto nas seguintes seções:

Osteossarcoma
Osteossarcoma osteoblástico do fêmur distal (radiografia e fotografia do espécime macroscópico)
Do acervo do Dr. Michael J. Klein e da Dra. Luminita Rezeanu
Veja esta imagem em contexto nas seguintes seções:

Osteossarcoma
Ressonância nuclear magnética (RNM), incidência coronal; osteossarcoma do fêmur distal mostrando sinal de baixa intensidade; imagem ponderada em T1; também é visualizada extensão tumoral real intraóssea e extraóssea
Do acervo do Dr. Michael J. Klein e da Dra. Luminita Rezeanu
Veja esta imagem em contexto nas seguintes seções:

Osteossarcoma
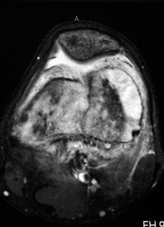
Ressonância nuclear magnética (RNM), incidência axial; osteossarcoma do fêmur distal mostrando sinal de alta intensidade; imagem ponderada em T2
Do acervo do Dr. Michael J. Klein e da Dra. Luminita Rezeanu
Veja esta imagem em contexto nas seguintes seções:
O uso deste conteúdo está sujeito ao nosso aviso legal