Investigações

Primeiras investigações a serem solicitadas

Hemograma completo

Exame
Resultado
Exame

Um hemograma completo com diferencial e cálculo da contagem absoluta de linfócitos (CAL) é a investigação laboratorial inicial para todos os pacientes com suspeita de imunodeficiência combinada grave (IDCG).

A linfopenia em um hemograma completo de rotina também deve alertar o médico para considerar IDCG.

A CAL é calculada multiplicando-se a porcentagem de linfócitos pela contagem absoluta de leucócitos.

Uma CAL <3000 células/mm³ foi proposta como valor de corte para determinar quais bebês precisam passar por uma nova avaliação para IDCG.[38]

A CAL pode ser normal em casos de enxerto materno de linfócitos ou em condições em que a expressão gênica esteja parcialmente intacta (por exemplo, variantes hipomórficas de IDCG), ou nos casos em que as células B componham a maioria da população de linfócitos (por exemplo, IDCG T-B+).

Resultado

CAL <3000 células/mm³

citometria de fluxo

Exame
Resultado
Exame

A citometria de fluxo é necessária para diagnosticar a IDCG e classificar os pacientes de acordo com o fenótipo dos linfócitos. É o teste diagnóstico inicial para todos os pacientes com suspeita de IDCG.[2][4]

A citometria de fluxo mede o número total de células T, dos subconjuntos de células T (ou seja, células T CD4+, células T CD8+), das células T virgens (CD4+CD45RA+), células T de memória (CD4+CD45RO+), células B e células Natural Killer (NK) no sangue periférico.

A classificação fenotípica da IDCG é baseada na ausência ou presença de células B (B- ou B+) e células NK (NK- ou NK+), além da ausência de células T (T-).[2][3]

A maioria das células T em bebês saudáveis é virgem (por exemplo, isótipo CD45RA+). Em todas as formas de IDCG, há uma diminuição profunda no número de todas as células T, incluindo as células T virgens.

O enxerto materno de células T ou a função genética residual nas variantes hipomórficas de IDCG pode resultar em números baixos a normais de células T, mas quase todas essas células T são células T da memória (CD4+CD45RO+).[8]

O Primary Immune Deficiency Treatment Consortium define a IDCG como ausência ou um número muito baixo de células T (células T CD3 <300/microlitro) e função de célula T ausente ou muito baixa (<10% do limite inferior do normal), conforme medida por estudos de proliferação de células T usando-se fito-hemaglutinina.[39]

Resultado

ausência ou redução acentuada no número total de células T

radiografia torácica

Exame
Resultado
Exame

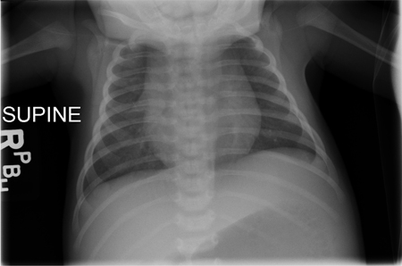
Demonstra ausência da sombra tímica em todos os pacientes com IDCG (exceto naqueles com IDCG devida a deficiência de coronina 1A).[40][4][Figure caption and citation for the preceding image starts]: Radiografia torácica de um bebê ilustrando a ausência de sombra tímica; os bebês com imunodeficiência combinada grave (IDCG) podem ser atímicos no momento da apresentaçãoChildren's Hospital of Wisconsin, Departamento de Radiologia; usado com permissão [Citation ends].com.bmj.content.model.Caption@7d493e0d[Figure caption and citation for the preceding image starts]: Radiografia torácica de um bebê ilustrando uma sombra tímica normalChildren's Hospital of Wisconsin, Departamento de Radiologia; usado com permissão [Citation ends].com.bmj.content.model.Caption@37fb11aa Esta observação dá suporte ao diagnóstico de IDCG.[4]

Os pacientes com IDCG por deficiência de adenosina desaminase podem demonstrar anormalidades costais anteriores à radiografia (isto é, escavação/desgaste das articulações costocondrais).[41]

Resultado

ausência de sombra tímica (exceto na IDCG por deficiência de coronina 1A) ou anormalidades nas articulações costocondrais

teste quantitativo de imunoglobulinas (IgG, IgM e IgA)

Exame
Resultado
Exame

Um teste quantitativo das imunoglobulinas deve ser realizado em todos os pacientes com suspeita de IDCG para auxiliar na confirmação do diagnóstico.

Todos os pacientes com IDCG (incluindo aqueles com números normais de células B) apresentam hipogamaglobulinemia secundária à falta de células T, auxiliando na indução da produção de anticorpos.[4] Os pacientes não apresentam iso-hemaglutininas e respostas de anticorpos específicas a vacinas inativadas à base de proteínas, como tétano e difteria.[34]

Os neonatos geralmente apresentam níveis mensuráveis de IgG devido à transferência placentária de IgG materna para o feto, mas a IgM e a IgA estão ausentes ou têm níveis baixos.

Resultado

números ausentes ou baixos de imunoglobulinas (IgG, IgM e IgA)

Investigações a serem consideradas

ultrassonografia do tórax

Exame
Resultado
Exame

Demonstra ausência da sombra tímica em pacientes com IDCG.

Pode ser considerada se a radiografia torácica não estiver disponível ou se os resultados forem ambíguos.

Resultado

ausência da sombra tímica

TC do tórax

Exame
Resultado
Exame

Demonstra ausência da sombra tímica em pacientes com IDCG.

Pode ser considerada se a radiografia torácica não estiver disponível ou se os resultados forem ambíguos.

Resultado

ausência da sombra tímica

ressonância nuclear magnética (RNM) do tórax

Exame
Resultado
Exame

Demonstra ausência da sombra tímica em pacientes com IDCG.

Pode ser considerada se a radiografia torácica não estiver disponível ou se os resultados forem ambíguos.

Resultado

ausência da sombra tímica

fundoscopia

Exame
Resultado
Exame

Nos lactentes com suspeita de IDCG com infecção por citomegalovírus (CMV) deve ser realizada avaliação fundoscópica regular da retinite por CMV.

Resultado

presença ou ausência de retinite por CMV

testes enzimáticos

Exame
Resultado
Exame

Em casos suspeitos de defeitos metabólicos da purina (por exemplo, deficiência de adenosina desaminase e deficiência de purina nucleosídeo fosforilase), os níveis das enzimas e sdos metabólitos tóxicos associados a elas (por exemplo, desoxi-ATP) devem ser medidos.[34]

Os níveis de adenosina desaminase são reduzidos na IDCG por deficiência de adenosina desaminase, e os níveis de purina nucleosídeo fosforilase são reduzidos na IDCG por deficiência de purina nucleosídeo fosforilase.[34]

A deficiência de purina nucleosídeo fosforilase pode ser associada à diminuição do ácido úrico sérico (<59 micromoles/L [<1 mg/dL]).

Resultado

deficiência de adenosina desaminase ou purina nucleosídeo fosforilase

ácido úrico sérico

Exame
Resultado
Exame

Baixo nível sérico do ácido úrico é sugestivo de deficiência de purina nucleosídeo fosforilase.[42]

Resultado

ácido úrico sérico <59 micromoles/L (<1 mg/dL)

estudos de proliferação de células T

Exame
Resultado
Exame

O teste funcional do sistema imunológico deve ser realizado usando estudos de proliferação de células T, se houver um número mensurável de células T.

Os bebês com IDCG mostram respostas reduzidas aos mitógenos, incluindo a fito-hemaglutinina (PHA) e a concanavalina A.[34] Considere adiar os estudos de proliferação de células T com PHA se as células T estiverem ausentes.

Resultado

ausência de resposta aos mitógenos

testagem da viremia baseada em reação em cadeia da polimerase

Exame
Resultado
Exame

A testagem para viremia baseada em reação em cadeia da polimerase para HIV-1, citomegalovírus (CMV) e vírus Epstein-Barr (EBV) deve ser realizada em todos os pacientes com suspeita de IDCG.

Estudos sorológicos de infecções virais não devem ser usados, pois os anticorpos maternos adquiridos por via transplacentária podem levar a resultados falso-positivos.

Resultado

presença ou ausência de HIV-1, CMV ou EBV

sensibilidade à radiação das culturas de fibroblastos

Exame
Resultado
Exame

Considere solicitar para os pacientes com suspeita de defeitos nos genes envolvidos no reparo e recombinação do DNA (por exemplo, Artemis/1C de reparo de ligação cruzada de DNA [DCLRE1C], DNA ligase IV e Cernunnos/XLF).

Resultado

sensibilidade das culturas de fibroblastos à radiação aumentada nos pacientes com defeitos de reparo e recombinação do DNA

teste genético

Exame
Resultado
Exame

O exame de ácido desoxirribonucleico (DNA) para estabelecer a etiologia genética subjacente de IDCG deve ser realizado.[31]

Resultado

presença ou ausência do gene específico dependendo do tipo de IDCG

O uso deste conteúdo está sujeito ao nosso aviso legal