Etiologia
Tanto em crianças quanto em adultos, as infecções recorrentes que resultam de anormalidades anatômicas são um importante fator no desenvolvimento de pielonefrite crônica e insuficiência renal. Na nefrite intersticial crônica, os principais fatores etiológicos são o refluxo vesicoureteral (RVU), uma condição na qual a urina flui de volta da bexiga para um ou ambos os ureteres e, às vezes, para os rins, e a obstrução.[11]
A pielonefrite crônica pode resultar do tratamento inadequado ou de recorrência da pielonefrite aguda, constituindo uma resposta imune progressiva localizada à bactéria que já foi erradicada há muito tempo.[12] Uma das principais causas de pielonefrite crônica em crianças é o RVU primário, uma condição comum associada a vários graus de danos renais.[6][7] Os pacientes podem ter história de RVU e infecções do trato urinário (ITUs) frequentes. Em crianças, existe uma forte associação entre cicatrização renal e ITUs recorrentes.[13] O rim em desenvolvimento parece ser bastante suscetível a danos, mas tal suscetibilidade parece depender da idade. Cicatrização renal induzida por ITUs raramente é observada em rins adultos.[14][15]
A pielonefrite xantogranulomatosa (PNX) é uma forma grave, atípica e relativamente rara de pielonefrite crônica que geralmente é unilateral e está associada à uropatia obstrutiva prolongada.[16] Obstrução e infecção causam aumento do rim. Espécies de Proteus são os patógenos causadores em 60% dos casos.[16]
A pielonefrite enfisematosa (PNE) é uma infecção grave do parênquima renal, com potencial risco de vida, causada por bactérias produtoras de gás: Escherichia coli (66% dos casos), Klebsiella (26%), e espécies de Proteus.[17][18] A infecção geralmente se desenvolve de forma súbita e é observada, quase exclusivamente, em pacientes com diabetes mellitus mal controlado (mais de 90% dos casos) e em pacientes com necrose papilar ou obstrução no trato urinário superior.[18] Acredita-se que níveis elevados de hemoglobina glicada (HbA1c) e deficiência nos mecanismos imunológicos do hospedeiro predispõem os pacientes diabéticos à PNE.[19]
Fisiopatologia
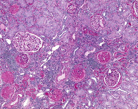
Na maioria das pessoas, a lesão renal ocorre lentamente por um longo período de tempo em resposta a um processo inflamatório crônico ou infecções. Isso resulta em afinamento do córtex renal juntamente com cicatrização cortical profunda, segmentar e grosseira. Deformidades claviformes dos cálices renais ocorrem conforme as papilas se retraem para dentro da(s) cicatriz(es). Pode haver uma ou várias cicatrizes, em um ou ambos os rins. A maioria das cicatrizes desenvolvem-se nos polos superior e inferior, devido à frequência do refluxo nesses locais.[20] Muitas vezes, o parênquima dentro das áreas cicatrizadas contém túbulos atróficos sem glomérulos. O tecido não envolvido pode estar hipertrofiado localmente, com comprometimento segmentar.[Figure caption and citation for the preceding image starts]: Pielonefrite crônica: lesão tubular, cicatrização intersticial e fibrose na pielonefrite crônicaCortesia do Dr. Jean L. Olson, MD, Departamento de Patologia, Universidade da Califórnia, San Francisco, EUA [Citation ends].
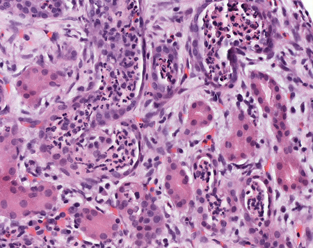
[Figure caption and citation for the preceding image starts]: Visualização microscópica de potência média de infiltrados polimorfonucleares, que mostra atrofia tubular crônica, glomeruloesclerose e áreas circundantes de túbulos normais e glomérulosCortesia do Dr. Jean L. Olson, MD, Departamento de Patologia, Universidade da Califórnia, San Francisco, EUA [Citation ends].
[Figure caption and citation for the preceding image starts]: Visualização de alta potência de células polimorfonucleares nos túbulos renais, que mostra danos aos túbulos e infiltrados de eritrócitos nos espaços intersticiaisCortesia do Dr. Jean L. Olson, MD, Departamento de Patologia, Universidade da Califórnia, San Francisco, EUA [Citation ends].
A obstrução predispõe o rim a infecção, e a obstrução crônica contribui para atrofia parenquimal. A obstrução pode ser bilateral (por exemplo, válvulas uretrais posteriores), resultando em insuficiência renal ou unilateral (por exemplo, cálculos e anomalias unilaterais do ureter). Infecções recorrentes sobrepostas em lesões obstrutivas difusas ou localizadas causam crises recorrentes de inflamação renal e cicatrização (o quadro clássico de pielonefrite crônica).
O refluxo vesicoureteral (RVU) é o mecanismo mais comum de cicatrização renal na pielonefrite crônica.[21] As alterações renais muitas vezes começam no início da infância como resultado de uma infecção do trato urinário (ITU) crônica sobreposta ao RVU congênito e refluxo intrarrenal. O refluxo fornece uma via direta para que a infecção atinja o rim, e o refluxo grave pode ocorrer intrarrenalmente. Cicatrização e atrofia causam perda de função tubular, sobretudo capacidade de concentração.[22][23] A maioria dos danos renais associados ao refluxo ocorre na primeira infância, pois, com o crescimento, há uma tendência à autocorreção pelo menos dos graus leves de refluxo.[11] Devido à falta de ensaios clínicos randomizados, as diretrizes da prática clínica para rastreamento de neonatos, lactentes e irmãos de crianças com refluxo baseiam-se na atual prática e avaliação de risco.[24]
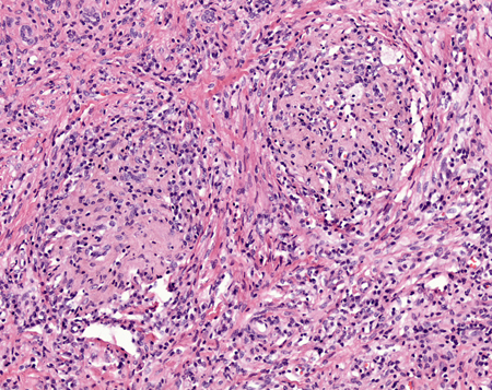
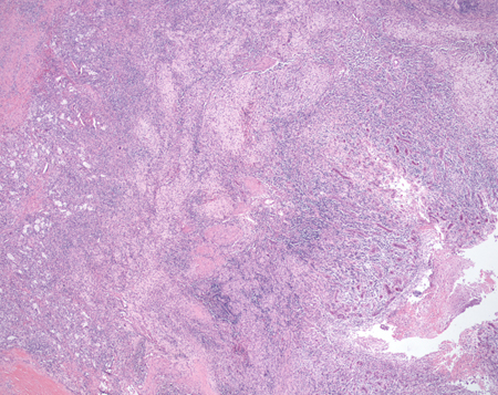
Na pielonefrite xantogranulomatosa, a obstrução e a infecção causam a infiltração de monócitos e o desenvolvimento de macrófagos preenchidos de lipídios, principais características patológicas da doença.[25][Figure caption and citation for the preceding image starts]: Pielonefrite xantogranulomatosa: visualização microscópica de muito baixa potência que mostra infiltrados celulares extensivos e granulomas. Observe a destruição acentuada da arquitetura renal normalCortesia do Dr. Jean L. Olson, MD, Departamento de Patologia, Universidade da Califórnia, San Francisco, EUA [Citation ends].
[Figure caption and citation for the preceding image starts]: Coloração H&E: visualização de alta potência dos granulomas encontrados na pielonefrite xantogranulomatosaCortesia do Dr. Jean L. Olson, MD, Departamento de Patologia, Universidade da Califórnia, San Francisco, EUA [Citation ends].
[Figure caption and citation for the preceding image starts]: Visualização de potência muito alta das células xantomatosas, que são macrófagos preenchidos de lipídiosCortesia do Dr. Jean L. Olson, MD, Departamento de Patologia, Universidade da Califórnia, San Francisco, EUA [Citation ends].
Na pielonefrite enfisematosa, o acúmulo de gás no parênquima renal pode causar uma forma de pielonefrite necrosante aguda e sepse, que pode ser fatal se não for tratada.[1] Acredita-se que a baixa tensão de oxigênio permite uma proliferação de ITU ascendente (principalmente de anaeróbios facultativos, como espécies de Escherichia coli, Proteus e Klebsiella).[18]
O uso deste conteúdo está sujeito ao nosso aviso legal