Imagens e vídeos
IMAGENS

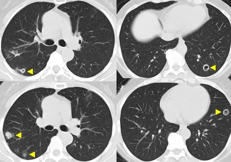
Granulomatose com poliangiite
Nódulos pulmonares cavitários na granulomatose com poliangiite (anteriormente conhecida como granulomatose de Wegener)
Do acervo do Dr. Eamonn Molloy, usado com permissão
Veja esta imagem em contexto nas seguintes seções:
O uso deste conteúdo está sujeito ao nosso aviso legal