Abordagem
Avaliação clínica
Em geral, a EA é diagnosticada durante a fase subclínica que dura décadas, enquanto está sendo investigado um sopro detectado durante o exame físico. Mesmo com EA grave, os pacientes podem mostrar-se verdadeiramente assintomáticos, embora os sintomas iniciais possam ser sutis. É importante fazer uma anamnese minuciosa para se determinar se o paciente alterou seus hábitos em resposta a um lento agravamento da estenose.
Tolerância reduzida a exercícios, dispneia ao esforço físico, dor torácica por esforço (angina), síncope ou pré-síncope por esforço e sintomas de insuficiência cardíaca devem ocasionar uma consideração imediata de EA.[26] Os pacientes apresentam aumento do risco de hemorragia digestiva em decorrência de malformações arteriovenosas. Eles também são mais propensos a desenvolver hemorragia digestiva crônica que está associada a angiodisplasia. Isso pode decorrer do fluxo turbulento através da valva estenótica, produzindo uma deficiência de von Willebrand (síndrome de Heyde) adquirida, que se resolve com a substituição cirúrgica da valva aórtica.
O exame físico é a mais importante ferramenta de rastreamento de valvopatia cardíaca. Um exame cardíaco completo, incluindo palpação precordial, ausculta com atenção a sopros e som de fechamento aórtico, bem como avaliação de pulsação arterial e venosa, é essencial para a investigação diagnóstica de EA.
Os sopros são geralmente classificados em uma escala de 1 a 6:
Grau 1: o sopro é fraco e ouvido apenas com esforço
Grau 2: o sopro é fraco, mas facilmente detectado
Grau 3: sopro audível
Grau 4: o sopro é muito alto e associado com frêmito palpável
Grau 5: o sopro é tão alto que pode ser ouvido com a borda do estetoscópio
Grau 6: o sopro é extremamente alto e ouve-se mesmo se o estetoscópio não estiver em contato com o paciente.
O sopro característico da EA é um sopro sistólico ≥3/6, com padrão de crescendo-decrescendo em forma de diamante, com picos no meio da sístole e que irradia para as artérias carótidas. O sopro é geralmente mais alto na borda esternal superior direita e termina com B2 e o final da sístole. À medida que a estenose se agrava, o sopro atinge o pico mais tardio na sístole e pode ser acompanhado por um frêmito palpável. O som cardíaco aórtico (A2) é protelado à medida que o período de sopro sistólico se torna prolongado. Em casos de estenose grave, o desdobramento paradoxal do segundo som cardíaco pode ser notado na expiração, de forma que o som pulmonar (P2) seja ouvido antes de A2. A intensidade do segundo som cardíaco tende a ser diminuída à medida que a gravidade da estenose aumenta e a mobilidade do folheto é reduzida.[Figure caption and citation for the preceding image starts]: Sopro sistólico crescendo-decrescendo da estenose aórticaDo acervo de Dr. David Liff, MD, Emory University Hospital; usado com permissão [Citation ends].
Sons de ausculta: estenose aórtica (grave)
Achados incomuns incluem a presença de sopro holossistólico no ápice (fenômeno de Gallavardin), imitando o sopro de regurgitação mitral.
Um "upstroke" carotídeo protelado e diminuído (parvus e tardus carotídeo) pode ocorrer com EA grave, embora esse achado seja frequentemente difícil de distinguir em pacientes idosos. Nesses pacientes, a palpação da artéria braquial pode revelar esse achado.
eletrocardiograma (ECG)
Um ECG é indicado na investigação inicial de todos os pacientes e está anormal em >90% dos pacientes com EA, sendo a anormalidade mais comum a hipertrofia ventricular esquerda (HVE) decorrente de sobrecarga de volume.[27] A evidência de HVE e a ausência de ondas Q ajudam a distinguir EA de outras afecções, como esclerose aórtica com cardiopatia isquêmica. Pacientes com EA têm frequentemente doença de condução, manifestando-se como bloqueio atrioventricular (AV), hemibloqueio e bloqueio de ramo.[Figure caption and citation for the preceding image starts]: ECG que mostra mudanças associadas à hipertrofia ventricular esquerdaDo acervo de Melanie Everitt, MD, Heart Failure & Transplantation Program, Primary Children's Medical Center, Salt Lake City, UT; usado com permissão [Citation ends].
Como registrar um ECG. Demonstra a colocação de eletrodos no tórax e nos membros.
Ecocardiografia transtorácica (ETT)
A ETT é o teste de escolha na avaliação de suspeita de EA e na avaliação de sopros detectados no exame físico. A ETT com Doppler pode detectar, de forma confiável e precisa, um gradiente de pressão através da valva aórtica. Pode também avaliar a função do ventrículo esquerdo e a presença de hipertrofia. É essencial para o diagnóstico de EA e para avaliação seriada logo que o diagnóstico esteja definido.[26]
As diretrizes do American College of Cardiology/American Heart Association (ACC/AHA) recomendam a ETT quando houver:[26]
Um sopro sistólico inexplicado
Uma segunda bulha cardíaca única
História de valva aórtica bicúspide
Sintomas que podem ser decorrentes de EA.
O ACC/AHA também recomendam que as medições realizadas durante a ecocardiografia devem ser usadas para classificar a gravidade da EA.[26]
Apesar da intensidade do sopro não apresentar boa correlação com o significado hemodinâmico da lesão associada, acredita-se geralmente que sopros de grau 3 reflitam lesões mais significativas, justificando, portanto, avaliação adicional com ETT. Na prática, a maioria dos pacientes com suspeita de doença cardíaca e sopro detectado no exame deve fazer um ecocardiograma.
No Reino Unido, o National Institute for Health and Care Excellence (NICE) recomenda:[28]
Considerar a ecocardiografia se o paciente tiver um sopro e nenhum outro sinal ou sintoma, mas houver suspeita de doença valvar com base em:
a natureza do sopro,
história familiar,
idade (especialmente se >75 anos), ou
história médica (por exemplo, história de fibrilação atrial).
Providenciar ecocardiografia para qualquer paciente com suspeita de doença valvar e:
sinais ou sintomas de doença valvar (como edema periférico, angina ou dispneia)
ECG anormal; ou
sopro sistólico de ejeção com segunda bulha cardíaca reduzida, mas sem outros sinais ou sintomas.
Encaminhar para avaliação especializada urgente (dentro de 2 semanas) e ecocardiografia se houver suspeita de doença valvar e o paciente tiver:
Sopro sistólico e síncope por esforço. Se a combinação de avaliação especializada e ecocardiografia não estiver disponível, apenas a ecocardiografia urgente deve ser realizada.
Um sopro e sintomas graves (como angina ou dispneia ao esforço mínimo ou em repouso) que se acredita serem devidos a doença cardíaca valvar.
Radiografia torácica
Em pacientes com valvopatia cardíaca suspeita ou confirmada, uma radiografia torácica é indicada como parte da avaliação inicial para avaliar a presença ou ausência de congestão pulmonar ou outras patologias pulmonares.[26]
Exames adicionais
Se houver discrepâncias entre o exame físico e os testes não invasivos iniciais (ECG, ETT e radiografia torácica), exames adicionais não invasivos (tomografia computadorizada [TC] cardíaca, ressonância nuclear magnética [RNM] cardíaca, angiotomografia, angiografia por ressonância magnética [ARM], teste ergométrico com ECG e ecocardiografia de estresse com dobutamina) ou invasivos (ecocardiografia transesofágica, cateterismo cardíaco) devem ser considerados para determinar a estratégia de tratamento ideal.[26]
TC cardíaca
A TC cardíaca possibilita a avaliação qualitativa e quantitativa da carga de cálcio na valva aórtica.
As diretrizes do ACC/AHA recomendam o uso do escore de cálcio na valva aórtica de Agaston, que pode ser calculado e usado para fazer o diagnóstico de EA grave quando a ecocardiografia ou as medições invasivas forem inconclusivas. Isso é particularmente útil na avaliação da EA de baixo fluxo e baixo gradiente.[29][30]
O NICE do Reino Unido recomenda considerar o uso de TC cardíaca para medir o escore de cálcio da valva aórtica se a gravidade da EA sintomática for incerta.[28]
Ressonância nuclear magnética (RNM) cardíaca
A RNM cardíaca (cRNM) fornece imagens dinâmicas detalhadas do coração. Ela permite a análise da função cardíaca e da hemodinâmica. A cMRI pode ser útil quando se tenta distinguir entre a estenose valvar verdadeira e a estenose subvalvar relacionada a uma membrana subvalvar.
Devido à complexidade da RNMc, o ACC/AHA recomenda a ecocardiografia transtorácica como exame preferível para avaliar a EA, mas afirma que a RNMc pode ser uma boa opção se a ecocardiografia não fornecer imagens de qualidade.[26]
Se a RNMc mostrar fibrose da parede média em adultos com EA grave, o NICE no Reino Unido recomenda acompanhamento aprimorado (por exemplo, revisões mais frequentes) e avaliação adicional (por exemplo, ecocardiografia de estresse) para monitorar a necessidade de intervenção.[28]
Em particular, o realce tardio com gadolínio demonstrou potencial para ser usado na estratificação de risco da EA.[31]
angiotomografia (ATG)
A ATG usa uma aquisição de TC em lâmina delgada que é programada para coincidir com o pico de realce arterial ou venoso. A imagem tridimensional resultante possibilita a caracterização e registro da morfologia da valva aórtica.[29] A ATG também pode ser usada para rastrear doença arterial coronariana antes da cirurgia vascular.[32]
ARM
A ARM comprovou produzir boa reprodutibilidade das dimensões e calcificações do anel aórtico, em comparação com a ATG cardíaca, mesmo na presença de arritmias.[33] No entanto, a ARM pode não ser adequada quando há um artefato de alta suscetibilidade, dispositivos com campos magnéticos incompatíveis e arritmia grave.[29] A ARM também é tecnicamente mais complexa, com um período maior de estudo e necessidade de grau mais alto de cooperação do paciente, o que pode ser problemático para alguns pacientes.[29][34]
teste ergométrico com ECG
Pacientes sintomáticos não devem fazer o teste ergométrico e deverão ser encaminhados para substituição valvar.[26] Na ausência de sintomas, o teste ergométrico limitado pelos sintomas pode fornecer informações clinicamente importantes.[26][35] Um teste de estresse positivo mostra tolerância reduzida ao exercício (em comparação com o normal para a idade e o sexo) ou uma queda na pressão arterial sistólica de 10 mmHg com exercício.[26] Quase 40% dos pacientes com EA assintomática irão desenvolver sintomas com teste ergométrico.[36] A ecocardiografia de esforço pode contribuir com informações adicionais de diagnóstico e prognóstico.[26][37][38] Em um grupo de pacientes com EA assintomática grave, um teste ergométrico positivo foi altamente preditivo do início de sintomas ou da necessidade de cirurgia. A 24 meses, só 19% dos pacientes com um teste ergométrico positivo permaneciam sem sintomas ou sem substituição de valva, em comparação com 85% daqueles com um teste negativo.[39] Investigação subsequente revelou que o desenvolvimento de sintomas em teste ergométrico foi o preditor mais forte para o início dos sintomas espontâneos, especialmente entre pacientes <70 anos nos quais sintomas de fadiga e de dispneia são mais específicos que em pacientes mais idosos.[40]
Como registrar um ECG. Demonstra a colocação de eletrodos no tórax e nos membros.
Ecocardiografia de estresse com dobutamina
O ACC/AHA recomenda esse teste para os pacientes com baixo gradiente transvalvar e disfunção sistólica ventricular esquerda (fração de ejeção baixa) para identificar pseudoestenose e a presença de reserva contrátil (aumento ≥20% no volume sistólico com a dobutamina).[26] Os pacientes com pseudoestenose não apresentam EA grave e não devem ser encaminhados para substituição cirúrgica da valva aórtica. A presença de reserva contrátil sugere um melhor prognóstico e um risco perioperatório mais baixo com a substituição cirúrgica da valva aórtica; no entanto, ela não prevê os desfechos após o implante transcateter da valva aórtica.
O NICE do Reino Unido recomenda que a ecocardiografia de estresse seja usada como parte de uma avaliação adicional para monitorar a necessidade de intervenção se a RNM cardíaca mostrar fibrose da parede média em adultos com EA grave.[28]
Ecocardiografia transesofágica (ETE)
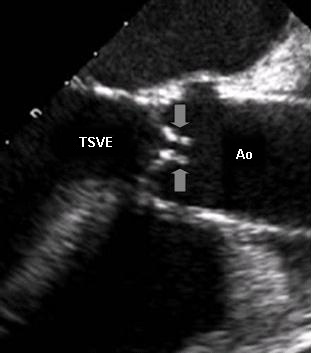
A ETE fornece visões alternativas detalhadas do aparato valvar aórtico e é frequentemente usada em pacientes submetidos a cirurgia valvar ou substituição transcateter da valva aórtica.[29][Figure caption and citation for the preceding image starts]: Ecocardiografia transesofágica mostrando a via de saída do ventrículo esquerdo (VSVE), a aorta (AE) e folhetos quase imóveis (setas) de valva aórtica gravemente estenóticaDo acervo de Dr. David Liff, MD, Emory University Hospital; usado com permissão [Citation ends].
Cateterismo cardíaco
O cateterismo cardíaco não é mais o teste de primeira escolha para o diagnóstico de EA. É usado como ferramenta diagnóstica quando o exame com ecocardiografia com Doppler é inconclusivo ou quando existe uma discrepância entre achados não invasivos, a história e o exame físico.[26] Além disso, o cateterismo cardíaco pode ser muito útil quando o diagnóstico de estenose da valva aórtica de baixo fluxo e baixo gradiente é considerado, pois isso permite a medição do débito cardíaco e, assim, a determinação exata da área da valva aórtica e do volume sistólico. Além disso, o cateterismo continua sendo essencial antes da substituição cirúrgica da valva aórtica, na avaliação da anatomia da artéria coronária.
O uso deste conteúdo está sujeito ao nosso aviso legal

