Imagens e vídeos
IMAGENS

Síndrome carcinoide
Imagem de captação com iodo I 123 metaiodobenzilguanidina (MIBG) mostrando várias metástases
Do acervo de Dr. R. Srirajaskanthan e Dr. M. Caplin; usado com permissão
Veja esta imagem em contexto nas seguintes seções:

Síndrome carcinoide
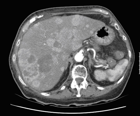
Tomografia computadorizada (TC) mostrando múltiplas metástases hepáticas
Do acervo de Dr. R. Srirajaskanthan e Dr. M. Caplin; usado com permissão
Veja esta imagem em contexto nas seguintes seções:

Síndrome carcinoide
Imagem plana com octreotida mostrando captação no fígado oriunda de tumor
Do acervo de Dr. R. Srirajaskanthan e Dr. M. Caplin; usado com permissão
Veja esta imagem em contexto nas seguintes seções:
O uso deste conteúdo está sujeito ao nosso aviso legal