Investigações
Primeiras investigações a serem solicitadas
ressonância nuclear magnética (RNM) - cranioencefálica
Exame
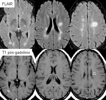
Deve ser realizada em magneto de alto campo (3 T é preferível, mas 1.5 T é aceitável), com contraste intravenoso baseado em gadolínio.[Figure caption and citation for the preceding image starts]: Imagens de ressonância nuclear magnética (RNM) axiais representativas usando recuperação da inversão atenuada por fluidos (FLAIR), mostrando lesões típicas observadas na esclerose múltipla (EM) nas regiões periventriculares. Cortes comparáveis usando o agente de contraste gadolínio ilustram quebra da barreira hematoencefálica/inflamação ativa em 2 das lesões. As lesões vistas no FLAIR que não captam contraste são, provavelmente, mais antigas, com uma combinação de gliose e nível baixo de inflamação crônica e degeneraçãoDo acervo do Dr. Lael A. Stone [Citation ends].
A recuperação de inversão atenuada por fluido (FLAIR) tridimensional (3D) sagital com aquisição de reconstruções multiplanares é recomendada. FLAIR axial ponderada por T2 deve ser obtida se essa sequência não estiver disponível.[3]
Quase todos os pacientes com esclerose múltipla (EM) terão uma RNM craniana anormal, mas a interpretação da RNM pode ser difícil. As imagens devem ser interpretadas por especialistas muito familiarizados com os achados típicos da EM na RNM.
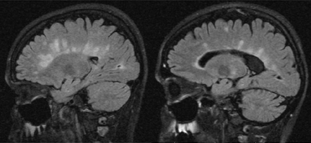
Imagens FLAIR (recuperação de inversão atenuada por fluido) sagitais podem ajudar a distinguir entre lesões de EM e alterações inespecíficas da substância branca, como as observadas em associação com hipertensão, diabetes, idade >50, tabagismo, enxaqueca, colesterol alto e exposição a toxinas.[Figure caption and citation for the preceding image starts]: Imagens sagitais em recuperação de inversão atenuada por fluido (FLAIR) com lesões de esclerose múltipla (EM) típicas envolvem o corpo caloso, seja como lesões distintas ou como projeções semelhantes a dedos perpendiculares ao corpo caloso. Observe também o aumento dos ventrículos e a atrofia difusa da EM mais avançadaDo acervo do Dr. Lael A. Stone [Citation ends].
A RNM também é usada para avaliar a atividade da doença e monitorar a eficácia do tratamento.[3]
Resultado
hiperintensidades na substância branca periventricular, as imagens mais sensíveis são as obtidas por recuperação da inversão atenuada por fluidos (FLAIR) no plano sagital
RNM - medula espinhal
Exame
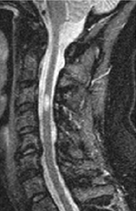
A RNM da medula espinhal é recomendada para todos os pacientes. Muitos pacientes com EM terão lesões da medula espinhal cervical, e a especificidade deste achado é muito alta.[Figure caption and citation for the preceding image starts]: Ressonância nuclear magnética (RNM) da coluna cervical de alto campo (≥1 Tesla) ilustrando uma lesão que pode causar sintomas mielopáticos de disfunção do intestino e da bexiga, bem como paraparesia espásticaDo acervo do Dr. Lael A. Stone [Citation ends].
A medula espinhal cervical e toracolombar, inclusive o cone, deve ser analisada por exame de imagem. Pode ser usado um aparelho de 1.5 T ou 3 T. Recomenda-se o uso de sequências sagitais com realce por gadolínio.[3] A RNM também é usada para avaliar a atividade da doença e monitorar a eficácia do tratamento.[3]
Resultado
lesões desmielinizantes na medula espinhal, particularmente na medula espinhal cervical; detecção de diagnóstico alternativo, como espondilose cervical
Hemograma completo
Exame
Indicado para descartar diagnósticos alternativos ou doenças concomitantes.
Resultado
deve estar normal
perfil metabólico completo
Exame
Indicado para descartar diagnósticos alternativos ou doenças concomitantes.
Resultado
deve estar normal
hormônio estimulante da tireoide
Exame
Indicado para descartar diagnósticos alternativos ou doenças concomitantes.
Resultado
deve estar normal
cianocobalamina (vitamina B12)
Exame
Indicado para descartar diagnósticos alternativos ou doenças concomitantes.
Resultado
deve estar normal
Investigações a serem consideradas
teste de anticorpos para distúrbios do espectro da neuromielite óptica
Exame
Recomenda-se a realização de testes de anticorpos característicos dos distúrbios do espectro da neuromielite óptica (anticorpos antiaquaporina 4 [AQP4] e anti-glicoproteina oligodendrocítica da mielina (MOG)) em pacientes com longos segmentos de desmielinização da medula espinhal, com ou sem neurite óptica, e em pacientes com neurite óptica recorrente com imagens cerebrais normais.[7][8]
Ensaios baseados em células são mais específicos que o ensaio de imunoadsorção enzimática (ELISA) e devem ser usados, se disponíveis.
Resultado
positivo em distúrbios do espectro da neuromielite óptica
avaliação do líquido cefalorraquidiano
Exame
Em virtude da natureza invasiva do exame, todos os outros exames não invasivos devem ser realizados primeiro.[4]
Observe que o líquido cefalorraquidiano (LCR) é normal em 10% a 20% dos casos de EM.
Como realizar uma punção lombar diagnóstica em adultos. Inclui uma discussão sobre o posicionamento do paciente, a escolha da agulha e a medição da pressão de abertura e fechamento.
Resultado
glicose e proteínas devem estar normais; a celularidade pode estar ligeiramente elevada, mas nunca acima de 50/microlitro; bandas oligoclonais e taxas elevadas de síntese de IgG e IgG no LCR estão presentes em 80% dos casos de EM
potenciais evocados
Exame
Realizado em pacientes para os quais a RNM é contraindicada.
Os potenciais evocados visuais são mais comumente anormais, os somatossensitivos e auditivos, nem tanto.
Potenciais evocados somatossensitivos podem ser dolorosos para o paciente, além de serem de difícil obtenção técnica.
Esses estudos são úteis para ajudar a estabelecer o diagnóstico, mas não o são para monitorar a resposta ao tratamento.
Resultado
prolongamento da condução, particularmente o prolongamento assimétrico nos potenciais evocados visuais
O uso deste conteúdo está sujeito ao nosso aviso legal
