Diagnósticos diferenciais
Linfoma
SINAIS / SINTOMAS
História de linfonodos aumentados persistentemente, sintomas constitucionais ou sintomas B (febre, sudorese noturna e/ou perda de peso). Em geral, menos de 35 anos ou mais de 65 anos. O exame físico pode revelar linfadenopatia em uma ou mais regiões; hepatoesplenomegalia pode estar presente.
Se houver envolvimento apenas do mediastino anterior, pode ser difícil diferenciar radiograficamente linfoma de neoplasia maligna tímica.
Investigações
A TC de tórax geralmente mostra uma massa mais multinodular, agressiva ou invasiva, mas nem sempre. Se houver linfadenopatia periférica, as biópsias excisionais revelarão o tipo de linfoma. Se o linfoma envolver apenas o mediastino anterior, será necessária uma biópsia percutânea com agulha grossa para diferenciar de malignidade tímica.
Tumor mediastinal maligno de células germinativas: seminoma
SINAIS / SINTOMAS
Ocorre em pessoas com 20 a 40 anos, com predominância masculina.
Os sintomas manifestos dependem da localização do tumor, da taxa de crescimento e do tamanho; eles incluem pressão no tórax, rouquidão, dor na parede torácica, disfagia e dispneia.
Investigações
A TC do tórax geralmente mostra massa mediastinal anterior de aparência maligna e invasiva.
Alfafetoproteína sérica normal; pode ter elevação de baixo nível de gonadotrofina coriônica humana (beta-hCG) sérica.
Tumor mediastinal de células germinativas: não seminoma
SINAIS / SINTOMAS
Geralmente, o paciente é um jovem do sexo masculino com sintomas significativos de invasão sistêmica e local, como fadiga, perda de peso, febre, dispneia e dor torácica.
Investigações
Alfafetoproteína sérica e gonadotrofina coriônica humana (beta-hCG) geralmente elevadas.
A TC do tórax geralmente mostra uma grande massa invasiva, heterogênea, com áreas de hemorragia e necrose; derrame pleural frequentemente presente; pode mostrar metástases pulmonares.
Tumor mediastinal benigno de células germinativas
SINAIS / SINTOMAS
Normalmente assintomático devido à lenta taxa de crescimento do tumor.
Se presentes, os sintomas mais comuns são dispneia e dor torácica subesternal.
Investigações
Na TC de tórax, o teratoma maduro (de baixo grau) tem uma aparência de TC patognomônica com componentes císticos, adiposos e/ou calcificados.
Bócio subesternal
SINAIS / SINTOMAS
Pacientes idosos geralmente não têm sintomas. Raramente, os pacientes têm desconforto no tórax superior, dispneia ou rouquidão. Sintomas de hipertireoidismo (intolerância ao calor, perda de peso) ou hipotireoidismo podem estar presentes.
Um bócio visível está presente em 80% a 90% dos pacientes; extensão subesternal é sugerida se o polo inferior da glândula tireoide não pode ser identificado. Compressão das vias aéreas pode se apresentar com estridor e inspiração/expiração prolongada. Sinais de tireotoxicose, incluindo perda de peso, hipertensão e taquicardia, podem ser evidentes no exame físico. Desvio traqueal pode ocorrer se o bócio for assimétrico. Sinais de Pemberton (dilatação das veias jugulares e rubor facial quando os braços são mantidos verticalmente acima da cabeça [manobra de Pemberton]) podem estar presentes.
Investigações
A TC de tórax mostra massa mediastinal anterior quase sempre contígua à tireoide e tende a envolver também o mediastino médio/espaço paratraqueal; a massa geralmente tem áreas de baixa densidade e calcificações; se houver suspeita de bócio, o contraste iodado deve ser evitado (devido ao risco de hipotireoidismo induzido por iodo; efeito Jod-Basedow).
Os testes de função tireoidiana podem estar anormais.
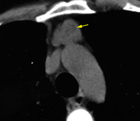
Hiperplasia tímica
SINAIS / SINTOMAS
Geralmente assintomática, mas pode ser observada com miastenia gravis, doença de Graves, queimaduras; após doenças virais; e como um fenômeno de rebote (por exemplo, após quimioterapia ou corticoterapia, especialmente para a doença de Hodgkin).
Investigações
A TC de tórax geralmente mostra um aumento da forma típica do timo (bilobado) sem uma massa arredondada dominante ou distinta.[Figure caption and citation for the preceding image starts]: Tomografia computadorizada (TC) do tórax mostrando timo proeminente com aparência bilobada, consistente com hiperplasia tímicaDo acervo de Cameron Wright, MD; usado com permissão [Citation ends].
A ressonância nuclear magnética (RNM) com deslocamento químico pode ser útil na diferenciação entre hiperplasia e tumor em casos problemáticos.
Cisto tímico
SINAIS / SINTOMAS
Geralmente assintomático e um achado incidental. Alguns cistos podem ser grandes e heterogêneos na imagem.
Investigações
A RNM é útil para distinguir entre um cisto e um tumor sólido. Sem avidez de flúor-18-fluordesoxiglucose em exames PET.
O uso deste conteúdo está sujeito ao nosso aviso legal