Abordagem
A suspeita inicial de tumor tímico geralmente é radiológica na idade demográfica apropriada. Não há história ou achados de exame físico específicos que permitam a realização de um diagnóstico inequívoco de um tumor tímico.[18] Se uma radiografia de tórax padrão sugere uma massa mediastinal anterior, o melhor estudo de imagem inicial é uma tomografia computadorizada (TC) do tórax com contraste intravenoso. Quase todas as massas mediastinais anteriores isoladas e distintas em adultos acima de 40 anos, sem linfadenopatia, serão comprovadas como representando um tumor tímico. Pacientes mais jovens fora da faixa etária típica para timoma devem ser avaliados para tumor de células germinativas com marcadores bioquímicos (alfafetoproteína sérica [AFP] e gonadotrofina coriônica humana subunidade beta [beta-hCG]), e deve-se suspeitar que tenham linfoma.
Pequenas lesões encapsuladas geralmente são removidas para diagnóstico patológico e tratamento. Tumores que parecem localmente invasivos nos exames de imagem devem ser considerados para biópsia percutânea com agulha grossa guiada por TC para confirmar o diagnóstico devido à potencial necessidade de terapia neoadjuvante. No entanto, a necessidade de biópsia deve ser avaliada cuidadosamente em relação ao risco de propagação do tumor a partir de metástases em gotas no espaço pleural ou na parede torácica de um timoma.[19][20] Se houver suspeita de que a lesão seja um timoma e parecer provavelmente ressecável com cirurgia primária, a biópsia por agulha pré-operatória não é recomendada. Esta decisão deve ser tomada principalmente por um cirurgião torácico experiente e especializado em oncologia torácica, com a participação de uma equipe multidisciplinar, se necessário.[21] Pesquisas mostram que a tomografia por emissão de pósitrons (PET)/CT pode ser muito útil para diferenciar entre linfoma e timoma quando o cirurgião estiver diante de uma massa mediastinal anterior distinta. Um valor padronizado de captação máximo (SUVmáx) inferior a 7.5 é praticamente patognomônico de timoma nesta situação, e pode orientar a decisão de não realizar uma biópsia pré-operatória.[22]
História
Cerca de um terço dos pacientes com timoma são assintomáticos e o diagnóstico costuma ser acidental.[7] Uma vez identificada uma massa mediastinal anterior e suspeita de timoma, o fator mais importante a ser descoberto é uma história de miastenia gravis ou sintomas condizentes com miastenia gravis (cerca de 40% dos pacientes com timoma apresentam miastenia gravis associada).[8][9] Pacientes com miastenia gravis podem ter sintomas oculares (visão dupla, pálpebras caídas), fraqueza facial e orofaríngea (dificuldade de mastigação, disfagia ou disartria) e/ou fraqueza muscular proximal (dificuldade para levantar-se de cadeiras ou subir escadas). Os músculos respiratórios também podem ser afetados, levando a dispneia. Devem ser realizados estudos séricos para confirmar a miastenia gravis e, se o resultado for positivo, o tumor certamente será um timoma. Consulte Miastenia gravis (Abordagem diagnóstica).
Cerca de um quarto dos pacientes com tumor tímico apresentam sintomas sistêmicos inespecíficos, como febre e perda de peso, mas esses tipos de sintomas são muito mais comuns no linfoma. Cerca de um terço dos pacientes apresentam sintomas locais, como dor torácica, tosse, dispneia ou, menos comumente, sintomas consistentes com a síndrome da veia cava superior (VCS) (por exemplo, edema facial e nos membros superiores), mas esses sintomas também podem ocorrer em caso de linfoma e tumor de células germinativas.
Exame físico
Em geral, o exame físico é normal. Fraqueza muscular pode ser evidente se houver miastenia gravis não tratada. A fraqueza muscular com fatigabilidade pode ser localizada ou generalizada, envolvendo pálpebras, músculos extraoculares, face, orofaringe, pescoço, músculos respiratórios e/ou membros. Ptose e diplopia ocorrem precocemente na maioria dos pacientes.[23] O tempo de ptose (geralmente >3 minutos) é verificado pedindo ao paciente para olhar para cima sem desenvolver ptose. Quando os músculos faciais e orofaríngeos são afetados, pode ocorrer um sorriso achatado característico, voz nasalada ou dificuldade de mastigação e deglutição. O exame físico dos membros revela fraqueza muscular proximal com fadiga. O tempo de abdução do braço (geralmente >3 minutos) é verificado pedindo ao paciente para manter os braços estendidos. Não deve haver nenhuma evidência de atrofia muscular e os reflexos são normais. A sensibilidade não se altera e não há disfunção autonômica. Em pacientes com crises miastênicas, ocorre comprometimento respiratório grave.
Se a VCS estiver obstruída, evidências de síndrome de VCS podem estar presentes; o exame físico pode revelar pletora facial, edema facial e de membros superiores e veias dilatadas no pescoço e na parede torácica, e, ocasionalmente, na parede abdominal.[24]
Raramente, os pacientes são febris ou mostram sinais de perda de peso. Um achado incomum é edema no braço esquerdo decorrente de invasão e obstrução da veia inominada esquerda. Os murmúrios vesiculares reduzidos podem estar presentes em um lado devido à invasão do nervo frênico e paralisia do diafragma ou devido a derrame pleural.
Exames por imagem
Uma radiografia de tórax é geralmente o primeiro exame realizado. Radiografia de tórax normal não descarta um tumor pequeno. A investigação mais importante é uma TC do tórax.[25] Administra-se contraste intravenoso se não houver contraindicações, para avaliar se há invasão dos vasos sanguíneos, o que é crucial para o estadiamento pré-operatório e planejamento terapêutico. Ele mostrará a massa, sua borda e as características internas, estruturas confinadas ou invadidas, qualquer linfadenopatia associada (que aumenta a chance de a lesão ser um linfoma) e quaisquer patologias torácicas associadas, como implantes pleurais, metástases pulmonares ou evidência de obstrução da VCS.
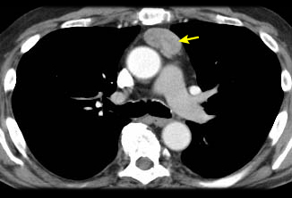
Quando o contraste intravenoso iodado é contraindicado, a ressonância nuclear magnética (RNM) do tórax pode ser usada para o estadiamento. Em geral, é menos útil que a TC porque os detalhes do tumor não estão definidos tão claramente. No entanto, a RNM com deslocamento químico pode ser útil na diferenciação entre hiperplasia tímica e tumor tímico.[26] Além disso, a RNM com sincronização cardíaca pode ser útil se houver suspeita de invasão cardíaca. A RNM também pode ser útil na diferenciação entre um tumor sólido e um cisto tímico benigno.[27] A PET-CT com fluordesoxiglucose (FDG) 18F pode ser usada para ajudar a diferenciar entre timoma (menos ávido por FDG) e linfoma (mais ávido por FDG) para tumores não invasivos distintos.[22] No entanto, se o tumor parece agressivo no exame de imagem, o resultado da PET não elimina a necessidade de uma biópsia percutânea com agulha grossa para diferenciar a neoplasia maligna tímica do linfoma, e para estabelecer um diagnóstico para terapia neoadjuvante ou terapia não cirúrgica definitiva.[28][29] A PET-CT também pode ser útil na demonstração de doença nodal ou metastática não suspeita; isso é útil quando os resultados de imagem ou histológicos sugerem um tumor agressivo.[30] De forma geral, à medida que a histologia da OMS se agrava, a intensidade de captação da PET (valor padronizado de captação) aumenta.[Figure caption and citation for the preceding image starts]: Tomografia computadorizada (TC) do tórax mostrando um típico timoma em estádio I de Masaoka-KogaDo acervo de Cameron Wright, MD; usado com permissão [Citation ends].
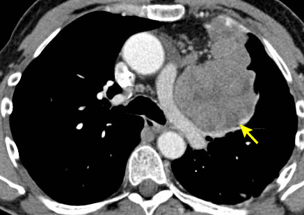
[Figure caption and citation for the preceding image starts]: Tomografia computadorizada (TC) do tórax mostrando timoma em estádio III de Masaoka-Koga com comprometimento da parede torácica anterior e invasão da região medial do pulmão esquerdoDo acervo de Cameron Wright, MD; usado com permissão [Citation ends].
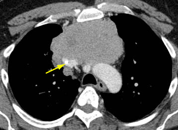
[Figure caption and citation for the preceding image starts]: Tomografia computadorizada (TC) do tórax mostrando timoma com encarceramento e invasão da veia inominada esquerdaDo acervo de Cameron Wright, MD; usado com permissão [Citation ends].
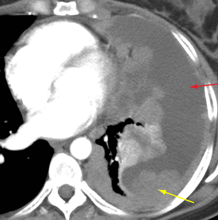
[Figure caption and citation for the preceding image starts]: Tomografia computadorizada (TC) do tórax mostrando timoma em estádio IVA de Masaoka-Koga com derrame pleural (seta vermelha) e vastas metástases pleurais (seta amarela) juntamente à parede torácica posteriorDo acervo de Cameron Wright, MD; usado com permissão [Citation ends].
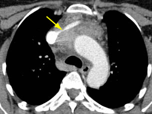
[Figure caption and citation for the preceding image starts]: Tomografia computadorizada (TC) do tórax mostrando timoma com encarceramento e invasão da veia cava superiorDo acervo de Cameron Wright, MD; usado com permissão [Citation ends].
Outras investigações
É importante obter um diagnóstico tecidual quando os achados radiológicos são atípicos ou mostram: uma lesão localmente avançada que pode representar um linfoma ou uma neoplasia maligna tímica mais agressiva (que pode exigir terapia neoadjuvante antes da ressecção); uma lesão metastática; ou um tumor inoperável. Lesões menores não invasivas geralmente são removidas para diagnóstico patológico e tratamento, a menos que SUVmáx esteja surpreendentemente alto na PET-CT (acima de 7.5).
A biópsia percutânea com agulha grossa guiada por TC é geralmente o melhor meio de obter um diagnóstico tecidual antes do tratamento, quando necessário. A aspiração com agulha fina muitas vezes não é diagnóstica, pois a arquitetura tecidual geralmente é necessária para fazer um diagnóstico. Uma mediastinotomia anterior (procedimento de Chamberlain) pode ser usada para tumores anteriores grandes se a biópsia percutânea com agulha grossa não for diagnóstica. A mediastinoscopia é raramente apropriada, pois essa abordagem geralmente permite acesso somente ao mediastino médio em vez de ao mediastino anterior. A cirurgia toracoscópica videoassistida (CTVA) pode ser usada se forem observados implantes pleurais, pois é possível obter espécimes pleurais de biópsia ideais com essa técnica. No entanto, a CTVA não é apropriada para realizar a biópsia do tumor primário, pois, em biópsias realizadas pelo espaço pleural, há risco de extravasamento de células tumorais no espaço pleural, possivelmente causando implantes pleurais metastáticos.
O hemograma completo, embora inespecífico, pode apresentar anemia decorrente de aplasia paraneoplásica pura de células da série vermelha. Título elevado de anticorpos contra o receptor da acetilcolina (a faixa varia com o teste utilizado) está presente em 80% a 90% dos pacientes com miastenia gravis e pode auxiliar no diagnóstico.[31] Aproximadamente 5% a 10% dos pacientes com timoma na ausência de miastenia gravis podem apresentar elevação do anticorpo sérico contra o músculo estriado.[32] Isso pode ser útil em situações difíceis de diagnóstico.[Figure caption and citation for the preceding image starts]: Tomografia computadorizada (TC) do tórax mostrando timoma em estádio IVA de Masaoka-Koga com derrame pleural (seta vermelha) e vastas metástases pleurais (seta amarela) juntamente à parede torácica posteriorDo acervo de Cameron Wright, MD; usado com permissão [Citation ends].
O uso deste conteúdo está sujeito ao nosso aviso legal