Imagens e vídeos
IMAGENS

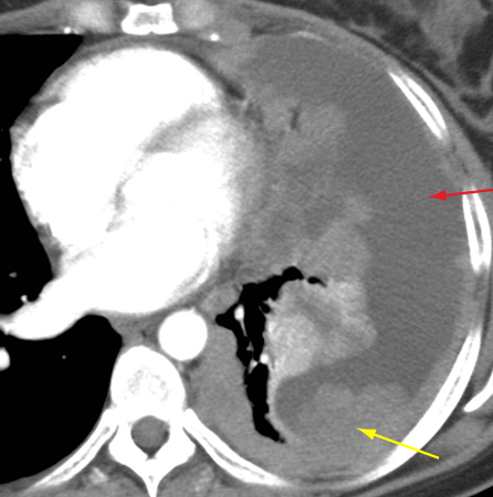
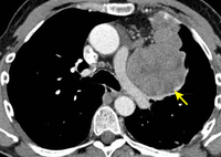
Tumor tímico
Tomografia computadorizada (TC) do tórax mostrando timoma em estádio IVA de Masaoka-Koga com derrame pleural (seta vermelha) e vastas metástases pleurais (seta amarela) juntamente à parede torácica posterior
Do acervo de Cameron Wright, MD; usado com permissão
Veja esta imagem em contexto nas seguintes seções:

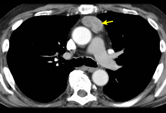
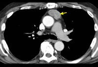
Tumor tímico
Tomografia computadorizada (TC) do tórax mostrando timoma com encarceramento e invasão da veia cava superior
Do acervo de Cameron Wright, MD; usado com permissão
Veja esta imagem em contexto nas seguintes seções:

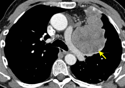
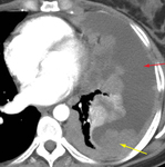
Tumor tímico
Tomografia computadorizada (TC) do tórax mostrando timoma em estádio III de Masaoka-Koga com comprometimento da parede torácica anterior e invasão da região medial do pulmão esquerdo
Do acervo de Cameron Wright, MD; usado com permissão
Veja esta imagem em contexto nas seguintes seções:

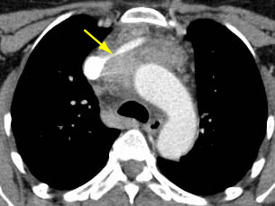
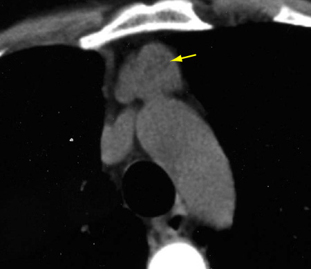
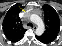
Tumor tímico
Tomografia computadorizada (TC) do tórax mostrando timoma com encarceramento e invasão da veia inominada esquerda
Do acervo de Cameron Wright, MD; usado com permissão
Veja esta imagem em contexto nas seguintes seções:

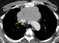
Tumor tímico
Tomografia computadorizada (TC) do tórax mostrando um típico timoma em estádio I de Masaoka-Koga
Do acervo de Cameron Wright, MD; usado com permissão
Veja esta imagem em contexto nas seguintes seções:

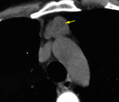
Tumor tímico
Tomografia computadorizada (TC) do tórax mostrando timo proeminente com aparência bilobada, consistente com hiperplasia tímica
Do acervo de Cameron Wright, MD; usado com permissão
Veja esta imagem em contexto nas seguintes seções:
O uso deste conteúdo está sujeito ao nosso aviso legal