Imagens e vídeos
IMAGENS

Espinha bífida e defeitos do tubo neural
Neonato com mielomeningocele
Do acervo do Dr. Greg Liptak; usado com permissão
Veja esta imagem em contexto nas seguintes seções:

Espinha bífida e defeitos do tubo neural
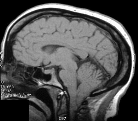
Ressonância nuclear magnética (RNM) cranioencefálica mostrando malformação de Chiari
Do acervo do Dr. Nienke P. Dosa; usado com permissão
Veja esta imagem em contexto nas seguintes seções:

Espinha bífida e defeitos do tubo neural
Mielomeningocistocele
Do acervo da Dra. Zulma Tovar-Spinoza; usado com permissão
Veja esta imagem em contexto nas seguintes seções:

Espinha bífida e defeitos do tubo neural
Acrocórdon
Do acervo da Dra. Zulma Tovar-Spinoza; usado com permissão
Veja esta imagem em contexto nas seguintes seções:

Espinha bífida e defeitos do tubo neural
Mielomeningocele
Do acervo do Dr. Greg Liptak; usado com permissão
Veja esta imagem em contexto nas seguintes seções:

Espinha bífida e defeitos do tubo neural
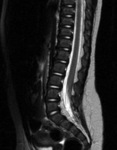
Ressonância nuclear magnética (RNM) da coluna apresentando medula presa
Do acervo do Dr. Nienke P. Dosa; usado com permissão
Veja esta imagem em contexto nas seguintes seções:

Espinha bífida e defeitos do tubo neural
Meningocele
Do acervo da Dra. Zulma Tovar-Spinoza; usado com permissão
Veja esta imagem em contexto nas seguintes seções:
O uso deste conteúdo está sujeito ao nosso aviso legal