Imagens e vídeos
IMAGENS

Acidente vascular cerebral (AVC) isquêmico
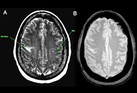
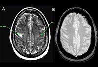
(A) Uma imagem de ressonância nuclear magnética (RNM) ponderada em T2 mostrando hiperintensidade, representando T2 prolongado. Exibição de T2 anormal de 153.38 ms à esquerda, comparado com o lado contralateral normal (96 ms). Observe que a lesão é localizada no giro frontal ascendente. (B) Imagens de ecogradiente detectam compostos de hemossiderina devido à susceptibilidade magnética do ferro. Neste caso, o resultado é negativo
Do acervo pessoal do Dr. Eric E. Smith; usado com permissão
Veja esta imagem em contexto nas seguintes seções:

Acidente vascular cerebral (AVC) isquêmico
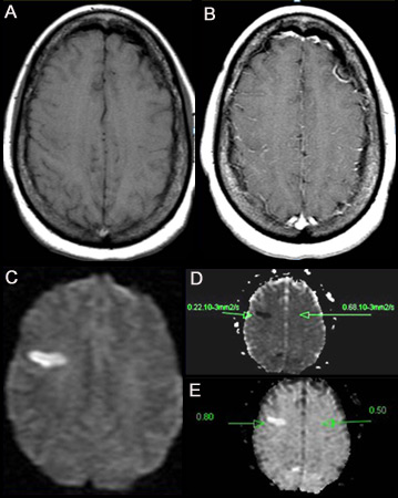
(A) Imagem por ressonância magnética nuclear (IRM) ponderada em T1 sem contraste. (B) IRM ponderada em T1 pós-contraste mostrando aumento mínimo em vasos leptomeníngeos na região frontal direita. (C) Imagem ponderada por difusão (DWI) mostrando uma área hiperintensa na região frontal direita. (D) Mapa de coeficiente de difusão aparente (CDA) mostra a lesão hipointensa, indicando difusão restrita que correlaciona com alta intensidade em IPD e difusão exponencial. (E) O valor do CDA é 0.22 x 10¯³ mm²/segundo, correspondente a um infarto hiperagudo
Do acervo pessoal do Dr. Eric E. Smith; usado com permissão
Veja esta imagem em contexto nas seguintes seções:

Acidente vascular cerebral (AVC) isquêmico
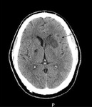
Tomografia computadorizada (TC) de crânio sem contraste mostrando infarto ganglionar basal isolado esquerdo subagudo com efeito de massa protuberante frontal esquerda
Cortesia do BMJ Case Reports 2009; (doi:10.1136/bcr.10.2008.1139)
Veja esta imagem em contexto nas seguintes seções:

Acidente vascular cerebral (AVC) isquêmico
Dados dos ensaios clínicos DAWN e DEFUSE-3 (fluxo sanguíneo cerebral [FSC]; tempo até o máximo [Tmáx]; artéria carótida interna [ACI]; artéria cerebral média [ACM])
Criado no BMJ Knowledge Centre utilizando dados de Dawn-Nogueira et al. N Engl J Med. 2018 378(1):11-21 and Defuse-Albers et al. N Engl J Med. 2018 22;378(8):708-18
Veja esta imagem em contexto nas seguintes seções:
Vídeos
- Intubação traqueal - Vídeo de demonstração
Como inserir um tubo traqueal em um adulto usando um laringoscópio.
- Ventilação com ressuscitador manual ("bolsa-válvula-máscara") - Vídeo de demonstração
Como usar um aparato reanimador manual autoinflável para fornecer suporte ventilatório a adultos. Vídeo de demonstração da técnica em duas pessoas.
O uso deste conteúdo está sujeito ao nosso aviso legal