Recomendações
Urgente
Tempo é cérebro” - se você suspeitar de um AVC, faça rapidamente a avaliação inicial e busque acesso rápido à tomografia computadorizada (TC).
O início precoce das estratégias de reperfusão (trombólise intravenosa ou trombectomia mecânica) dentro de 4,5 horas do início dos sintomas, se não for contra-indicado, está associado a melhores resultados funcionais.[65][66][67]
Suspeita de AVC em um paciente com sintomas neurológicos focais repentinos (novos, de início agudo ou ao despertar do sono):[68]
Fraqueza unilateral ou paralisia na face, braço ou perna
Perda sensorial unilateral
Disartria ou disfasia expressiva ou receptiva
Problemas de visão (por exemplo, hemianopia)
Cefaleia (repentina, grave e incomum)
Dificuldade de coordenação e marcha
Vertigem ou perda de equilíbrio, especialmente com os sinais acima.
Descarte a hipoglicemia (uma mimetização do AVC) como causa desses sintomas.[69]
Use uma ferramenta validada para auxiliar no diagnóstico em pessoas com suspeita de AVC:[69]
No pronto-socorro: use a escala ROSIER (Recognition of Stroke in the Emergency Room) para estabelecer o diagnóstico rapidamente.[69]
Na comunidade: use o FAST (Face Arm Speech Test) para rastrear AVCs em pessoas com início repentino de sintomas neurológicos.[69]
Interne todas as pessoas com suspeita de AVC diretamente em uma unidade de AVC hiperagudo (ou agudo) o mais rápido possível; as diretrizes do Reino Unido recomendam fazer isso dentro de 4 horas após a apresentação.[69]
Determine o tempo de início dos sintomas porque esse é o principal fator que determinará a elegibilidade para trombólise (ou seja, dentro de 4,5 horas após o início da trombólise intravenosa).[64][69]
Se o início não foi testemunhado, a definição de início dos sintomas é o momento em que o paciente foi atendido bem pela última vez.[69]
Solicite imagens cerebrais o mais rápido possível (no máximo 1 hora após a chegada ao hospital).[64] A TC de crânio sem realce é a investigação de escolha no AVC agudo.
Lembre-se:
O AVC isquêmico é um diagnóstico clínicobaseado em sinais e sintomas.
Uma tomografia computadorizada normal não descarta um AVC; particularmente nas primeiras horas, a tomografia computadorizada pode ser normal ou mostrar alterações muito sutis de isquemia.
Principais recomendações
Obtenha uma breve história (inclusive de testemunhas ou parentes próximos) seguida de um exame neurológico abreviado usando a National Institutes of Health Stroke Scale.[70] [ Escore de AVC do NIH Opens in new window ]
Essa ferramenta mede o grau de déficit neurológico. Pontuações mais altas indicam um AVC mais grave.
Avalie o nível de consciência do paciente usando a Escala de Coma de Glasgow. [ Escala de coma de Glasgow Opens in new window ]
Em pessoas com um nível alterado de consciência ou coma, exclua hemorragias e outras imitações, como convulsões. Veja Diferenciais.
Solicite imagens cerebrais o mais rápido possível (no máximo 1 hora após a chegada ao hospital).[64] A TC de crânio é a investigação de escolha no AVC agudo.
Considere a ressonância magnética ponderada por difusão (RNM) da cabeça com sequências específicas do AVC (imagem ponderada por difusão [DWI] com imagem ponderada por suscetibilidade [SWI] ou imagem ponderada em T2*) se o diagnóstico permanecer incerto, apesar da radiologia.[64]
Pacientes com AVC com apresentação tardia para os quais a reperfusão (trombólise ou trombectomia mecânica) é potencialmente indicada devem receber perfusão por TC ou RM o mais rápido possível (no máximo 1 hora após a chegada ao hospital). Uma alternativa para pacientes que acordam com AVC é a ressonância magnética que mede a incompatibilidade de DWI-FLAIR (ressonância magnética ponderada por difusão e incompatibilidade de ressonância magnética com recuperação de inversão atenuada por fluido).[64]
Em pacientes com suspeita de oclusão de grandes vasos candidatos à trombectomia endovascular, solicite a angiografia por TC após a tomografia computadorizada inicial.[64]
Os candidatos à trombectomia isolada incluem pacientes que não podem receber trombólise (por exemplo, com contraindicações, incluindo cirurgia recente ou uso atual de anticoagulação).[64]
Em candidatos à trombectomia, além da trombólise, solicite ATG ou ARM com contraste após (ou com) a TC de crânio inicial.[69]
Não atrase a terapia com trombólise intravenosa (se indicado) enquanto:
Aguardando resultados ou esperando para realizar testes, a menos que você suspeite de contraindicações que devem ser descartadas primeiro (por exemplo, hipoglicemia, coagulopatia).[71][72] O tratamento deve ser iniciado dentro de 4,5 horas após o início dos sintomas do AVC E após a exclusão da hemorragia intracraniana.[64][69]
Esperando para realizar a ATG ou ARM, ou aguardando os resultados.[71]
Solicite para todos os pacientes:
Glicose sérica para descartar hipoglicemia e hiperglicemia antes de administrar trombólise.[69][70]
Eletrólitos séricos para descartar distúrbios eletrolíticos como causa do início repentino de sinais neurológicos.
Ureia e creatinina séricas para descartar insuficiência renal, pois podem ser uma contra-indicação potencial para algumas intervenções de AVC.
Enzimas cardíacas para descartar infarto do miocárdio concomitante.
Hemograma completo para descartar anemia ou trombocitopenia antes do possível início da trombólise, anticoagulantes ou antitrombóticos.
Tempo de protrombina e tempo parcial de tromboplastina (com razão normalizada internacional) para descartar coagulopatia.
ECG para descartar arritmia cardíaca ou isquemia, que são relativamente comuns no AVC isquêmico.
Considere um exame toxicológico sérico se você suspeitar da ingestão de substâncias tóxicas. Os sinais e sintomas podem mimetizar um AVC.
Suspeite de AVC em um paciente com sintomas neurológicos focais súbitos (novos, de início agudo ou ao despertar do sono):[68]
Fraqueza unilateral ou paralisia na face, braço ou perna
Perda sensorial unilateral
Disartria ou disfasia expressiva ou receptiva
Problemas de visão (por exemplo, hemianopia)
Cefaleia (repentina, grave e incomum)
Dificuldade de coordenação e marcha
Vertigem ou perda de equilíbrio, especialmente com os sinais acima.
Esteja ciente de que um ou mais ataques isquêmicos transitórios (AITs), que podem ser estereotipados, podem preceder um AVC (como sinais ou sintomas de alerta).
Um AIT é uma emergência médica que anuncia um risco significativo de AVC. Os AITs geralmente duram alguns minutos. Eles devem ser tratados e imediatamente investigados. As diretrizes do Reino Unido recomendam que as pessoas que tiverem tido uma suspeita de AIT (sem estratificação do risco) sejam avaliadas e investigadas por um especialista dentro de 24 horas após o início dos sintomas.[64][69] Os pacientes com suspeita de AIT devem receber 300 mg de aspirina imediatamente, a menos que ela seja contra-indicada.[64] Consulte Ataque isquêmico transitório.
Avaliação inicial
O objetivo da avaliação inicial é reconhecer um AVC rapidamente - “tempo é cérebro.
Uma avaliação inicial eficiente e rápida e o acesso rápido à tomografia computadorizada (no máximo dentro de 1 hora após a apresentação) permitem o início precoce da reperfusão (trombólise intravenosa ou trombectomia mecânica) em até 4,5 horas após o início dos sintomas, se não for contraindicada, o que está associado a melhores desfechos funcionais.[65][66]
No pronto-socorro
Use a escala ROSIER (Recognition of Stroke in the Emergency Room) nas pessoas com suspeita de AVC ou AIT para estabelecer o diagnóstico rapidamente.[69][73]
Pontuação -1 ponto para cada característica (história clínica):
Perda de consciência ou síncope
Atividade convulsiva
Marque +1 ponto para cada característica (história neurológica):
Fraqueza facial assimétrica
Fraqueza assimétrica nos braços
Fraqueza assimétrica nas pernas
Distúrbio da fala
Defeito no campo visual
Uma pontuação >0: acidente vascular cerebral provável; uma pontuação ≤0: acidente vascular cerebral improvável (mas não descartado).
Na comunidade
Use uma ferramenta validada, como o FAST (Face Arm Speech Test), para rastrear as pessoas com início repentino de sintomas neurológicos (como distúrbios visuais ou problemas de equilíbrio) para um diagnóstico de AVC:[69][74]
Marque 1 ponto para cada característica:
F: fraqueza facial
A: fraqueza no braço (ou perna)
S: Distúrbio da fala
Suspeite de AVC se obtiver pontuação >0; encaminhe para atendimento médico de emergência no hospital (por ambulância 999 no Reino Unido).
Practical tip
Esteja ciente de que o paciente pode ter déficits neurológicos focais continuados apesar de um FAST negativo. Continue a tratá-los como você faria com alguém com AVC agudo.[64]
Evidências: escalas FAST e ROSIER para identificar AVC
Apesar das evidências muito limitadas, as diretrizes recomendam o uso de ferramentas de triagem validadas para agilizar o acesso a assistência especializada para pacientes com AVC ou AIT no cenário pré-hospitalar. Há menos recomendações de diretrizes sobre o uso dessas ferramentas no cenário dos departamentos de emergência (PS).[64][69][75]
[
]
Cenário pré-hospitalar
A National Clinical Guideline for Stroke de 2023 para o Reino Unido e Irlanda recomenda o teste Face Arms Speech Time (FAST) na fase pré-hospitalar, mas afirma que mais evidências são necessárias antes que o reconhecimento do AVC no pronto-socorro (ROSIER) possa ser recomendado para rastrear sintomas não FAST na fase pré-hospitalar.[64]
A recomendação para o uso do FAST é baseada no consenso do grupo de trabalho e nos resultados de um único estudo de acurácia diagnóstica comparando paramédicos de ambulâncias usando o FAST versus encaminhamentos de médicos de atenção primária versus encaminhamentos de prontos-socorros de 487 pessoas com suspeita de AVC para uma unidade de AVC.[74]
O estudo constatou que o diagnóstico de AVC por paramédicos de ambulâncias usando o FAST deu um valor preditivo positivo (VPP; ou seja, a proporção com um teste positivo em quem na realidade realmente tem a condição ou característica) de 78% (IC de 95%: 72% a 84%).[74]
O FAST pode não identificar algumas pessoas com sintomas de AVC (por exemplo, distúrbio visual de início súbito, disfunção cerebelar lateralizante).
Os médicos comunitários devem continuar a tratar uma pessoa como suspeita de AVC se suspeitarem do diagnóstico apesar de um teste FAST negativo.
A diretriz de AVC do National Institute for Health and Care Excellence do Reino Unido (NICE) de 2008 (não alterada na atualização de 2022) também recomenda o uso de uma ferramenta validada, como o FAST, fora do hospital, citando evidências do mesmo estudo de acurácia diagnóstica.[69][74]
Uma declaração de consenso da European Academy of Neurology e da European Stroke Organisation de 2017 para o tratamento pré-hospitalar do AVC não recomenda uma escala específica, mas afirma:
Usar uma escala simples de AVC pré-hospitalar (nenhuma específica recomendada), apesar da falta de evidências. Na opinião deles, os benefícios superariam os possíveis danos e o uso mínimo de recursos.
Estar ciente de que as escalas (atualmente disponíveis no momento desta orientação) não são sensíveis o suficiente para detectar o AVC de circulação posterior.
Ambiente de pronto-socorro
O NICE recomenda o uso de uma ferramenta validada, como a ROSIER, no pronto-socorro.[69]
Essa recomendação é sustentada por um estudo de validação da ferramenta ROSIER, incluindo 343 pacientes com suspeita de AVC no pronto-socorro na fase de desenvolvimento e 173 na fase de validação.[73]
Neste estudo, a ROSIER mostrou um VPP de 90% (IC de 95%: 85% a 95%) quando usado por médicos do pronto-socorro.[73]
A National Clinical Guideline for Stroke para o Reino Unido e a Irlanda não faz nenhuma recomendação específica sobre o uso da ROSIER para triar quanto a AVC no ambiente hospitalar de pronto-socorro.[64]
Sintomas/sinais de acordo com a localização do infarto
AVC da circulação anterior
Associado a isquemia relacionada a oclusão das artérias circulatórias anteriores - o território carotídeo, incluindo as artérias cerebrais anterior e média e seus ramos.[76] Os AVCs de circulação anterior são os mais comuns de todos os AVCs isquêmicos.[77]
Procure um ou mais dos seguintes sintomas/sinais:[76]
Fraqueza facial e/ou nos membros
Perda total ou parcial da força muscular na face, braço e/ou perna; uma apresentação típica de AVC.
Uma fraqueza na face, braços e pernas (todos os três ao mesmo tempo) sugere envolvimento hemisférico profundo, embora isso possa não diferenciar o mecanismo do AVC.
Disfasia expressiva e/ou receptiva
Perda sensorial (dormência) na face e nas extremidades superiores e/ou inferiores
Os pacientes geralmente descrevem a perda sensorial e as parestesias como “dormência”.
Perda sensitiva unilateral ao exame neurológico pode envolver algumas ou todas as modalidades primárias.
A perda sensorial cortical geralmente prejudica as habilidades de processamento sensorial fino, como discriminação entre dois pontos, grafestesia ou estereognosia.
Perda de visão em um olho ou deficit de campo visual
Perda de visão monocular pode ocorrer e é muitas vezes transitória.[78] Esse é um sinal precoce comum que alerta quanto à possibilidade de estenose de carótida cervical. Ela pode se manifestar como amaurose fugaz ou AVC retiniano (oclusão central ou de ramo da artéria retiniana); reconheça e investigue com a mesma urgência. Veja Estenose de artéria carótida.
Paresia do olhar (geralmente horizontal e unidirecional): no AVC, os olhos se voltarão para o lado afetado do cérebro
Considere a convulsão nas pessoas com desvio ocular em sentido errado (ou seja, desvio do olhar do lado da lesão cerebral em direção ao lado hemiparético).
Distúrbios/negligência visuoespaciais
Quadrantanopsia homônima.
Practical tip
O coma é incomum; ele é mais comum nas pessoas com isquemia do tronco encefálico.
AVC na circulação posterior
Associado a isquemia relacionada a oclusão das artérias da circulação posterior - as artérias vertebrais no pescoço, as artérias vertebrais, basilares e cerebrais posteriores intracranianas, e seus ramos.[76]
Procure um ou mais dos seguintes sintomas/sinais:[76]
visão dupla
Déficits motores e/ou sensoriais
Déficits motores: fraqueza, falta de coordenação ou paralisia de qualquer combinação de braços e pernas, até tetraplegia, às vezes mudando de um lado para outro em diferentes ataques.
Déficits sensoriais: dormência, incluindo perda de sensibilidade ou parestesia em qualquer combinação de membros, às vezes incluindo os quatro membros, ou os dois lados da face ou da boca.
Vertigem, com ou sem náuseas e vômitos
Normalmente relatada como uma sensação de giro; também pode ser descrita como a sensação de estar “em um navio em mar agitado”.
É muitas vezes associada a nistagmo.
Ataxia ou desequilíbrio
Disartria
Disfagia
Déficits específicos de nervos cranianos (por exemplo, fraqueza unilateral da língua, diplopia)
síndrome de Horner (tríade hemilateral de miose, ptose e anidrose facial)
Hemianopsia homônima (ou seja, perda de campo visual no lado esquerdo ou direito da linha média vertical no mesmo lado de ambos os olhos)
Síndromes “cruzadas”:
Sinais de nervos cranianos ipsilaterais
Disfunção do trato motor ou sensorial longos contralateral
Nível de consciência alterado e coma.
Practical tip
O AVC de circulação posterior permanece mais difícil de reconhecer e tratar de maneira efetiva que os outros tipos de AVC. Fazer um histórico cuidadoso ajudará a identificar os pacientes com AVC da circulação posterior, os quais podem apresentar sintomas recorrentes, claudicantes ou progressivos, os quais podem incluir alteração do nível de consciência (não é um sintoma típico de AVC, mas observado na isquemia talâmica bilateral).[76]
Síndromes de AVC lacunar
O AVC isquêmico lacunar é definido como uma combinação de achados clínicos sugestivos de AVC agudo devidos a uma pequena lesão isquêmica subcortical (a qual pode ou não ser visível nas imagens cerebrais) que se acredita ser causada por doença cerebral de pequenos vasos arteriais (ou seja, nenhuma causa de grandes artérias/cardioembólica óbvia).[79] As seguintes características clínicas e achados de exame físico são característicos do tipo lacunar de síndrome:[79]
Hemiparesia motora pura |
|
AVC puramente sensorial |
|
Hemiparesia atáxica |
|
AVC sensoriomotor |
|
Síndrome da mão boba-disartria |
|
Obtenha uma história detalhada. Certifique-se de estabelecer contato com testemunhas ou parentes próximos, não apenas para obter uma história acurada, mas também para obter consentimento para testes ou tratamentos invasivos, se necessários.
Determine o tempo de início dos sintomas, pois esse é o principal fator que determinará a elegibilidade para trombólise.
Se o início não tiver sido testemunhado, o momento do início dos sintomas é a última vez em que o paciente tiver sido visto bem.[69]
Pergunte sobre início (repentino ou gradual), duração, intensidade e flutuação dos sintomas.
Os sintomas e sinais do AVC isquêmico aparecem subitamente e são máximos no início.
Os pacientes com AVC da circulação posterior podem apresentar sintomas recorrentes, claudicantes ou progressivos, os quais podem incluir um nível alterado de consciência.[76]
Pergunte especificamente sobre a história médica pregressa relevante que influenciará o tratamento. Isso inclui (história breve):
AVC recente
Convulsão ou epilepsia
Infarto do miocárdio
Fibrilação atrial
Cirurgia recente
Trauma recente
Sangramento
AVC hemorrágico
Comorbidades (especificamente, hipertensão e diabetes)
Uso de substâncias ilícitas no passado ou atualmente
Medicamentos (especificamente anticoagulantes, insulina e anti-hipertensivos).
Practical tip
O momento do início nem sempre é fácil de determinar, principalmente se o início não tiver sido testemunhado e o paciente não conseguir se comunicar, se os sintomas forem leves e não imediatamente perceptíveis, ou se houver um curso de intermitência ou flutuação.
Tenha em mente os principais fatores de risco para o AVC isquêmico:
Idade ≥55 anos
Um forte fator de risco não modificável, mesmo após o controle de outras afecções relacionadas à idade, como a hipertensão.[12]
História de ataque isquêmico transitório (AIT)
Os pacientes com histórico de AIT, particularmente um AIT recente, correm um risco significativo de AVC subsequente. A maioria desses AVCs ocorre poucos dias após o AIT. Os índices de AVC foram relatados como 1.5%, 2.1%, 2.8%, 3.7% e 5.1% nos dias 2, 7, 30, 90 e 365, respectivamente, após o AIT.[23] Estudos mostram que a taxa de AVC pós-AIT pode ter diminuído ligeiramente desde 1999, provavelmente relacionada aos avanços na prevenção do risco cardiovascular.[24][25]
História de AVC isquêmico
Indica que o paciente pode ter mais AVCs isquêmicos no futuro (especialmente se os fatores de risco como a hipertensão não forem corrigidos).[80]
História familiar de AVC em idade jovem
Os distúrbios genéticos causadores de AVC com herança mendeliana são raros. Estudos com gêmeos sugerem uma pequena contribuição genética para o AVC; estudos epidemiológicos mostram que uma história familiar de AVC é um fator de risco.[21]
Hipertensão
Fortemente associado a um maior risco de AVC isquêmico.[81]
Tabagismo
Fortemente associado a um maior risco de AVC isquêmico.[27]
Diabetes mellitus
Fortemente associado a um maior risco de AVC isquêmico.[28]
Fibrilação atrial
Causa pelo menos um quinto dos AVCs isquêmicos e é um dos mais fortes fatores individuais de risco para AVC.[82]
Comorbidades cardíacas
Incluindo infarto do miocárdio, doença valvular, forame oval patente com ou sem aneurisma do septo atrial, válvula cardíaca protética e cardiomiopatia.[30]
Doença falciforme
Associada a estenose vascular, isquemia cerebral e doença de Moyamoya (oclusão vascular que afeta o círculo de Willis).
Dislipidemia
Um aumento do colesterol total está associado a um aumento do risco de AVC isquêmico. O risco de AVC isquêmico diminui com um colesterol de lipoproteína de alta densidade (HDL) elevado.[83]
Descarte os mimetizadores de AVC, como hipoglicemia, tumores cerebrais, convulsões, sepse ou enxaqueca, para garantir um tratamento oportuno. Consulte Diferenciais.
Tenha em mente as principais características clínicas que podem ajudar a distinguir entre um AVC e mimetizações (por exemplo, convulsões, hipoglicemia) na avaliação inicial à beira do leito:
Sugestivo de mimetização | Sugestivo de AVC |
|
|
Practical tip
O AVC isquêmico é um diagnóstico clínico baseado em sintomas e sinais. Portanto, distinguir um AVC verdadeiro de uma mimetização é uma habilidade essencial que não pode ser substituída apenas por uma imagem.
Avalie o nível de consciência do paciente usando a Escala de Coma de Glasgow. [ Escala de coma de Glasgow Opens in new window ]
Em pessoas com um nível alterado de consciência ou coma, exclua hemorragias e outras imitações, como convulsões. Veja Diferenciais.
Considere a convulsão (paresia de Todd) nas pessoas com consciência reduzida.
Practical tip
O AVC hemorrágico está mais frequentemente associado a convulsões, diminuição do nível de consciência e sinais de aumento da pressão intracraniana que o AVC isquêmico.
Realize um exame neurológico abreviado usando a National Institutes of Health Stroke Scale.[70] [ Escore de AVC do NIH Opens in new window ]
Essa ferramenta mede o grau dos déficits neurológicos. As pontuações mais altas indicam um AVC mais grave.
Verifique se há evidências de arritmias cardíacas (por exemplo, fibrilação atrial) ou patologia valvar.
Ausculte o coração.
Arritmias, sopros e edema pulmonar estão associados a comorbidades cardíacas, que predispõem pacientes ao AVC.
Transfira todas as pessoas com suspeita de AVC diretamente para uma unidade de AVC hiperagudo (ou agudo, dependendo da disponibilidade) o mais rapidamente possível; as diretrizes do Reino Unido recomendam fazer isso dentro de 4 horas após a apresentação ao hospital.[69]
tomografia computadorizada (TC) do crânio
Solicite imagens cerebrais tão logo quanto possível (no máximo 1 hora após a chegada ao hospital).[64] A TC de crânio sem contraste é a investigação de escolha no AVC agudo.
Use a tomografia computadorizada para diferenciar entre AVC isquêmico e AVC hemorrágico; o que deve ser feito antes de se iniciar a trombólise no AVC isquêmico e antes de se reverter a anticoagulação na hemorragia intracerebral induzida por anticoagulação.[64]
Somente profissionais de saúde com treinamento adequado devem interpretar imagens de AVC agudo para decisões de trombólise ou trombectomia.[64]
Lembre-se de que o AVC isquêmico é um diagnóstico clínico baseado em sinais e sintomas; uma tomografia computadorizada normal não descarta um AVC - particularmente nas primeiras horas, a tomografia computadorizada pode estar normal ou mostrar alterações isquêmicas muito sutis. É extremamente provável que uma ressonância magnética (RM) na presença de sintomas continuados mostre o AVC. Uma ressonância magnética ponderada por difusão normal é muito improvável se o paciente tiver sofrido um AVC.[85]
Practical tip
Ligue para um radiologista de plantão para aconselhar um exame imediato; fale com o radiologista para garantir que o paciente seja alocado no próximo horário disponível.
Procure obter uma história colateral de parentes sobre medicamentos/história médica pregressa enquanto o paciente estiver no aparelho de exame.
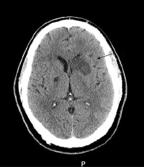
[Figure caption and citation for the preceding image starts]: Tomografia computadorizada (TC) de crânio sem contraste mostrando infarto ganglionar basal isolado esquerdo subagudo com efeito de massa protuberante frontal esquerdaCortesia do BMJ Case Reports 2009; (doi:10.1136/bcr.10.2008.1139) [Citation ends].
Ressonância magnética ponderada por difusão
Considere a ressonância magnética ponderada por difusão da cabeça com sequências específicas para AVC (IPD com imagem por susceptibilidade ponderada ou T2*) se o diagnóstico permanecer incerto apesar da TC de crânio.[64]
Practical tip
É extremamente provável que uma ressonância magnética na presença de sintomas continuados mostre o AVC. Uma ressonância magnética normal é muito improvável se o paciente tiver sofrido um AVC.[85]
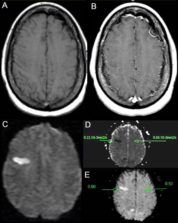
[Figure caption and citation for the preceding image starts]: (A) Imagem por ressonância magnética nuclear (RNM) ponderada em T1 sem contraste. (B) IRM ponderada em T1 pós-contraste mostrando aumento mínimo nos vasos leptomeníngeos sobre a região frontal direita. (C) Imagem ponderada por difusão (IPD) mostrando uma área hiperintensa na região frontal direita. (D) Mapa de coeficiente de difusão aparente (CDA) mostra lesão hipointensa, indicando difusão restrita que se correlaciona com uma alta intensidade na IPD e difusão exponencial. (E) O valor de ADC é 0.22 x 10³ mm²/segundo, correspondendo a um infarto hiperagudoDo acervo pessoal do Dr. Eric E. Smith; usado com permissão [Citation ends].
Em candidatos a trombectomia endovascular
Os pacientes que se apresentarem dentro de 6 a 24 horas após o início dos sintomas (ou seja, a partir da última vez em que sabidamente estavam bem) podem ser potenciais candidatos à trombectomia endovascular.[69]
A seleção dos pacientes para trombectomia mecânica (intervenção endovascular) deve ser feita por médicos experientes no uso de trombólise para o AVC e na interpretação das imagens relevantes. O procedimento só deve ser realizado por especialistas devidamente treinados, com experiência regular em intervenções endovasculares intracranianas, com instalações adequadas e apoio neurocientífico.[86]
angiotomografia (ATG)
Nos pacientes com suspeita de oclusão de grandes vasos que forem candidatos à trombectomia, solicite uma ATG após a TC sem contraste inicial.[64][69]
Não adie a terapia com trombólise intravenosa (se indicada) enquanto espera pela realização de uma ATG ou aguarda seus resultados.[71] Na prática, os hospitais que realizam rotineiramente uma ATG no AVC agudo realizam trombólise sem esperar pelo laudo da ATG; eles revisam a TC simples inicial ao mesmo tempo em que realizam a ATG.[71]
Use preferencialmente a ATG em vez da ARM porque a ATG fornece resultados mais rápidos.[69]
Em candidatos a trombectomia endovascular adicionalmente à trombólise
ATG com contraste
Se o paciente for um potencial candidato a trombectomia além da trombólise, solicite uma ATG com contraste após (ou com) a TC ou RNM da cabeça para confirmar a oclusão da circulação proximal anterior ou posterior.[64][69]
Imagem de perfusão por TC (ou equivalente por RM)
Adicione imagens de perfusão por TC (ou equivalente por RM) (no máximo 1 hora após a chegada ao hospital)nos pacientes com AVC com apresentação tardia para os quais a reperfusão for potencialmente indicada.[64] Estudos têm apoiado o uso do escaneamento da perfusão nos pacientes para estender a janela de trombectomia para além de 6 horas.[87][88][89] Uma alternativa para os pacientes que acordam com AVC é a ressonância magnética que mede a incompatibilidade entre IPD-FLAIR.[64]
[Figure caption and citation for the preceding image starts]: Imagem de rotulagem de spin arterial de ressonância nuclear magnética (RNM) mostrando hipoperfusão extensa no hemisfério cerebral direito. Há uma clara incompatibilidade entre difusão e perfusãoDo acervo pessoal do Dr. Eric E. Smith; usado com permissão [Citation ends].
As diretrizes do Reino Unido recomendam a trombectomia (± trombólise) nos pacientes que sabidamente estavam bem pela última vez entre 6 horas e 24 horas antes (incluindo AVCs ao despertar) com oclusão da circulação proximal anterior ou posterior confirmada, se houver potencial para salvar o tecido cerebral conforme demonstrado pela imagem de perfusão.[64]
Na suspeita de estenose carotídea: ultrassonografia duplex das carótidas ou angiografia por TC ou angiografia por RM
Pacientes com AVC isquêmico que, após avaliação especializada, são considerados candidatos à intervenção carotídea devem ter a imagem da carótida realizada dentro de 24 horas após a avaliação. Isso inclui ultrassonografia duplex carotídea ou angiografia por TC ou angiografia por RM.[64] Consulte seu protocolo local sobre a escolha do exame. A ultrassonografia duplex das carótidas é mais comumente usada.
Veja Estenose de artérias carótidas.
Practical tip
Solicite uma radiografia torácica nos pacientes com sinais ou sintomas cardiopulmonares para detectar outras condições relevantes, como cardiomegalia, dissecção de aorta ou pneumonia.
Ecocardiografia
Se você suspeitar de embolia cardio-aórtica, considere uma ecocardiografia transtorácica com contraste (ETT) para avaliar as fontes cardíacas e aórticas do êmbolo.[90] Se nenhuma fonte for identificada na ETT, use a ecocardiografia transesofágica (ETE) com contraste em pacientes selecionados.[90]
Não adie a trombólise intravenosa (se dentro da janela de tempo licenciada e não for contraindicada) enquanto espera pelos resultados ou pela realização dos testes, a menos que você suspeite de contraindicações que devam ser descartadas primeiro (por exemplo, hipoglicemia, coagulopatia).[71][72]
Exames de sangue
Enquanto o transporte para a TC/RNM estiver sendo providenciado, insira um cateter intravenoso com coleta de sangue.[64]
Solicite para todos os pacientes:
Glicemia
Eletrólitos séricos
Descarta distúrbios eletrolíticos (por exemplo, hiponatremia) como causa de um início repentino de sinais neurológicos.
ureia e creatinina séricas
Descarta insuficiência renal, pois ela pode ser uma contra-indicação potencial para algumas intervenções para o AVC.
Enzimas cardíacas
Para descartar um infarto do miocárdio concomitante.
Hemograma completo
Para descartar anemia ou trombocitopenia antes do início de uma possível trombólise, anticoagulantes ou antitrombóticos.
Tempo de protrombina e tempo de tromboplastina parcial (com a razão normalizada internacional)
Para descartar coagulopatia.
Não atrase a trombólise (por exemplo, aguardando os resultados de testes) se o paciente não tiver uma história de uso de anticoagulantes, coagulopatia ou uma afecção que possa levar a uma coagulopatia.[70]
Considere uma análise toxicológica sérica se você suspeitar de uma ingestão de substâncias tóxicas. Os sinais e sintomas podem mimetizar um AVC.
eletrocardiograma (ECG)
Realize um ECG em todos os pacientes para descartar uma arritmia cardíaca (como fibrilação atrial) ou isquemia, as quais são relativamente comuns no AVC isquêmico.[82]
A fibrilação atrial é um fator de risco independente para AVC isquêmico e indica um prognóstico ruim.[29] Veja Novo episódio de fibrilação atrial.
Nas pessoas que seriam elegíveis para tratamento de prevenção secundária para fibrilação atrial ou flutter:[64]
Realize monitoramento prolongado com ECG(pelo menos 24 horas)
Considere o monitoramento prolongado com ECG sequencial ou contínuo com um adesivo externo, gravador portátil ou gravador de loop implantável nas pessoas nas quais nenhuma outra causa para o AVC tiver sido encontrada, especialmente se tiverem um padrão de isquemia cerebral sugestivo de cardioembolismo nas imagens cerebrais.
Practical tip
A fibrilação atrial é uma das principais causas evitáveis de AVC isquêmico. Monitore todos os pacientes com suspeita de AVC quanto a fibrilação atrial e outras arritmias.[64] Consulte Fibrilação atrial de início recente.
A presença de fibrilação atrial paroxística já havia sido subestimada, e a orientação mais recente no Reino Unido é considerar um monitoramento mais longo e dispositivos implantáveis em mais pacientes.[64][92]
O uso deste conteúdo está sujeito ao nosso aviso legal