Imagens e vídeos
IMAGENS

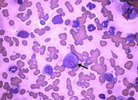
Crise blástica
Seta: células blásticas de leucemia mieloide crônica com neutrófilos em vários estágios de maturação
Dr. Bruce Villas, Departamento de Patologia, Faculdade de Medicina da Universidade de Flórida, Jacksonville, FL, usado com permissão
Veja esta imagem em contexto nas seguintes seções:

Crise blástica
Translocação BCR::ABL1
Do acervo do Dr. Han Myint e do Dr. Robert Chen; usado com permissão
Veja esta imagem em contexto nas seguintes seções:
O uso deste conteúdo está sujeito ao nosso aviso legal