Imágenes y vídeos
Imágenes

Osteoporosis
Tratamiento de mujeres posmenopáusicas con osteoporosis no inducida por glucocorticoides
Creado por BMJ Knowledge Centre
Ver esta imagen en el contexto de la/s siguiente/s sección/es:

Osteoporosis
Tratamiento de la osteoporosis inducida por glucocorticoides
Creado por BMJ Knowledge Centre
Ver esta imagen en el contexto de la/s siguiente/s sección/es:

Osteoporosis
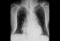
La radiografía de tórax muestra una marcada deformidad y pérdida de volumen del tórax óseo en un paciente con osteoporosis
BMJ Case Reports 2009; doi:10.1136/bcr.07.2008.0359. Copyright ©BMJ publishing group 2010
Ver esta imagen en el contexto de la/s siguiente/s sección/es:

Osteoporosis
Micrografías electrónicas de barrido que muestran la estructura de la vértebra L3 en una mujer de 31 años (arriba) y en una mujer de 70 años (abajo). Tenga en cuenta que muchas de las estructuras en forma de placa se han convertido en varillas delgadas
Poole KES, et al. BMJ 2006; 333: 1251; Usado con permiso
Ver esta imagen en el contexto de la/s siguiente/s sección/es:
El uso de este contenido está sujeto a nuestra cláusula de exención de responsabilidad