Imágenes y vídeos
Imágenes

Traumatismo de la columna toracolumbar
Clasificación modificada de Magerl (AO/ASIF) para lesiones toracolumbares
Contenido adaptado por el autor de Gertzbein SD. Spine update: classification of thoracic and lumbar fractures. Spine (Phila Pa 1976). 1994 Mar 1;19(5):626-8
Ver esta imagen en el contexto de la/s siguiente/s sección/es:

Traumatismo de la columna toracolumbar
Lesión de la médula espinal
Creado por el Dr B. Nurboja
Ver esta imagen en el contexto de la/s siguiente/s sección/es:

Traumatismo de la columna toracolumbar
IRM de la columna lumbar: vista sagital (secuencia ponderada en T2) con fractura osteoporótica del cuerpo vertebral T12
De la colección personal del Dr. B. Nurboja y D. Choi
Ver esta imagen en el contexto de la/s siguiente/s sección/es:

Traumatismo de la columna toracolumbar
Definiciones de Denis sobre los tipos de fractura vertebral
Contenido adaptado por el autor de Denis F. The three-column spine and its significance in the classification of acute thoracolumbar spinal injuries. Spine (Phila Pa 1976). 1983 Nov-Dec;8(8):817-31
Ver esta imagen en el contexto de la/s siguiente/s sección/es:

Traumatismo de la columna toracolumbar
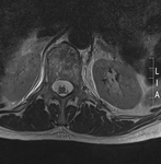
IRM de la columna lumbar: vista transversal (secuencia ponderada en T2) con fractura osteoporótica del cuerpo vertebral T12
De la colección personal del Dr. B. Nurboja y D. Choi
Ver esta imagen en el contexto de la/s siguiente/s sección/es:

Traumatismo de la columna toracolumbar
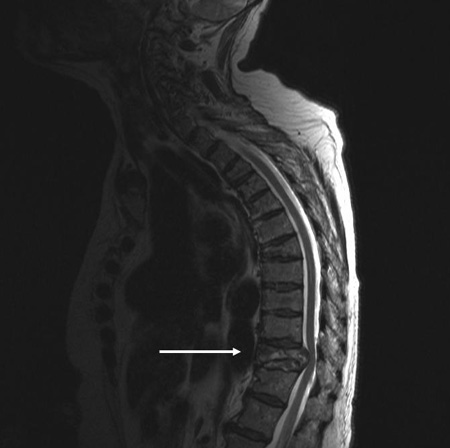
IRM de la columna torácica: vista sagital (secuencia ponderada en T2) con fractura patológica del cuerpo vertebral T10 causada por mieloma múltiple
De la colección personal del Dr. B. Nurboja y D. Choi
Ver esta imagen en el contexto de la/s siguiente/s sección/es:

Traumatismo de la columna toracolumbar
Manejo de fracturas toracolumbares
Creado por el Dr. B. Nurboja; utilizado con autorización
Ver esta imagen en el contexto de la/s siguiente/s sección/es:

Traumatismo de la columna toracolumbar
Clasificación de Denis sobre las fracturas vertebrales
Creada por BMJ a partir del contenido del Dr. B. Nurboja y D. Choi
Ver esta imagen en el contexto de la/s siguiente/s sección/es:

Traumatismo de la columna toracolumbar
Clasificación neurológica estándar de las lesiones de la médula espinal según ASIA: escala de deterioro
American Spinal Injury Association, usado con autorización
Ver esta imagen en el contexto de la/s siguiente/s sección/es:
El uso de este contenido está sujeto a nuestra cláusula de exención de responsabilidad